Suppr超能文献

经导管栓塞治疗弯刀综合征患者合并体循环动脉异常所致咯血

Transcatheter embolization for hemoptysis associated with anomalous systemic artery in a patient with scimitar syndrome.

作者信息

Yamakawa Hideaki, Shimizu Kanichiro, Michimoto Kenkichi, Kameoka Yoshihiko, Kang Ryeonshi, Yoshida Jun, Yamada Masami, Yoshida Masahiro, Ishikawa Takeo, Takagi Masamichi, Kuwano Kazuyoshi

机构信息

Division of Respiratory Medicine, Department of Internal Medicine, Kashiwa Hospital, Jikei University School of Medicine, 163-1 Kashiwashita, Kashiwa, Chiba, 277-8567 Japan.

Department of Radiology, Kashiwa Hospital, Jikei University School of Medicine, Chiba, Japan.

出版信息

Springerplus. 2015 Aug 14;4:422. doi: 10.1186/s40064-015-1219-9. eCollection 2015.

Abstract

BACKGROUND

Scimitar syndrome can present with a wide clinical spectrum of symptoms either early in the neonatal period or later in life.

CASE DESCRIPTION

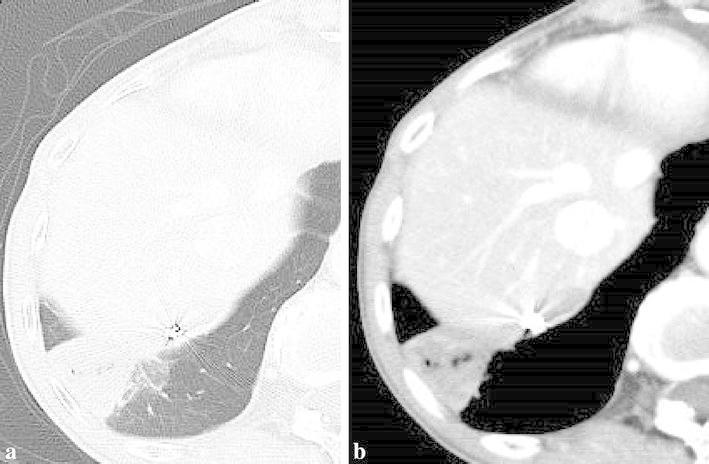
We report a case of a 62-year-old woman with anomalous systemic arterial supply to the basal lung with scimitar syndrome presenting as recurrent hemoptysis. Bronchoscopy revealed normal major bronchial branches without bronchial atresia, indicating that sequestration of the lung was not confirmed. The anomalous drainage of the scimitar vein was to the inferior vena cava, and an anomalous artery from the aorta supplied the right basal lung. There were no findings of pulmonary hypertension and arteriovenous malformation such as an anomalous artery to the scimitar vein. The distal portions of anomalous arteries were embolized using gelatin sponge particles and the proximal portion was embolized using fibered detachable coils. Although a small pulmonary infarction was observed as a complication, the patie nt has not experienced any subsequence recurrence of the hemoptysis during a follow-up period of 6 months.

DISCUSSION AND EVALUATION

Deformities of the blood vessels and the lungs are frequently complex in scimitar syndrome. Although patients treated with surgical repair of this disorder may be at higher risk than those treated less invasively, we believe that transcatheter embolization was a useful strategy for the treatment of the anomalous systemic arterial supply to the basal lung, particularly in this patient with scimitar syndrome.

CONCLUSION

Hemoptysis in a patient with scimitar syndrome associated with anomalous systemic arterial supply to the basal lung was successfully treated with transcatheter arterial embolization. However, it might be better to avoid the use of gelatin sponge particles in patients with a similar anomaly without pulmonary artery distribution because of the possibility of causing severe pulmonary infarction.

摘要

背景

弯刀综合征可在新生儿期早期或生命后期出现广泛的临床症状谱。

病例描述

我们报告一例62岁女性,患有弯刀综合征,表现为反复咯血,其基底肺存在异常体循环动脉供血。支气管镜检查显示主要支气管分支正常,无支气管闭锁,这表明肺隔离症未得到证实。弯刀状静脉异常引流至下腔静脉,一条来自主动脉的异常动脉供应右基底肺。未发现肺动脉高压和动静脉畸形,如弯刀状静脉异常动脉。使用明胶海绵颗粒栓塞异常动脉的远端部分,使用纤维可脱性线圈栓塞近端部分。尽管观察到有小面积肺梗死作为并发症,但在6个月的随访期内患者未再出现咯血。

讨论与评估

弯刀综合征中血管和肺部的畸形通常很复杂。尽管接受该疾病手术修复治疗的患者可能比接受侵入性较小治疗的患者风险更高,但我们认为经导管栓塞是治疗基底肺异常体循环动脉供血的一种有用策略,特别是对于该弯刀综合征患者。

结论

经导管动脉栓塞成功治疗了与基底肺异常体循环动脉供血相关的弯刀综合征患者的咯血。然而,对于没有肺动脉分布的类似异常患者,由于可能导致严重肺梗死,最好避免使用明胶海绵颗粒。

https://cdn.ncbi.nlm.nih.gov/pmc/blobs/8469/4536247/bb20c9ce14e8/40064_2015_1219_Fig1_HTML.jpg

文献AI研究员

20分钟写一篇综述,助力文献阅读效率提升50倍。

立即体验

用中文搜PubMed

大模型驱动的PubMed中文搜索引擎

马上搜索

文档翻译

学术文献翻译模型,支持多种主流文档格式。

立即体验