Suppr超能文献

基于阿苯达唑-壳聚糖微球的治疗对小鼠肺泡型棘球蚴病的疗效

Efficacy of Albendazole-Chitosan Microsphere-based Treatment for Alveolar Echinococcosis in Mice.

作者信息

Abulaihaiti Maitiseyiti, Wu Xiang-Wei, Qiao Lei, Lv Hai-Long, Zhang Hong-Wei, Aduwayi Nasrul, Wang Yan-Jie, Wang Xin-Chun, Peng Xin-Yu

机构信息

Department of Hepatobiliary Surgery, the First Affiliated Hospital, School of Medicine, Shihezi University, Shihezi, Xinjiang, China.

Department of Pharmacy, the First Affiliated Hospital, School of Medicine, Shihezi University, Shihezi, Xinjiang, China.

出版信息

PLoS Negl Trop Dis. 2015 Sep 9;9(9):e0003950. doi: 10.1371/journal.pntd.0003950. eCollection 2015.

Abstract

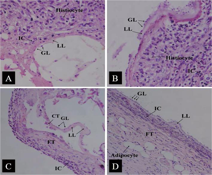
This study aimed to investigate the pharmacology and anti-parasitic efficacy of albendazole-chitosan microspheres (ABZ-CS-MPs) for established intraperitoneal infections of Echinococcus multilocularis metacestodes in an experimental murine model. Male outbred Kunming mice infected with E. multilocularis Metacestodes were administered with three ABZ formulations, namely, ABZ-CS-MPs, Liposome-Albendazole (L-ABZ), and albendazole tablet (ABZ-T). Each of the ABZ formulations was given orally at three different doses of 37.5, 75, and 150 mg/kg, three times a week for 12 weeks postinfection. After administering the drugs, we monitored the pharmacological performance and anti-parasitic efficacy of ABZ-CS-MPs compared with L-ABZ, and ABZ-T treated mice. ABZ-CS-MPs reduced the weight of tissues containing E. multilocularis metacestodes most effectively compared with the ABZ-T group and untreated controls. Metacestode grown was Highly suppressed during treatment with ABZ-CS-MPs. Significantly higher plasma levels of ABZ metabolites were measured in mice treated with ABZ-CS-MPs or L-ABZ compared with ABZ-T. In particular, enhanced ABZ-sulfoxide concentration profiles were observed in the mice given 150 mg/kg of ABZ-CS-MPs, but not in the mice treated with L-ABZ. Histological examination showed that damages caused disorganization of both the germinal and laminated layers of liver hyatid cysts, demolishing their characteristic structures after treatment with ABZ-CS-MPs or L-ABZ. Over time, ABZ-CS-MPs treatment induced a shift from Th2-dominant to Th1-dominant immune response. CS-MPs As a new carrier exhibited improved absorption and increased bioavailability of ABZ in the treatment of E. multilocularis infections in mice.

摘要

本研究旨在探讨阿苯达唑-壳聚糖微球(ABZ-CS-MPs)对实验性小鼠模型中已建立的多房棘球绦虫成虫腹腔感染的药理学及抗寄生虫效果。将感染多房棘球绦虫成虫的雄性远交群昆明小鼠给予三种阿苯达唑制剂,即ABZ-CS-MPs、脂质体阿苯达唑(L-ABZ)和阿苯达唑片(ABZ-T)。每种阿苯达唑制剂以37.5、75和150 mg/kg这三种不同剂量口服给药,感染后每周三次,共给药12周。给药后,我们监测了ABZ-CS-MPs与L-ABZ以及ABZ-T处理小鼠相比的药理学性能和抗寄生虫效果。与ABZ-T组和未处理的对照组相比,ABZ-CS-MPs最有效地减轻了含有多房棘球绦虫成虫的组织重量。在用ABZ-CS-MPs治疗期间,成虫生长受到高度抑制。与ABZ-T相比,用ABZ-CS-MPs或L-ABZ处理的小鼠血浆中阿苯达唑代谢物水平显著更高。特别是,在给予150 mg/kg ABZ-CS-MPs的小鼠中观察到阿苯达唑亚砜浓度曲线增强,但在用L-ABZ处理的小鼠中未观察到。组织学检查表明,用ABZ-CS-MPs或L-ABZ处理后,损伤导致肝包虫囊肿生发层和板层的结构紊乱,破坏了它们的特征性结构。随着时间的推移,ABZ-CS-MPs治疗诱导了从以Th2为主导的免疫反应向以Th1为主导的免疫反应的转变。CS-MPs作为一种新型载体,在治疗小鼠多房棘球绦虫感染中表现出改善的吸收和提高的阿苯达唑生物利用度。

https://cdn.ncbi.nlm.nih.gov/pmc/blobs/6f0e/4564103/35e595cf5480/pntd.0003950.g001.jpg

文献AI研究员

20分钟写一篇综述,助力文献阅读效率提升50倍。

立即体验

用中文搜PubMed

大模型驱动的PubMed中文搜索引擎

马上搜索

文档翻译

学术文献翻译模型,支持多种主流文档格式。

立即体验