Yang Huilin, Cao Cheng, Wu Chunshen, Yuan Chenxi, Gu Qiaoli, Shi Qing, Zou Jun
Department of Orthopaedic Surgery, The First Affiliated Hospital of Soochow University, Suzhou, Jiangsu 215006, China.
Sci Rep. 2015 Aug 20;5:13254. doi: 10.1038/srep13254.
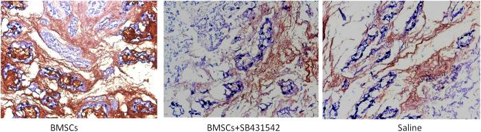
Recent studies suggest that cell therapy may be an effective way to repair intervertebral disc degeneration. As a strong immune suppressor, TGF-β1 has been shown to inhibit inflammation respond effectively. The objective of this study was to explore the effects of TGF-β1 during bone marrow mesenchymal stem cells-based therapy for disc degeneration. In vitro assays demonstrated that co-culturing of nucleus pulposus cells with bone marrow mesenchymal stem cells resulted in significantly higher levels of TGF-βl secretion. This increase inhibited IκB phosphorylation and NF-κB activation, detected by western blot analysis. Meanwhile, in a rabbit model, MRI analysis revealed significant recovery of signal intensity in the degenerative discs of rabbits receiving cells transplantation, than receiving cells treated with a TGF-β1 inhibitor or saline. These findings indicated that enhanced TGF-β1 production recovered the degeneration of intervertebral disc. And also immunohistochemical staining detected enhanced collagen II expression in the rabbits treated with cell transplantation. However, the NF-κB positive cells were significantly less than other two control groups. Thus, cell therapy promoted TGF-β1 expression in nucleus pulposus, leading to anti-inflammatory effects via the inhibition of NF-κB, and the amelioration of disc degradation due to increased expression of collagen II and aggrecan in degenerative intervertebral disc.
近期研究表明,细胞疗法可能是修复椎间盘退变的有效方法。作为一种强大的免疫抑制剂,转化生长因子-β1(TGF-β1)已被证明能有效抑制炎症反应。本研究的目的是探讨TGF-β1在基于骨髓间充质干细胞的椎间盘退变治疗中的作用。体外实验表明,髓核细胞与骨髓间充质干细胞共培养可显著提高TGF-β1的分泌水平。通过蛋白质印迹分析检测到,这种增加抑制了IκB磷酸化和NF-κB激活。同时,在兔模型中,磁共振成像(MRI)分析显示,接受细胞移植的兔退变椎间盘中的信号强度较接受TGF-β1抑制剂处理的细胞或生理盐水的兔有显著恢复。这些发现表明,TGF-β1产生的增加恢复了椎间盘的退变。免疫组织化学染色还检测到细胞移植治疗的兔中Ⅱ型胶原蛋白表达增强。然而,NF-κB阳性细胞明显少于其他两个对照组。因此,细胞疗法促进了髓核中TGF-β1的表达,通过抑制NF-κB产生抗炎作用,并通过增加退变椎间盘中Ⅱ型胶原蛋白和聚集蛋白聚糖的表达改善椎间盘退变。