Laubner Steffi, Ondreka Nele, Failing Klaus, Kramer Martin, Schmidt Martin J
Department of Veterinary Clinical Sciences, Small Animal Clinic, Justus-Liebig-University, Frankfurter Straße 108, Giessen, 35392, Germany.
Department of Biomathematics, Justus-Liebig-University, Frankfurter Straße 95, Giessen, 35392, Germany.
BMC Vet Res. 2015 Aug 1;11:181. doi: 10.1186/s12917-015-0479-5.
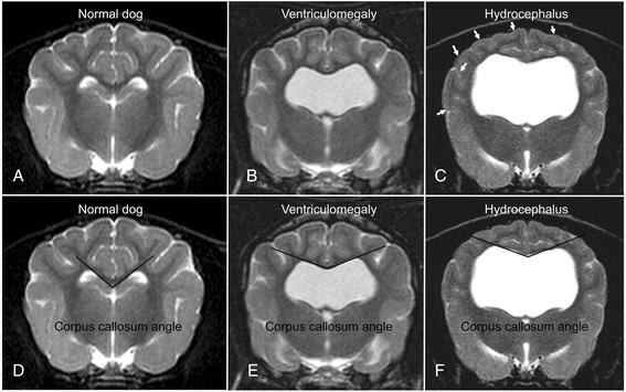
Magnetic resonance imaging (MRI) findings of canine brains with enlarged ventricles in asymptomatic dogs were compared to those in dogs with clinically relevant internal hydrocephalus, in order to determine the imaging findings indicative of a relevant increase in intraventricular pressure. Discrimination between clinically relevant hydrocephalus and ventriculomegaly based on MRI findings has not been established yet and is anything but trivial because of the wide variation in ventricular size in different dog breeds and individuals. The MRI scans of the brains of 67 dogs of various breeds, skull conformation and weight were reviewed retrospectively. Based on clinical and imaging findings, the dogs were divided into three groups: a normal group (n = 20), a group with clinically silent ventriculomegaly (n = 25) and a group with severe clinically relevant internal hydrocephalus (n = 22). In addition to the ventricle/brain-index, a number of potential subjective signs of increased intraventricular pressure were recorded and compared between the groups.
The ventricle/brain-index was significantly higher in dogs with relevant hydrocephalus (p < 0.001) and a threshold value of 0.6 was specified as a discriminator between internal hydrocephalus and ventriculomegaly. Other MR imaging findings associated with clinically relevant hydrocephalus were an elevation of the corpus callosum (p < 0.01), dorsoventral flattening of the interthalamic adhesion (p < 0.0001), periventricular edema (p < 0.0001), dilation of the olfactory recesses (p < 0.0001), thinning of the cortical sulci (p < 0.0001) and/or the subarachnoid space (p < 0.0027) and disruption of the internal capsule adjacent to the caudate nucleus (p < 0.0001).
A combination of the abovementioned criteria may support a diagnosis of hydrocephalus that requires treatment.
将无症状犬类大脑脑室扩大的磁共振成像(MRI)结果与具有临床相关内部脑积水的犬类进行比较,以确定表明脑室内压力显著升高的影像学表现。基于MRI结果对临床相关脑积水和脑室扩大进行鉴别诊断尚未确立,而且由于不同犬种和个体的脑室大小差异很大,这绝非易事。回顾性分析了67只不同品种、颅骨形态和体重的犬类大脑的MRI扫描结果。根据临床和影像学表现,将这些犬分为三组:正常组(n = 20)、临床无症状脑室扩大组(n = 25)和严重临床相关内部脑积水组(n = 22)。除了脑室/脑指数外,还记录了一些脑室内压力升高的潜在主观征象,并在各组之间进行比较。
相关脑积水犬的脑室/脑指数显著更高(p < 0.001),并将阈值0.6指定为内部脑积水和脑室扩大的鉴别指标。与临床相关脑积水相关的其他MRI表现包括胼胝体抬高(p < 0.01)、丘脑间粘连的背腹扁平(p < 0.0001)、脑室周围水肿(p < 0.0001)、嗅隐窝扩张(p < 0.0001)、皮质沟变窄(p < 0.0001)和/或蛛网膜下腔变窄(p < 0.0027)以及尾状核附近内囊中断(p < 0.0001)。
上述标准的组合可能有助于支持需要治疗的脑积水的诊断。