Suppr超能文献

成人原发性肠淋巴管扩张症的外科治疗

Surgical therapy of primary intestinal lymphangiectasia in adults.

作者信息

Huber Tobias, Paschold Markus, Eckardt Alexander J, Lang Hauke, Kneist Werner

机构信息

Department of General, Visceral and Transplant Surgery, University Medicine of the Johannes Gutenberg-University Mainz, Mainz, Germany.

Department of Gastroenterology, DKD Helios Klinik Wiesbaden, Wiesbaden, Germany.

出版信息

J Surg Case Rep. 2015 Jul 12;2015(7):rjv081. doi: 10.1093/jscr/rjv081.

Abstract

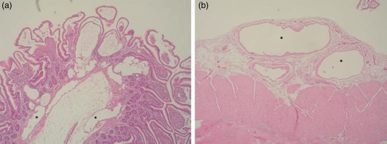
Primary intestinal lymphangiectasia (PIL) is a rare disorder, especially in adults. It causes a local disruption of chylus transport and is part of the exudative gastroenteropathies. Conservative therapy includes dietary measures or somatostatin medication. Taking the differential diagnosis of PIL into consideration is a major challenge, since patients suffering from PIL may present with diarrhoea and lymphedema or chylous ascites. This can be explained by the chronic lymphedema of the bowel leading to dilation of the vessels (intraluminal loss) and sometimes even to a rupture (peritoneal loss). Push-pull enteroscopy and capsule endoscopy are the proper interventional diagnostic tools to discover PIL. Exploratory laparoscopy may be useful in unclear cases. Surgical resection of the altered intestine has been described with positive results. Exploratory laparoscopy may even be a diagnostic tool in unclear cases. Resection of the altered intestine is a treatment option in symptomatic and treatment-refractory cases.

摘要

原发性肠淋巴管扩张症(PIL)是一种罕见疾病,在成人中尤为少见。它会导致乳糜运输的局部中断,是渗出性胃肠病的一部分。保守治疗包括饮食措施或使用生长抑素药物。考虑到PIL的鉴别诊断是一项重大挑战,因为患有PIL的患者可能会出现腹泻、淋巴水肿或乳糜性腹水。这可以通过肠道的慢性淋巴水肿导致血管扩张(管腔内丢失),有时甚至导致破裂(腹腔内丢失)来解释。推进式小肠镜检查和胶囊内镜检查是发现PIL的合适介入诊断工具。在情况不明的病例中, exploratory laparoscopy可能有用。已报道手术切除病变肠段取得了积极效果。在情况不明的病例中,exploratory laparoscopy甚至可能是一种诊断工具。对于有症状且治疗难治的病例,切除病变肠段是一种治疗选择。 (注:原文中“Push-pull enteroscopy”和“Exploratory laparoscopy”未找到准确的中文对应词汇,暂保留英文)

https://cdn.ncbi.nlm.nih.gov/pmc/blobs/46bf/4499709/39c94be33bbd/rjv08101.jpg

文献AI研究员

20分钟写一篇综述,助力文献阅读效率提升50倍。

立即体验

用中文搜PubMed

大模型驱动的PubMed中文搜索引擎

马上搜索

文档翻译

学术文献翻译模型,支持多种主流文档格式。

立即体验