Rudge Peter, Jaunmuktane Zane, Adlard Peter, Bjurstrom Nina, Caine Diana, Lowe Jessica, Norsworthy Penny, Hummerich Holger, Druyeh Ron, Wadsworth Jonathan D F, Brandner Sebastian, Hyare Harpreet, Mead Simon, Collinge John
1 National Prion Clinic, National Hospital for Neurology and Neurosurgery (NHNN), University College London (UCL) Hospitals NHS Foundation Trust, Queen Square, London WC1N 3BG, UK 2 MRC Prion Unit, Department of Neurodegenerative Disease, UCL Institute of Neurology, Queen Square, London WC1N 3BG, UK
3 Division of Neuropathology, NHNN, UCL Hospitals NHS Foundation Trust, Queen Square, London WC1N 3BG, UK.
Brain. 2015 Nov;138(Pt 11):3386-99. doi: 10.1093/brain/awv235. Epub 2015 Aug 11.
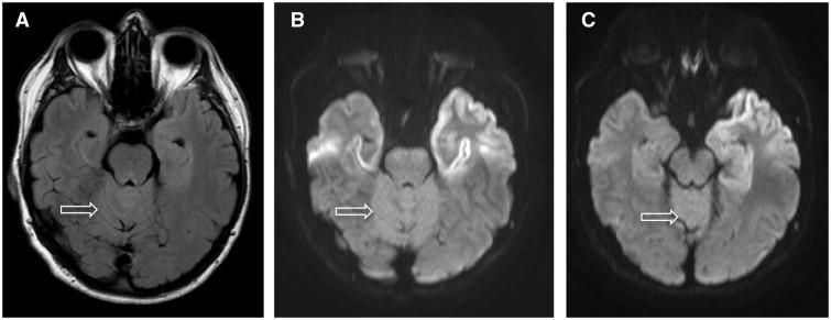
Patients with iatrogenic Creutzfeldt-Jakob disease due to administration of cadaver-sourced growth hormone during childhood are still being seen in the UK 30 years after cessation of this treatment. Of the 77 patients who have developed iatrogenic Creutzfeldt-Jakob disease, 56 have been genotyped. There has been a marked change in genotype profile at polymorphic codon 129 of the prion protein gene (PRNP) from predominantly valine homozygous to a mixed picture of methionine homozygous and methionine-valine heterozygous over time. The incubation period of iatrogenic Creutzfeldt-Jakob disease is significantly different between all three genotypes. This experience is a striking contrast with that in France and the USA, which may relate to contamination of different growth hormone batches with different strains of human prions. We describe the clinical, imaging, molecular and autopsy features in 22 of 24 patients who have developed iatrogenic Creutzfeldt-Jakob disease in the UK since 2003. Mean age at onset of symptoms was 42.7 years. Gait ataxia and lower limb dysaesthesiae were the most frequent presenting symptoms. All had cerebellar signs, and the majority had myoclonus and lower limb pyramidal signs, with relatively preserved cognitive function, when first seen. There was a progressive decline in neurological and cognitive function leading to death after 5-32 (mean 14) months. Despite incubation periods approaching 40 years, the clinical duration in methionine homozygote patients appeared to be shorter than that seen in heterozygote patients. MRI showed restricted diffusion in the basal ganglia, thalamus, hippocampus, frontal and the paracentral motor cortex and cerebellar vermis. The electroencephalogram was abnormal in 15 patients and cerebrospinal fluid 14-3-3 protein was positive in half the patients. Neuropathological examination was conducted in nine patients. All but one showed synaptic prion deposition with numerous kuru type plaques in the basal ganglia, anterior frontal and parietal cortex, thalamus, basal ganglia and cerebellum. The patient with the shortest clinical duration had an atypical synaptic deposition of abnormal prion protein and no kuru plaques. Taken together, these data provide a remarkable example of the interplay between the strain of the pathogen and host prion protein genotype. Based on extensive modelling of human prion transmission barriers in transgenic mice expressing human prion protein on a mouse prion protein null background, the temporal distribution of codon 129 genotypes within the cohort of patients with iatrogenic Creutzfeldt-Jakob disease in the UK suggests that there was a point source of infecting prion contamination of growth hormone derived from a patient with Creutzfeldt-Jakob disease expressing prion protein valine 129.
在英国,童年时期因注射尸体来源的生长激素而患医源性克雅氏病的患者,在这种治疗停止30年后仍有出现。在已患上医源性克雅氏病的77名患者中,56名已进行基因分型。随着时间推移,朊病毒蛋白基因(PRNP)多态性密码子129处的基因型谱发生了显著变化,从主要为缬氨酸纯合子转变为蛋氨酸纯合子和蛋氨酸 - 缬氨酸杂合子的混合情况。医源性克雅氏病的潜伏期在所有三种基因型之间存在显著差异。这一情况与法国和美国形成了鲜明对比,这可能与不同批次的生长激素被不同毒株的人类朊病毒污染有关。我们描述了自2003年以来在英国患上医源性克雅氏病的24名患者中的22名患者的临床、影像学、分子和尸检特征。症状出现时的平均年龄为42.7岁。步态共济失调和下肢感觉异常是最常见的首发症状。首次就诊时,所有患者都有小脑体征,大多数患者有肌阵挛和下肢锥体束征,认知功能相对保留。神经和认知功能逐渐下降,5 - 32(平均14)个月后导致死亡。尽管潜伏期接近40年,但蛋氨酸纯合子患者的临床病程似乎比杂合子患者短。MRI显示基底神经节、丘脑、海马、额叶和中央旁运动皮层以及小脑蚓部有扩散受限。15名患者脑电图异常,半数患者脑脊液14 - 3 - 3蛋白呈阳性。对9名患者进行了神经病理学检查。除1名患者外所有患者均显示突触朊病毒沉积,在基底神经节、前额叶和顶叶皮质、丘脑、基底神经节和小脑中出现大量库鲁病样斑块。临床病程最短的患者有异常朊病毒蛋白的非典型突触沉积且无库鲁病斑块。综上所述,这些数据提供了一个病原体毒株与宿主朊病毒蛋白基因型之间相互作用的显著例子。基于在小鼠朊病毒蛋白缺失背景下表达人类朊病毒蛋白的转基因小鼠中对人类朊病毒传播屏障的广泛建模,英国医源性克雅氏病患者队列中密码子129基因型的时间分布表明,存在一个来自表达朊病毒蛋白缬氨酸129的克雅氏病患者的感染性朊病毒污染生长激素的点源。