• 文献检索
  • 文档翻译
  • 深度研究
  • 学术资讯
  • Suppr Zotero 插件Zotero 插件
  • 邀请有礼
  • 套餐&价格
  • 历史记录
应用&插件
Suppr Zotero 插件Zotero 插件浏览器插件Mac 客户端Windows 客户端微信小程序
定价
高级版会员购买积分包购买API积分包
服务
文献检索文档翻译深度研究API 文档MCP 服务
关于我们
关于 Suppr公司介绍联系我们用户协议隐私条款
关注我们

Suppr 超能文献

核心技术专利:CN118964589B侵权必究
粤ICP备2023148730 号-1Suppr @ 2026

文献检索

告别复杂PubMed语法,用中文像聊天一样搜索,搜遍4000万医学文献。AI智能推荐,让科研检索更轻松。

立即免费搜索

文件翻译

保留排版,准确专业,支持PDF/Word/PPT等文件格式,支持 12+语言互译。

免费翻译文档

深度研究

AI帮你快速写综述,25分钟生成高质量综述,智能提取关键信息,辅助科研写作。

立即免费体验

持续性或复发性卡斯尔曼病——警惕潜在的淋巴瘤!

Persistent or recurrent Castleman's disease - Look out for a lurking lymphoma!

作者信息

Rao Shalinee, Ramesh Anita, Rajkumar Aarthi, Arcot Rekha, Kuruvilla Sarah

机构信息

Department of Pathology, Sri Ramachandra University, Porur, Chennai, Tamil Nadu, India.

出版信息

Indian J Med Paediatr Oncol. 2011 Jul;32(3):162-4. doi: 10.4103/0971-5851.92820.

DOI:10.4103/0971-5851.92820
PMID:22557785
原文链接:https://pmc.ncbi.nlm.nih.gov/articles/PMC3342725/
Abstract

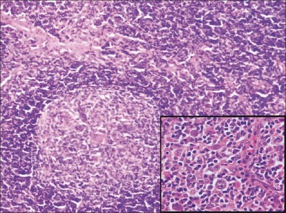
Castleman's disease, a rare condition of uncertain etiology clinically presents in isolated form or as a multicentric disease. The multicentric form can develop malignancies such as Kaposi's sarcoma or lymphomas. We present a case of Castleman's disease with coexisting interfollicular Hodgkin's lymphoma that was confirmed by immunohistochemistry. This case report highlights the fact that an occult lymphoma has to be ruled out in persistent or recurrent Castleman's disease.

摘要

卡斯特leman病是一种病因不明的罕见疾病,临床上以孤立形式或多中心疾病形式出现。多中心形式可发展为恶性肿瘤,如卡波西肉瘤或淋巴瘤。我们报告一例经免疫组织化学证实的伴有滤泡间霍奇金淋巴瘤的卡斯特leman病。本病例报告强调了在持续性或复发性卡斯特leman病中必须排除隐匿性淋巴瘤这一事实。

https://cdn.ncbi.nlm.nih.gov/pmc/blobs/f766/3342725/070cff29173a/IJMPO-32-162-g002.jpg
https://cdn.ncbi.nlm.nih.gov/pmc/blobs/f766/3342725/d3c58fcbeb4d/IJMPO-32-162-g001.jpg
https://cdn.ncbi.nlm.nih.gov/pmc/blobs/f766/3342725/070cff29173a/IJMPO-32-162-g002.jpg
https://cdn.ncbi.nlm.nih.gov/pmc/blobs/f766/3342725/d3c58fcbeb4d/IJMPO-32-162-g001.jpg
https://cdn.ncbi.nlm.nih.gov/pmc/blobs/f766/3342725/070cff29173a/IJMPO-32-162-g002.jpg

