Suppr超能文献

来自致病卵菌寄生腐霉的免疫反应性外切1,3-β-葡聚糖酶受温度调节并具有糖苷水解酶活性。

The Immunoreactive Exo-1,3-β-Glucanase from the Pathogenic Oomycete Pythium insidiosum Is Temperature Regulated and Exhibits Glycoside Hydrolase Activity.

作者信息

Keeratijarut Angsana, Lohnoo Tassanee, Rujirawat Thidarat, Yingyong Wanta, Kalambaheti Thareerat, Miller Shannon, Phuntumart Vipaporn, Krajaejun Theerapong

机构信息

Department of Pathology, Faculty of Medicine, Ramathibodi Hospital, Mahidol University, Bangkok, Thailand; Molecular Medicine Program, Multidisciplinary Unit, Faculty of Science, Mahidol University, Bangkok, Thailand.

Research Center, Faculty of Medicine, Ramathibodi Hospital, Mahidol University, Bangkok, Thailand.

出版信息

PLoS One. 2015 Aug 11;10(8):e0135239. doi: 10.1371/journal.pone.0135239. eCollection 2015.

Abstract

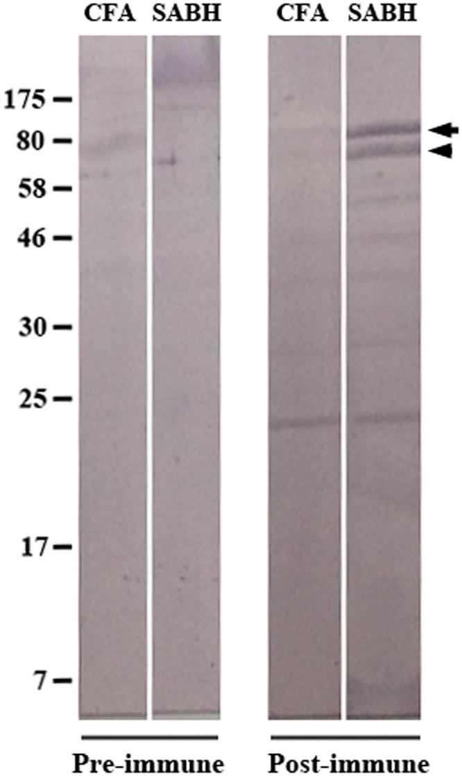
The oomycete organism, Pythium insidiosum, is the etiologic agent of the life-threatening infectious disease called "pythiosis". Diagnosis and treatment of pythiosis is difficult and challenging. Novel methods for early diagnosis and effective treatment are urgently needed. Recently, we reported a 74-kDa immunodominant protein of P. insidiosum, which could be a diagnostic target, vaccine candidate, and virulence factor. The protein was identified as a putative exo-1,3-ß-glucanase (Exo1). This study reports on genetic, immunological, and biochemical characteristics of Exo1. The full-length exo1 coding sequence (2,229 bases) was cloned. Phylogenetic analysis showed that exo1 is grouped with glucanase-encoding genes of other oomycetes, and is far different from glucanase-encoding genes of fungi. exo1 was up-regulated upon exposure to body temperature, and its gene product is predicted to contain BglC and X8 domains, which are involved in carbohydrate transport, binding, and metabolism. Based on its sequence, Exo1 belongs to the Glycoside Hydrolase family 5 (GH5). Exo1, expressed in E. coli, exhibited ß-glucanase and cellulase activities. Exo1 is a major intracellular immunoreactive protein that can trigger host immune responses during infection. Since GH5 enzyme-encoding genes are not present in human genomes, Exo1 could be a useful target for drug and vaccine development against this pathogen.

摘要

卵菌纲生物毁灭腐霉是一种名为“腐霉病”的危及生命的传染病的病原体。腐霉病的诊断和治疗困难且具有挑战性。迫切需要早期诊断和有效治疗的新方法。最近,我们报道了毁灭腐霉的一种74 kDa免疫显性蛋白,它可能是一个诊断靶点、疫苗候选物和毒力因子。该蛋白被鉴定为一种假定的外切1,3-β-葡聚糖酶(Exo1)。本研究报告了Exo1的遗传、免疫和生化特性。克隆了全长exo1编码序列(2229个碱基)。系统发育分析表明,exo1与其他卵菌纲的葡聚糖酶编码基因归为一组,与真菌的葡聚糖酶编码基因有很大差异。exo1在暴露于体温时上调,其基因产物预计包含参与碳水化合物运输、结合和代谢的BglC和X8结构域。根据其序列,Exo1属于糖苷水解酶家族5(GH5)。在大肠杆菌中表达的Exo1表现出β-葡聚糖酶和纤维素酶活性。Exo1是一种主要的细胞内免疫反应蛋白,在感染过程中可触发宿主免疫反应。由于人类基因组中不存在编码GH5酶的基因,Exo1可能是针对这种病原体进行药物和疫苗开发的有用靶点。

https://cdn.ncbi.nlm.nih.gov/pmc/blobs/b446/4532416/d5e96d11e793/pone.0135239.g001.jpg

文献AI研究员

20分钟写一篇综述,助力文献阅读效率提升50倍。

立即体验

用中文搜PubMed

大模型驱动的PubMed中文搜索引擎

马上搜索

文档翻译

学术文献翻译模型,支持多种主流文档格式。

立即体验