Suppr超能文献

旋毛虫介导的肿瘤缩小中的坏死与凋亡。

Necrosis and apoptosis in Trichinella spiralis-mediated tumour reduction.

作者信息

Vasilev Sasa, Ilic Natasa, Gruden-Movsesijan Alisa, Vasilijic Sasa, Bosic Martina, Sofronic-Milosavljevic Ljiljana

机构信息

Institute for the Application of Nuclear Energy - INEP, University of Belgrade, Belgrade, Serbia.

Institute for Medical Research, Military Medical Academy, Belgrade, Serbia.

出版信息

Cent Eur J Immunol. 2015;40(1):42-53. doi: 10.5114/ceji.2015.50832. Epub 2015 Apr 22.

Abstract

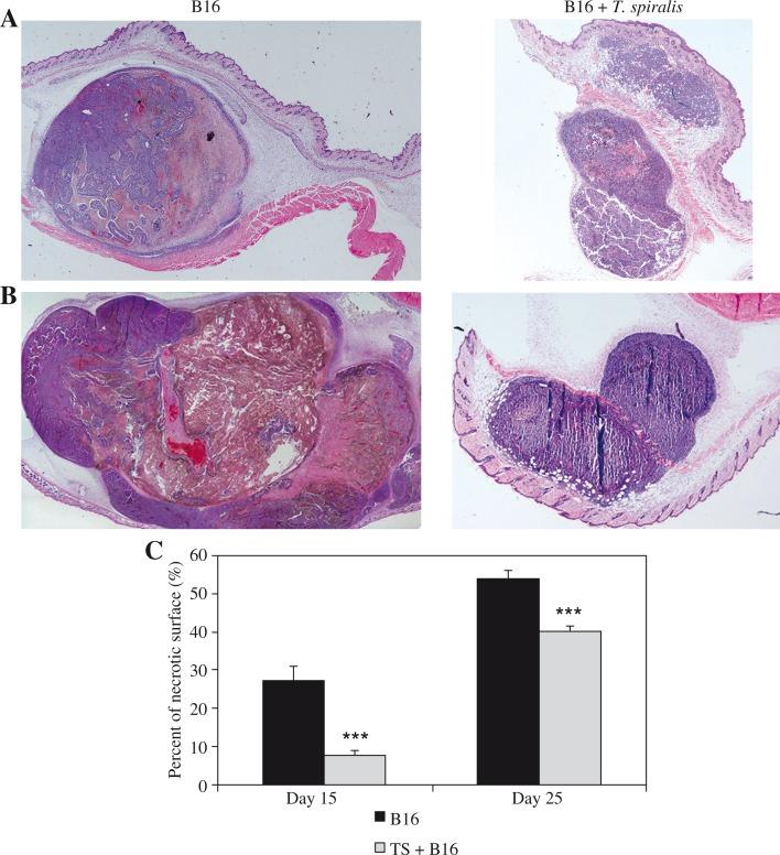
It is known that infection with different pathogens, including helminths, can alter the progression of malignant or other diseases. We studied the effect of chronic Trichinella spiralis infection or muscle larvae excretory-secretory (ES L1) antigens on the malignant tumour growth in the mouse melanoma model system in vivo and in vitro. Our results confirmed that chronic infection with T. spiralis possesses the capacity to slow down the progression of tumour growth, resulting in an impressive reduction in tumour size. We found that the phenomenon could, at least partially, be related to a lower level of tumour necrosis compared to necrosis present in control animals with progressive malignancy course. An increased apoptotic potential among the low percentage of cells within the total tumour cell number in vivo was also observed. ES L1 antigen, as a parasitic product that is released during the chronic phase of infection, reduced the survival and slightly, but significantly increased the apoptosis level of melanoma cells in vitro. Our results imply that powerful Trichinella anti-malignance capacity does not rely only on necrosis and apoptosis but other mechanisms through which infection or parasite products manipulate the tumor establishment and expansion should be considered.

摘要

已知感染包括蠕虫在内的不同病原体可改变恶性疾病或其他疾病的进展。我们在体内和体外的小鼠黑色素瘤模型系统中研究了旋毛虫慢性感染或肌肉幼虫排泄-分泌(ES L1)抗原对恶性肿瘤生长的影响。我们的结果证实,旋毛虫慢性感染具有减缓肿瘤生长进程的能力,导致肿瘤大小显著减小。我们发现,与具有进行性恶性病程的对照动物相比,这种现象至少部分与较低水平的肿瘤坏死有关。在体内,还观察到总肿瘤细胞数中低百分比细胞的凋亡潜能增加。ES L1抗原作为感染慢性期释放的一种寄生产物,在体外降低了黑色素瘤细胞的存活率,并轻微但显著提高了其凋亡水平。我们的结果表明,旋毛虫强大的抗恶性能力不仅依赖于坏死和凋亡,还应考虑感染或寄生虫产物操纵肿瘤形成和扩展的其他机制。

https://cdn.ncbi.nlm.nih.gov/pmc/blobs/e124/4472539/e078c4f0bf4d/CEJI-40-50832-g001.jpg

文献AI研究员

20分钟写一篇综述,助力文献阅读效率提升50倍。

立即体验

用中文搜PubMed

大模型驱动的PubMed中文搜索引擎

马上搜索

文档翻译

学术文献翻译模型,支持多种主流文档格式。

立即体验