Suppr超能文献

铜诱导细胞因子与酵母金属硫蛋白上游激活序列的结合。

Copper-induced binding of cellular factors to yeast metallothionein upstream activation sequences.

作者信息

Huibregtse J M, Engelke D R, Thiele D J

机构信息

Department of Biological Chemistry, University of Michigan Medical School, Ann Arbor 48109-0606.

出版信息

Proc Natl Acad Sci U S A. 1989 Jan;86(1):65-9. doi: 10.1073/pnas.86.1.65.

Abstract

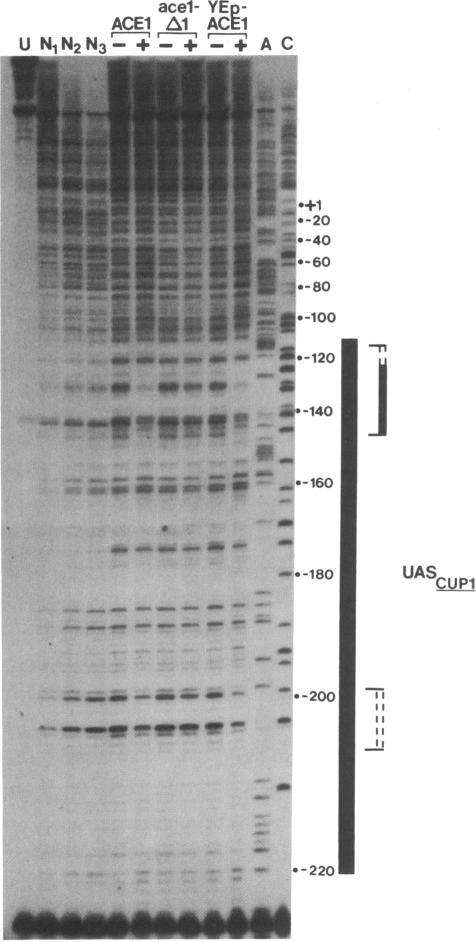
Copper-inducible transcription of the yeast metallothionein gene (CUP1) occurs by means of cis-acting upstream activation sequences (UAS) and trans-acting cellular factors. We have used a high-resolution chromosomal footprinting technique to detect the interaction of cellular factors with UASCUP1. Our results demonstrate that one or more cellular factors bind to UASCUP1 in a copper-inducible fashion. This copper-inducible binding is enhanced in a yeast strain that harbors several copies of the positive regulatory gene ACE1 and is not detectable in yeast cells that contain a nonfunctional (ace1-delta 1) locus. The correlation between yeast metallothionein gene activation and copper-inducible occupation of UASCUP1 sequences suggests that the binding of metallothionein transcriptional regulatory factors to cis-acting control sequences is copper-inducible.

摘要

酵母金属硫蛋白基因(CUP1)的铜诱导转录是通过顺式作用上游激活序列(UAS)和反式作用细胞因子实现的。我们使用了一种高分辨率染色体足迹技术来检测细胞因子与UASCUP1的相互作用。我们的结果表明,一种或多种细胞因子以铜诱导的方式与UASCUP1结合。在携带多个阳性调节基因ACE1拷贝的酵母菌株中,这种铜诱导结合增强,而在含有无功能(ace1-delta 1)位点的酵母细胞中则无法检测到。酵母金属硫蛋白基因激活与UASCUP1序列的铜诱导占据之间的相关性表明,金属硫蛋白转录调节因子与顺式作用控制序列的结合是铜诱导的。

https://cdn.ncbi.nlm.nih.gov/pmc/blobs/8028/286404/493de820f6f9/pnas00241-0082-a.jpg

文献AI研究员

20分钟写一篇综述,助力文献阅读效率提升50倍。

立即体验

用中文搜PubMed

大模型驱动的PubMed中文搜索引擎

马上搜索

文档翻译

学术文献翻译模型,支持多种主流文档格式。

立即体验