Suppr超能文献

多中心性Castleman病与卡波西肉瘤并存

Co-Existence of Multicentric Castleman's Disease and Kaposi's Sarcoma.

作者信息

Yaghoobi Reza, Pazyar Nader, Tavakoli Sadigheh

机构信息

Department of Dermatology, Ahvaz Jundishapur University of Medical Sciences, Ahvaz, Iran.

出版信息

Indian J Dermatol. 2015 May-Jun;60(3):323. doi: 10.4103/0019-5154.156457.

Abstract

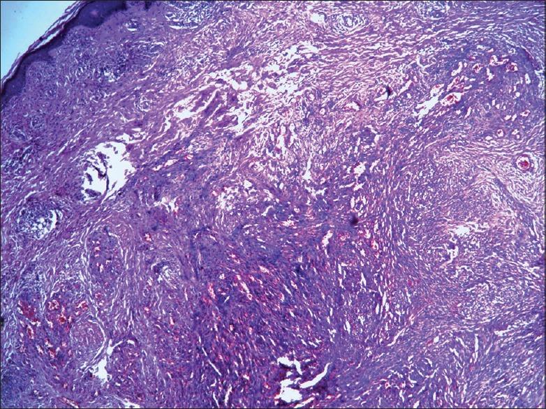
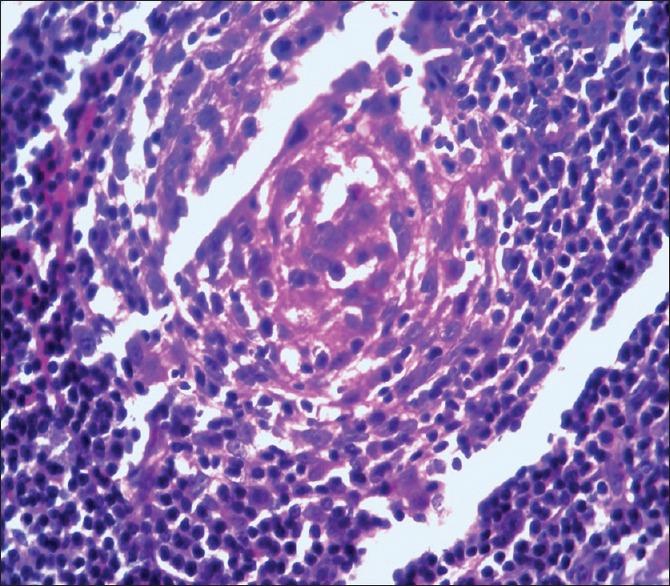
Castleman's disease (CD) or giant lymph node hyperplasia is a rare disorder that can be unicentric or multicentric. Multicentric Castleman's disease (MCD) is manifested by generalized lymphadenopathy, hepatosplenomegaly, polyclonal hypergammaglobulinemia, hematological abnormality, and constitutional symptoms. Human herpesvirus 8 (HHV-8) infection is present in nearly 100% MCD associated with HIV-1 infection, but in about 50% of cases of HIV negative. Herein, we report a 77-year-old man with systemic involvement and skin lesions on the anterior aspect of both legs in the previous site of saphenous vein angioplasty. Co-existence of MCD with Kaposi's sarcoma (KS) led us to present this rare case.

摘要

卡斯尔曼病(CD)或巨大淋巴结增生是一种罕见的疾病,可分为单中心型或多中心型。多中心卡斯尔曼病(MCD)表现为全身淋巴结肿大、肝脾肿大、多克隆高球蛋白血症、血液学异常和全身症状。在与HIV-1感染相关的MCD中,几乎100%存在人类疱疹病毒8(HHV-8)感染,但在约50%的HIV阴性病例中也有该病毒感染。在此,我们报告一名77岁男性,有全身受累情况,且双腿前侧在之前大隐静脉血管成形术部位出现皮肤病变。MCD与卡波西肉瘤(KS)共存促使我们呈现这一罕见病例。

https://cdn.ncbi.nlm.nih.gov/pmc/blobs/0baa/4458972/c144505b7c99/IJD-60-323b-g001.jpg

文献AI研究员

20分钟写一篇综述,助力文献阅读效率提升50倍。

立即体验

用中文搜PubMed

大模型驱动的PubMed中文搜索引擎

马上搜索

文档翻译

学术文献翻译模型,支持多种主流文档格式。

立即体验