Suppr超能文献

硫酸软骨素膀胱内注入(Gepan(®) 灌注)治疗慢性放疗或化疗相关性膀胱炎患者

Intravesical Glycosaminoglycan Replacement with Chondroitin Sulphate (Gepan(®) instill) in Patients with Chronic Radiotherapy- or Chemotherapy-Associated Cystitis.

作者信息

Schwalenberg Thilo, Berger Frank Peter, Horn Lars Christian, Thi Phuc Ho, Stolzenburg Jens-Uwe, Neuhaus Jochen

机构信息

Department of Urology, Universitätsklinik Leipzig AöR (Leipzig University Hospital), Liebigstraße 20, 04103, Leipzig, Germany.

出版信息

Clin Drug Investig. 2015 Aug;35(8):505-12. doi: 10.1007/s40261-015-0306-6.

Abstract

BACKGROUND AND OBJECTIVE

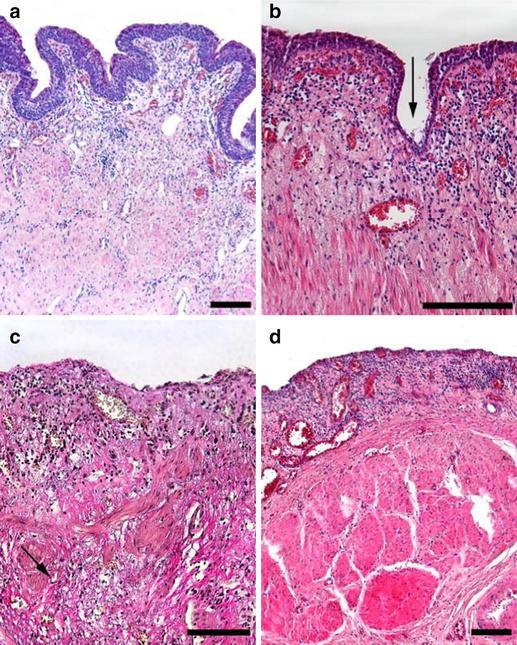
Intravesical instillation of glycosaminoglycans is a promising option for the treatment of chronic cystitis, as it supports the regeneration of the damaged urothelial layer. We investigated the efficacy of short-term intravesical chondroitin sulphate treatment (six courses of instillation) in patients with chronic radiotherapy- or chemotherapy-associated cystitis.

METHODS

This prospective, observational study included patients with chronic radiotherapy- or chemotherapy-associated cystitis, who received six once-weekly intravesical instillations of 0.2% chondroitin sulphate 40 mL. Every week, patients recorded their symptoms and their benefits and tolerance of treatment, using a self-completed questionnaire.

RESULTS

The study included 16 patients (mean age 68.5 years; 50% male). During the study, a reduction in all evaluated parameters was observed. After one dose of chondroitin sulphate, symptom improvement was observed in 38% of patients, and after the second dose, an additional 31% of patients showed improvement. At week 6, 80% of patients had either improved or were symptom free, and significant improvements in urinary urgency (p = 0.0082), pollakisuria (p = 0.0022), urge frequency (p = 0.0033) and lower abdominal pain (p = 0.0449) were observed. Haematuria, present in 9 of the 16 patients at baseline, was completely resolved in all cases after 6 weeks. The majority of patients (93%) evaluated the tolerance of chondroitin sulphate as 'good' or 'very good'. No treatment-related adverse events were reported.

CONCLUSION

Intravesical administration of chondroitin sulphate was effective for the treatment of radiotherapy- or chemotherapy-associated cystitis. Even short-term treatment appears to be effective in reducing symptoms and improving the quality of life of patients.

摘要

背景与目的

膀胱内灌注糖胺聚糖是治疗慢性膀胱炎的一种有前景的选择,因为它有助于受损膀胱上皮层的再生。我们研究了短期膀胱内硫酸软骨素治疗(六个疗程的灌注)对慢性放疗或化疗相关性膀胱炎患者的疗效。

方法

这项前瞻性观察性研究纳入了慢性放疗或化疗相关性膀胱炎患者,他们接受了每周一次共六次的40 mL 0.2%硫酸软骨素膀胱内灌注。每周,患者使用自行填写的问卷记录其症状以及治疗的益处和耐受性。

结果

该研究纳入了16名患者(平均年龄68.5岁;50%为男性)。在研究期间,观察到所有评估参数均有所降低。在一剂硫酸软骨素后,38%的患者症状有所改善,在第二剂后,又有31%的患者症状改善。在第6周时,80%的患者症状改善或无症状,并且观察到尿急(p = 0.0082)、尿频(p = 0.0022)、急迫性尿频(p = 0.0033)和下腹部疼痛(p = 0.0449)有显著改善。16名患者中有9名在基线时存在血尿,6周后所有病例的血尿均完全消失。大多数患者(93%)对硫酸软骨素耐受性的评价为“良好”或“非常好”。未报告与治疗相关的不良事件。

结论

膀胱内给予硫酸软骨素对放疗或化疗相关性膀胱炎的治疗有效。即使是短期治疗似乎也能有效减轻症状并改善患者的生活质量。

https://cdn.ncbi.nlm.nih.gov/pmc/blobs/91f0/4519582/2ca1e9adb21a/40261_2015_306_Fig1_HTML.jpg

文献AI研究员

20分钟写一篇综述,助力文献阅读效率提升50倍。

立即体验

用中文搜PubMed

大模型驱动的PubMed中文搜索引擎

马上搜索

文档翻译

学术文献翻译模型,支持多种主流文档格式。

立即体验