Suppr超能文献

一名老年男性的睾丸被一个巨大的表皮囊肿完全取代。

The Testis Completely Replaced by a Huge Epidermal Cyst in an Older Man.

作者信息

Park Kyung Kgi, Hyun Chang Lim, Kim Sung Dae, Kim Young Joo, Huh Jung Sik

机构信息

Department of Urology, Jeju National University School of Medicine, Jeju, Korea.

Department of Pathology, Jeju National University School of Medicine, Jeju, Korea.

出版信息

World J Mens Health. 2015 Aug;33(2):117-20. doi: 10.5534/wjmh.2015.33.2.117. Epub 2015 Aug 19.

Abstract

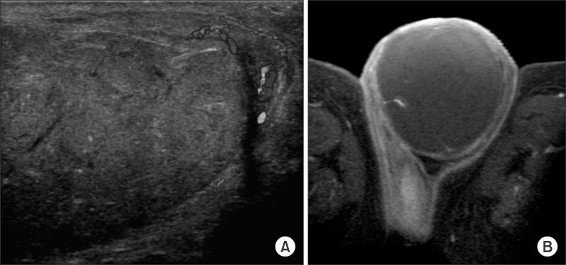
Epidermal cysts are commonly encountered, slow-growing superficial cysts in the hair-bearing areas of the body, and are usually discovered in the second and fourth decades of life. These cysts tend to be superficial, meaning that they can be easily found by ultrasound and digital palpation at a moderate degree of growth. However, we found a huge testicular cyst that went undetected until old age. In this report, we describe the interesting case of a patient in whom the right testis was totally replaced with an epidermal cyst. The cyst was found by ultrasonography and further evaluated with magnetic resonance imaging. We performed orchiectomy under the impression of an epidermal cyst. The pathologic report confirmed this clinical impression. Over 24 months of follow-up, we did not find any recurrence of a growing mass on the testis.

摘要

表皮样囊肿是身体有毛发部位常见的、生长缓慢的浅表囊肿,通常在人生的第二个和第四个十年被发现。这些囊肿往往较浅表,这意味着在其生长到一定程度时,通过超声和指诊很容易发现。然而,我们发现了一例巨大的睾丸囊肿,直到老年才被发现。在本报告中,我们描述了一例有趣的病例,患者右侧睾丸完全被一个表皮样囊肿取代。该囊肿通过超声检查发现,并进一步通过磁共振成像进行评估。我们在表皮样囊肿的诊断下进行了睾丸切除术。病理报告证实了这一临床诊断。经过24个月的随访,我们未发现睾丸上有任何生长性肿块复发。

https://cdn.ncbi.nlm.nih.gov/pmc/blobs/7ed3/4550594/5a4c59d7ee92/wjmh-33-117-g001.jpg

文献AI研究员

20分钟写一篇综述,助力文献阅读效率提升50倍。

立即体验

用中文搜PubMed

大模型驱动的PubMed中文搜索引擎

马上搜索

文档翻译

学术文献翻译模型,支持多种主流文档格式。

立即体验