Suppr超能文献

内吞的β2微球蛋白淀粉样原纤维通过破坏内体/溶酶体膜诱导兔滑膜成纤维细胞坏死和凋亡:淀粉样原纤维细胞毒性的新机制

Endocytosed 2-Microglobulin Amyloid Fibrils Induce Necrosis and Apoptosis of Rabbit Synovial Fibroblasts by Disrupting Endosomal/Lysosomal Membranes: A Novel Mechanism on the Cytotoxicity of Amyloid Fibrils.

作者信息

Okoshi Tadakazu, Yamaguchi Itaru, Ozawa Daisaku, Hasegawa Kazuhiro, Naiki Hironobu

机构信息

Division of Molecular Pathology, Department of Pathological Sciences, Faculty of Medical Sciences, University of Fukui, Fukui, Japan.

出版信息

PLoS One. 2015 Sep 30;10(9):e0139330. doi: 10.1371/journal.pone.0139330. eCollection 2015.

Abstract

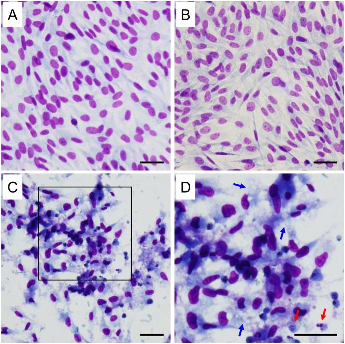
Dialysis-related amyloidosis is a major complication in long-term hemodialysis patients. In dialysis-related amyloidosis, β2-microglobulin (β2-m) amyloid fibrils deposit in the osteoarticular tissue, leading to carpal tunnel syndrome and destructive arthropathy with cystic bone lesions, but the mechanism by which these amyloid fibrils destruct bone and joint tissue is not fully understood. In this study, we assessed the cytotoxic effect of β2-m amyloid fibrils on the cultured rabbit synovial fibroblasts. Under light microscopy, the cells treated with amyloid fibrils exhibited both necrotic and apoptotic changes, while the cells treated with β2-m monomers and vehicle buffer exhibited no morphological changes. As compared to β2-m monomers and vehicle buffer, β2-m amyloid fibrils significantly reduced cellular viability as measured by the lactate dehydrogenase release assay and the 3-(4,5-di-methylthiazol-2-yl)-2,5-diphenyltetrazolium bromide reduction assay and significantly increased the percentage of apoptotic cells as measured by the terminal deoxynucleotidyl transferase-mediated dUTP nick end labeling method. β2-m amyloid fibrils added to the medium adhered to cell surfaces, but did not disrupt artificial plasma membranes as measured by the liposome dye release assay. Interestingly, when the cells were incubated with amyloid fibrils for several hours, many endosomes/lysosomes filled with amyloid fibrils were observed under confocal laser microscopy and electron microscopy, Moreover, some endosomal/lysosomal membranes were disrupted by intravesicular fibrils, leading to the leakage of the fibrils into the cytosol and adjacent to mitochondria. Inhibition of actin-dependent endocytosis by cytochalasin D attenuated the toxicity of amyloid fibrils. These results suggest that endocytosed β2-m amyloid fibrils induce necrosis and apoptosis by disrupting endosomal/lysosomal membranes, and this novel mechanism on the cytotoxicity of amyloid fibrils is described.

摘要

透析相关性淀粉样变性是长期血液透析患者的一种主要并发症。在透析相关性淀粉样变性中,β2-微球蛋白(β2-m)淀粉样纤维沉积于骨关节组织,导致腕管综合征以及伴有囊性骨病变的破坏性关节病,但这些淀粉样纤维破坏骨和关节组织的机制尚未完全明确。在本研究中,我们评估了β2-m淀粉样纤维对培养的兔滑膜成纤维细胞的细胞毒性作用。在光学显微镜下,用淀粉样纤维处理的细胞呈现出坏死和凋亡变化,而用β2-m单体和溶剂缓冲液处理的细胞未呈现形态学变化。与β2-m单体和溶剂缓冲液相比,通过乳酸脱氢酶释放试验和3-(4,5-二甲基噻唑-2-基)-2,5-二苯基四氮唑溴盐还原试验测定,β2-m淀粉样纤维显著降低细胞活力,并且通过末端脱氧核苷酸转移酶介导的dUTP缺口末端标记法测定,显著增加凋亡细胞百分比。添加到培养基中的β2-m淀粉样纤维黏附于细胞表面,但通过脂质体染料释放试验测定,并未破坏人工细胞膜。有趣的是,当细胞与淀粉样纤维孵育数小时后,在共聚焦激光显微镜和电子显微镜下观察到许多充满淀粉样纤维的内体/溶酶体。此外,一些内体/溶酶体膜被泡内纤维破坏,导致纤维泄漏到细胞质中并靠近线粒体。用细胞松弛素D抑制肌动蛋白依赖性内吞作用可减弱淀粉样纤维的毒性。这些结果表明,内吞的β2-m淀粉样纤维通过破坏内体/溶酶体膜诱导坏死和凋亡,并且描述了这种关于淀粉样纤维细胞毒性的新机制。

https://cdn.ncbi.nlm.nih.gov/pmc/blobs/cb51/4589361/293e93a35a07/pone.0139330.g001.jpg

文献AI研究员

20分钟写一篇综述,助力文献阅读效率提升50倍。

立即体验

用中文搜PubMed

大模型驱动的PubMed中文搜索引擎

马上搜索

文档翻译

学术文献翻译模型,支持多种主流文档格式。

立即体验