Karaosmanoğlu Ali Devrim, Onur Mehmet Ruhi, Shirkhoda Ali, Ozmen Mustafa, Hahn Peter F
Department of Radiology, Massachusetts General Hospital, Harvard Medical School, Boston, MA 02114, USA.
Department of Radiology, University of Hacettepe School of Medicine, Ankara 06100, Turkey.
Korean J Radiol. 2015 Jul-Aug;16(4):853-9. doi: 10.3348/kjr.2015.16.4.853. Epub 2015 Jul 1.
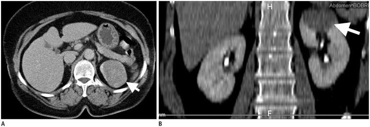
Malignant kidney neoplasms are the most frequently encountered solid kidney masses. Although renal cell carcinoma is the major renal malignancy, other solid malignant renal masses should be considered in the differential diagnosis of solid renal masses that do not contain a macroscopic fatty component. In this pictorial essay, we present the imaging findings of a primitive neuroectodermal tumor, primary liposarcoma of the kidney, primary neuroendocrine tumor, leiomyosarcoma, synovial sarcoma, malignant fibrous histiocytoma, sclerosing fibrosarcoma and renal metastasis of osteosarcoma.
恶性肾肿瘤是最常见的实性肾肿块。虽然肾细胞癌是主要的肾脏恶性肿瘤,但在鉴别诊断不包含肉眼可见脂肪成分的实性肾肿块时,应考虑其他实性恶性肾肿块。在这篇影像论文中,我们展示了原始神经外胚层肿瘤、肾原发性脂肪肉瘤、原发性神经内分泌肿瘤、平滑肌肉瘤、滑膜肉瘤、恶性纤维组织细胞瘤、硬化性纤维肉瘤以及骨肉瘤肾转移的影像学表现。