Gentile Piergiorgio, Nandagiri Vijay Kumar, Pabari Ritesh, Daly Jacqueline, Tonda-Turo Chiara, Ciardelli Gianluca, Ramtoola Zebunnissa
School of Clinical Dentistry, University of Sheffield, Sheffield S10 2TA, UK.
Department of Mechanical and Aerospace Engineering, Politecnico di Torino, Turin 10129, Italy.
Int J Mol Sci. 2015 Aug 28;16(9):20492-510. doi: 10.3390/ijms160920492.
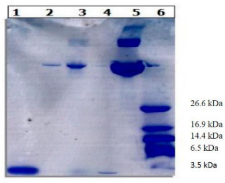
Biodegradable poly(lactide-co-glycolide) (PLGA) nanoparticles, containing human parathyroid hormone (PTH (1-34)), prepared by a modified double emulsion-solvent diffusion-evaporation method, were incorporated in porous freeze-dried chitosan-gelatin (CH-G) scaffolds. The PTH-loaded nanoparticles (NPTH) were characterised in terms of morphology, size, protein loading, release kinetics and in vitro assessment of biological activity of released PTH and cytocompatibility studies against clonal human osteoblast (hFOB) cells. Structural integrity of incorporated and released PTH from nanoparticles was found to be intact by using Tris-tricine SDS-PAGE. In vitro PTH release kinetics from PLGA nanoparticles were characterised by a burst release followed by a slow release phase for 3-4 weeks. The released PTH was biologically active as evidenced by the stimulated release of cyclic AMP from hFOB cells as well as increased mineralisation studies. in vitro and cell studies demonstrated that the PTH bioactivity was maintained during the fabrication of PLGA nanoparticles and upon release. Finally, a content of 33.3% w/w NPTHs was incorporated in CH-G scaffolds, showing an intermittent release during the first 10 days and, followed by a controlled release over 28 days of observation time. The increased expression of Alkaline Phosphatase levels on hFOB cells further confirmed the activity of intermittently released PTH from scaffolds.
采用改良的复乳-溶剂扩散蒸发法制备了负载人甲状旁腺激素(PTH(1-34))的可生物降解聚(丙交酯-乙交酯)(PLGA)纳米颗粒,并将其掺入多孔冻干壳聚糖-明胶(CH-G)支架中。对负载PTH的纳米颗粒(NPTH)进行了形态、尺寸、蛋白质负载量、释放动力学以及释放的PTH生物活性的体外评估和针对克隆人成骨细胞(hFOB)的细胞相容性研究。通过使用Tris-三羟甲基氨基甲烷SDS-PAGE发现,纳米颗粒中掺入和释放的PTH的结构完整性保持完好。PLGA纳米颗粒的体外PTH释放动力学表现为突发释放,随后是3-4周的缓慢释放阶段。hFOB细胞中环磷酸腺苷的刺激释放以及矿化研究增加证明了释放的PTH具有生物活性。体外和细胞研究表明,PTH的生物活性在PLGA纳米颗粒的制备过程中以及释放时得以保持。最后,将33.3%w/w的NPTH掺入CH-G支架中,在最初10天内呈现间歇性释放,随后在28天的观察期内实现控释。hFOB细胞上碱性磷酸酶水平的表达增加进一步证实了支架中间歇性释放的PTH的活性。