Suppr超能文献

伪装者:酷似癌症的直肠梅毒

The Great Pretender: Rectal Syphilis Mimic a Cancer.

作者信息

Pisani Ceretti Andrea, Virdis Matteo, Maroni Nirvana, Arena Monica, Masci Enzo, Magenta Alberto, Opocher Enrico

机构信息

Department of HBP & Digestive Surgery, University of Milan, San Paolo Hospital, Via A. Di Rudinì 8, 20142 Milan, Italy.

Department of Digestive Endoscopy, San Paolo Hospital, Via A. Di Rudinì 8, 20142 Milan, Italy.

出版信息

Case Rep Surg. 2015;2015:434198. doi: 10.1155/2015/434198. Epub 2015 Sep 15.

Abstract

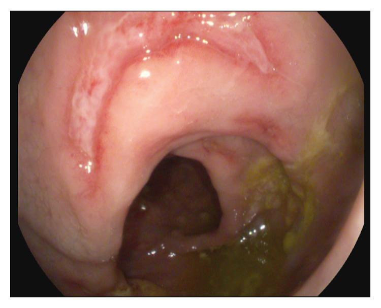
Rectal syphilis is a rare expression of the widely recognised sexual transmitted disease, also known as the great imitator for its peculiarity of being confused with mild anorectal diseases because of its vague symptoms or believed rectal malignancy, with the concrete risk of overtreatment. We present the case of a male patient with primary rectal syphilis, firstly diagnosed as rectal cancer; the medical, radiological, and endoscopic features are discussed below.

摘要

直肠梅毒是一种广为人知的性传播疾病的罕见表现形式,因其症状模糊易与轻度肛肠疾病混淆,或被误诊为直肠恶性肿瘤,存在过度治疗的实际风险,故而也被称为“伟大的模仿者”。我们报告一例原发性直肠梅毒男性患者,最初被诊断为直肠癌;以下将讨论其医学、放射学及内镜特征。

https://cdn.ncbi.nlm.nih.gov/pmc/blobs/7184/4586962/93ab77267eb1/CRIS2015-434198.001.jpg

文献检索

告别复杂PubMed语法,用中文像聊天一样搜索,搜遍4000万医学文献。AI智能推荐,让科研检索更轻松。

立即免费搜索

文件翻译

保留排版,准确专业,支持PDF/Word/PPT等文件格式,支持 12+语言互译。

免费翻译文档

深度研究

AI帮你快速写综述,25分钟生成高质量综述,智能提取关键信息,辅助科研写作。

立即免费体验