Suppr超能文献

过岗龙乙醇提取物对大鼠碘乙酸钠诱导的骨关节炎疼痛的影响。

Effect of alcoholic extract of Entada pursaetha DC on monosodium iodoacetate-induced osteoarthritis pain in rats.

作者信息

Kumari Rashmi R, More Amar S, Gupta Gaurav, Lingaraju Madhu C, Balaganur Venkanna, Kumar Pankaj, Kumar Dinesh, Sharma Anil K, Mishra Santosh K, Tandan Surendra Kumar

机构信息

Division of Pharmacology & Toxicology, Indian Veterinary Research Institute, Izatnagar, India.

出版信息

Indian J Med Res. 2015 Apr;141(4):454-62. doi: 10.4103/0971-5916.159296.

Abstract

BACKGROUND & OBJECTIVES: Osteoarthritis (OA) is a degenerative disease characterized by joint pain and progressive loss of articular cartilage. Entada pursaetha has been traditionally used in the treatment of inflammatory disease, liver ailment, etc. In this study we investigated suppressive effect of ethanolic extract of E. pursaetha (EPE) on monosodium iodoacetate (MIA)-induced osteoarthritis pain and disease progression by histopathological changes in joints in a rat model.

METHODS

OA was induced in right knee of rat by intra-articular injection of 3 mg of MIA and characterized by pathological progression of disease and pain of affected joint. Spontaneous movements, mechanical, thermal and cold sensitivity were monitored at days 0 (before drug and MIA injection), 7, 14 and 21 of MIA administration. EPE (30, 100 and 300 mg/kg), vehicle or etoricoxib (10 mg/ kg; reference drug) were administered daily for 21 days by oral route.

RESULTS

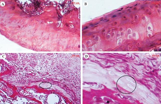
EPE at various doses significantly reduced mechanical, heat, cold hyperalgesia and increased the horizontal and vertical movements in intra-articular MIA injected rats. EPE prevented the damage to cartilage structure and reduced the cellular abnormalities. Articular cartilage of rats treated with EPE at 300 mg/kg group was almost normal with well-developed smooth surface and chondrocytes were distributed individually or arranged in column.

INTERPRETATION & CONCLUSIONS: The present findings showed that the EPE was not only able to mitigate pain and hyperalgesia but also inhibited MIA-induced cartilage degeneration in vivo. EPE may have the potential to become therapeutic modality in the treatment of osteoarthritis. However, further studies need to be done to confirm these findings in other models and clinical trials.

摘要

背景与目的

骨关节炎(OA)是一种以关节疼痛和关节软骨进行性丧失为特征的退行性疾病。藤合欢传统上用于治疗炎症性疾病、肝脏疾病等。在本研究中,我们通过大鼠模型关节的组织病理学变化,研究了藤合欢乙醇提取物(EPE)对碘乙酸钠(MIA)诱导的骨关节炎疼痛和疾病进展的抑制作用。

方法

通过关节内注射3mg MIA诱导大鼠右膝骨关节炎,并通过疾病的病理进展和受影响关节的疼痛进行表征。在MIA给药的第0天(药物和MIA注射前)、第7天、第14天和第21天监测自发运动、机械、热和冷敏感性。EPE(30、100和300mg/kg)、赋形剂或依托考昔(10mg/kg;参比药物)通过口服途径每日给药21天。

结果

不同剂量的EPE显著降低了关节内注射MIA大鼠的机械性、热、冷痛觉过敏,并增加了水平和垂直运动。EPE预防了软骨结构的损伤并减少了细胞异常。300mg/kg组EPE处理的大鼠关节软骨几乎正常,表面光滑发达,软骨细胞单独分布或成柱状排列。

解读与结论

目前的研究结果表明,EPE不仅能够减轻疼痛和痛觉过敏,还能在体内抑制MIA诱导的软骨退变。EPE可能有潜力成为治疗骨关节炎的一种治疗方式。然而,需要进一步的研究在其他模型和临床试验中证实这些发现。

https://cdn.ncbi.nlm.nih.gov/pmc/blobs/ae98/4510726/254165f755b4/IJMR-141-454-g003.jpg

文献检索

告别复杂PubMed语法,用中文像聊天一样搜索,搜遍4000万医学文献。AI智能推荐,让科研检索更轻松。

立即免费搜索

文件翻译

保留排版,准确专业,支持PDF/Word/PPT等文件格式,支持 12+语言互译。

免费翻译文档

深度研究

AI帮你快速写综述,25分钟生成高质量综述,智能提取关键信息,辅助科研写作。

立即免费体验