Suppr超能文献

与色素性基底细胞癌连续的外毛根鞘瘤;伴皮肤镜检查和皮肤病理学检查

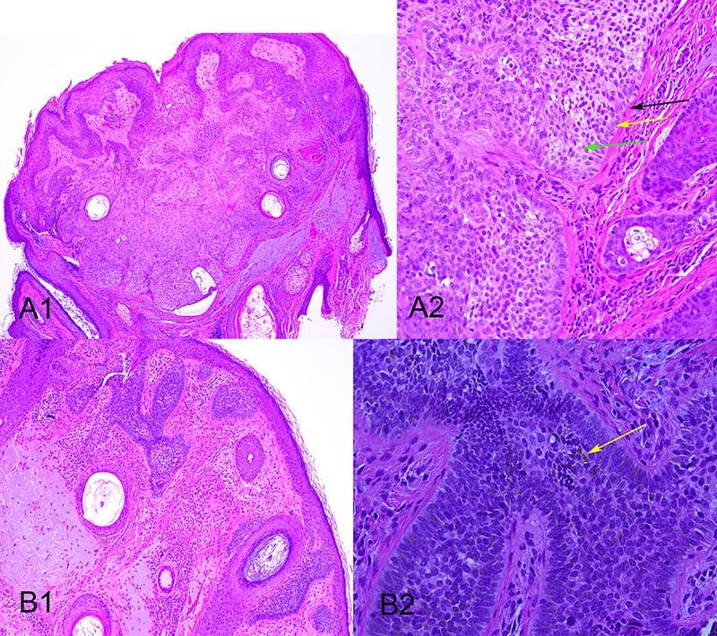
Trichilemmoma in continuity with pigmented basal cell carcinoma; with dermatoscopy and dermatopathology.

作者信息

Kaptan Moayad Al, Kattampallil Joseph, Rosendahl Cliff

机构信息

Molescan Clinic, Cooloongup, WA, Australia.

Clinipath Pathology, Osborne Park, WA, Australia.

出版信息

Dermatol Pract Concept. 2015 Apr 30;5(2):57-9. doi: 10.5826/dpc.0502a08. eCollection 2015 Apr.

Abstract

A case of trichilemmoma in continuity with a pigmented basal cell carcinoma is presented with dermatoscopy and dermatopathology. The distinction between the two lesions was evident dermatoscopically and was confirmed dermatopathologically. While trichilemmoma has been reported in association with basal cell carcinoma and dermatoscopy images of four previous cases of trichilemmoma have been published, no previous dermatoscopy image has been published of trichilemmoma associated with basal cell carcinoma.

摘要

本文通过皮肤镜检查和皮肤病理学报告了一例与色素性基底细胞癌连续的毛发上皮瘤病例。这两种病变在皮肤镜下的区别很明显,并通过皮肤病理学得到证实。虽然已有毛发上皮瘤与基底细胞癌相关的报道,且此前已发表过4例毛发上皮瘤的皮肤镜图像,但此前尚未发表过与基底细胞癌相关的毛发上皮瘤的皮肤镜图像。

https://cdn.ncbi.nlm.nih.gov/pmc/blobs/2427/4462900/53029b96ce79/dp0502a08g001.jpg

文献AI研究员

20分钟写一篇综述,助力文献阅读效率提升50倍。

立即体验

用中文搜PubMed

大模型驱动的PubMed中文搜索引擎

马上搜索

文档翻译

学术文献翻译模型,支持多种主流文档格式。

立即体验