Suppr超能文献

An unusual occurrence: a case of venous thromboembolism in pregnancy associated with heterotaxy syndrome.

作者信息

Epperla Narendranath, Peterson Erika, Foy Patrick

机构信息

Division of Hematology and Oncology, Medical College of Wisconsin, 9200 W Wisconsin Avenue, Milwaukee, WI USA.

Division of Obstetrics and Gynecology, Medical College of Wisconsin, Milwaukee, WI USA.

出版信息

BMC Hematol. 2015 May 12;15:7. doi: 10.1186/s12878-015-0025-5. eCollection 2015.

Abstract

BACKGROUND

Heterotaxy is a relatively uncommon congenital anomaly that is usually diagnosed incidentally on imaging studies in adults. We present an unusual case of venous thromboembolism in a 26 year old pregnant female with Heterotaxy syndrome.

CASE PRESENTATION

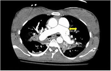
A 26 year-old pregnant female at 13 weeks gestation suffered cardiac arrest with successful cardiac resuscitation and return of spontaneous circulation. The cardiac arrest was secondary to massive pulmonary embolism requiring thrombolytic therapy and stabilization of hemodynamics. She had extensive evaluation to determine the etiology for the pulmonary embolism and was noted to have an anatomic variation consistent with heterotaxy syndrome on imaging studies. After thrombolysis the patient was treated with UFH and then switched to enoxaparin without complication until 25 weeks of gestation when she experienced worsening abdominal pain with associated headaches, lightheadedness and elevated blood pressures needing elective induction of labor. The infant died shortly after delivery. The anticoagulation was continued for additional 3 months and she was subsequently placed on low dose aspirin to prevent recurrent venous thromboembolic episodes. She is currently stable on low dose aspirin and is into her third year after the venous thromboembolism without any recurrence.

CONCLUSION

To our knowledge, this is the first reported case of venous thromboembolism in pregnancy associated with heterotaxy syndrome. A discussion on pathophysiology of venous thromboembolism in pregnancy and heterotaxy syndrome has been undertaken along with treatment approach in such situations.

摘要
https://cdn.ncbi.nlm.nih.gov/pmc/blobs/e9ec/4457096/3647735d9b09/12878_2015_25_Fig1_HTML.jpg

文献AI研究员

20分钟写一篇综述,助力文献阅读效率提升50倍。

立即体验

用中文搜PubMed

大模型驱动的PubMed中文搜索引擎

马上搜索

文档翻译

学术文献翻译模型,支持多种主流文档格式。

立即体验