相似文献

1
Persistent or recurrent Castleman's disease - Look out for a lurking lymphoma!持续性或复发性卡斯尔曼病——警惕潜在的淋巴瘤!
Indian J Med Paediatr Oncol. 2011 Jul;32(3):162-4. doi: 10.4103/0971-5851.92820.
2
Plasma cell variant of Castleman's disease occurring concurrently with Hodgkin's disease in the neck.颈部同时发生霍奇金淋巴瘤的Castleman病浆细胞变异型。
Head Neck. 2001 Feb;23(2):166-9. doi: 10.1002/1097-0347(200102)23:2<166::aid-hed1012>3.0.co;2-p.
3
Multicentric Castleman's disease and Kaposi's sarcoma in a cyclosporin treated, HIV-1 negative patient: case report.环孢素治疗的HIV-1阴性患者发生多中心Castleman病和卡波西肉瘤:病例报告
BMC Blood Disord. 2003 Dec 11;3(1):3. doi: 10.1186/1471-2326-3-3.
4
Three patients with both Hodgkin's lymphoma and Castleman's disease: Clinicopathologic correlations and lack of association with HHV-8.三名同时患有霍奇金淋巴瘤和卡斯特曼病的患者:临床病理相关性及与人类疱疹病毒8型无关
Indian J Med Paediatr Oncol. 2009 Apr;30(2):76-9. doi: 10.4103/0971-5851.60052.
5
Multicentric Castleman's disease in HIV infection: a systematic review of the literature.HIV感染中的多中心Castleman病:文献系统综述
AIDS Rev. 2008 Jan-Mar;10(1):25-35.
6
Multicentric Castleman's disease, non-Hodgkin's lymphoma, and Kaposi's sarcoma: a rare simultaneous occurrence.
Asian Pac J Allergy Immunol. 2002 Jun;20(2):127-33.
7
Kaposi's sarcoma-associated herpesvirus: a lymphotropic human herpesvirus associated with Kaposi's sarcoma, primary effusion lymphoma, and multicentric Castleman's disease.卡波西肉瘤相关疱疹病毒:一种嗜淋巴细胞的人类疱疹病毒,与卡波西肉瘤、原发性渗出性淋巴瘤及多中心性Castleman病相关。
Semin Diagn Pathol. 1997 Feb;14(1):54-66.
8
Coexistence of Hodgkin's Lymphoma and Castleman's Disease: A Case Report with Successful Response to Chemotherapy and Radiotherapy.霍奇金淋巴瘤与Castleman病并存:一例化疗和放疗成功的病例报告
Case Rep Oncol Med. 2013;2013:487205. doi: 10.1155/2013/487205. Epub 2013 Dec 5.
9
Human herpesvirus-8 in lymphomatous and nonlymphomatous body cavity effusions developing in Kaposi's sarcoma and multicentric Castleman's disease.卡波西肉瘤和多中心性Castleman病中发生的淋巴瘤性和非淋巴瘤性体腔积液中的人疱疹病毒8型
Ann Diagn Pathol. 1999 Dec;3(6):357-63. doi: 10.1016/s1092-9134(99)80014-8.
10
Expression of a virus-derived cytokine, KSHV vIL-6, in HIV-seronegative Castleman's disease.一种病毒衍生细胞因子,卡波西肉瘤相关疱疹病毒vIL-6,在HIV血清阴性的卡斯尔曼病中的表达。
Am J Pathol. 1997 Dec;151(6):1517-22.

引用本文的文献

1
Castleman's disease of the left parotid gland: a case report.左腮腺Castleman病:一例报告
Int J Clin Exp Pathol. 2021 Apr 15;14(4):533-537. eCollection 2021.
2
Surgical management of isolated retroperitoneal Castleman's disease: A case report.孤立性腹膜后Castleman病的外科治疗:一例报告
Oncol Lett. 2016 Mar;11(3):2123-2126. doi: 10.3892/ol.2016.4177. Epub 2016 Feb 2.
3
Co-Existence of Multicentric Castleman's Disease and Kaposi's Sarcoma.多中心性Castleman病与卡波西肉瘤并存

本文引用的文献

1
A case of nodular sclerosis Hodgkin's lymphoma repeatedly relapsing in the context of composite plasma cell-hyaline vascular Castleman's disease: successful response to rituximab and radiotherapy.1例结节硬化型霍奇金淋巴瘤在复合性浆细胞-透明血管型Castleman病背景下反复复发:对利妥昔单抗和放疗反应良好
Eur J Haematol. 2007 Nov;79(5):455-61. doi: 10.1111/j.1600-0609.2007.00952.x. Epub 2007 Oct 1.
2
Complete remission with anti-CD20 therapy for unicentric, non-HIV-associated, hyaline-vascular type, Castleman's disease.抗CD20治疗使单中心、非HIV相关、透明血管型Castleman病完全缓解。
Cancer Invest. 2005;23(2):191.
3
Indian J Dermatol. 2015 May-Jun;60(3):323. doi: 10.4103/0019-5154.156457.
4
Diagnostic issues in a case of hodgkin lymphoma with castleman like features.一例具有卡斯特曼样特征的霍奇金淋巴瘤的诊断问题
Indian J Hematol Blood Transfus. 2014 Sep;30(Suppl 1):386-9. doi: 10.1007/s12288-014-0429-6. Epub 2014 Jul 4.
Plasma cell variant of Castleman's disease occurring concurrently with Hodgkin's disease in the neck.
颈部同时发生霍奇金淋巴瘤的Castleman病浆细胞变异型。
Head Neck. 2001 Feb;23(2):166-9. doi: 10.1002/1097-0347(200102)23:2<166::aid-hed1012>3.0.co;2-p.
4
Improvement in Castleman's disease by humanized anti-interleukin-6 receptor antibody therapy.人源化抗白细胞介素-6受体抗体疗法改善卡斯特曼病
Blood. 2000 Jan 1;95(1):56-61.
5
Hodgkin's disease with coexistent Castleman-like histologic features. A report of three cases.伴有类卡斯特曼组织学特征的霍奇金淋巴瘤。三例报告。
Arch Pathol Lab Med. 1994 Mar;118(3):270-4.
6
Hodgkin's disease presenting with the histological features of Castleman's disease.表现为Castleman病组织学特征的霍奇金淋巴瘤。
Histopathology. 1991 Mar;18(3):249-53. doi: 10.1111/j.1365-2559.1991.tb00833.x.