Department of Internal Medicine, East-West Neo Medical Center, Kyung Hee University College of Medicine, Seoul, Korea.
Yonsei Med J. 2010 Mar;51(2):276-8. doi: 10.3349/ymj.2010.51.2.276. Epub 2010 Feb 12.
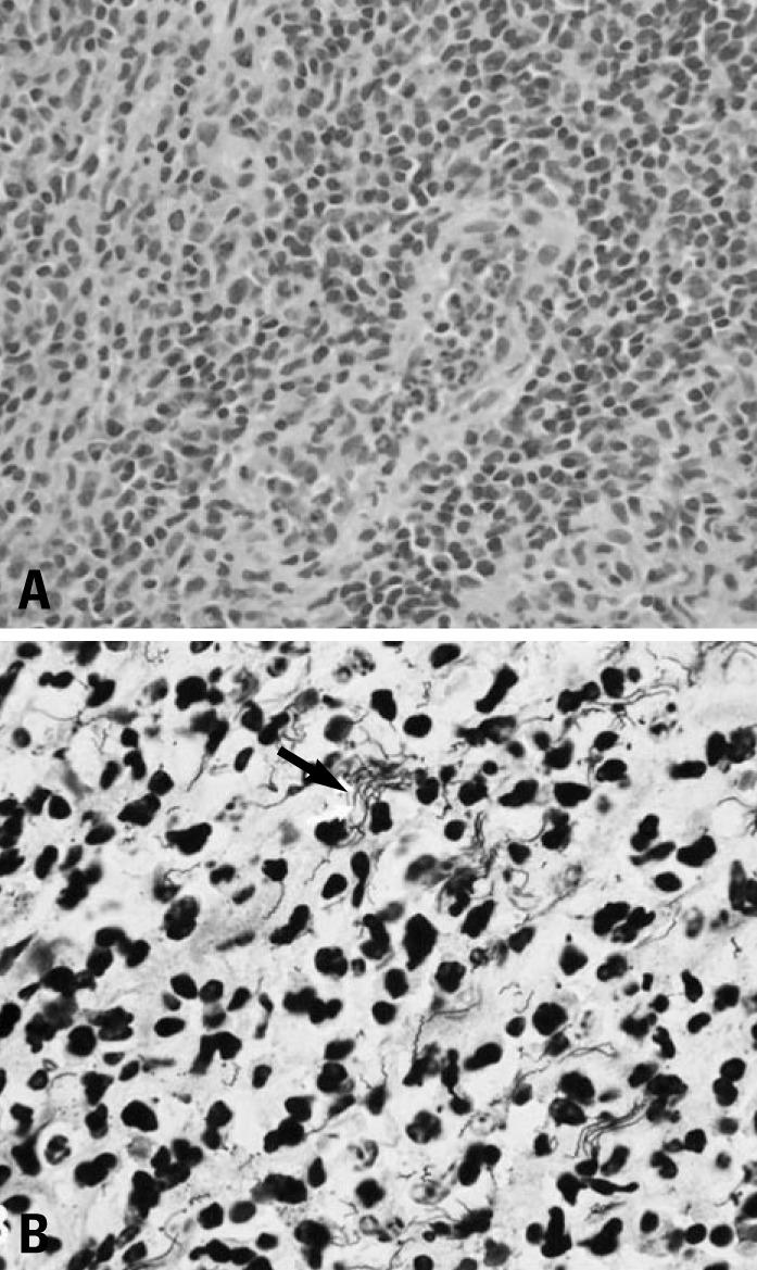
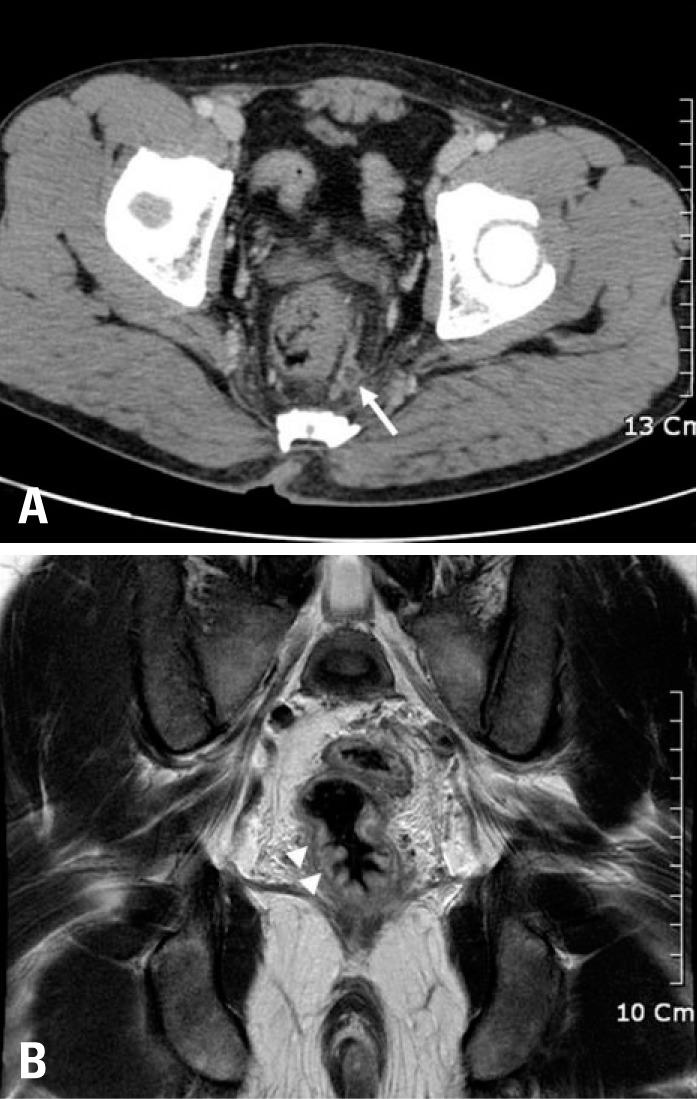
Rectal syphilis, known as a great masquerader, can be difficult to diagnose because of its variable symptoms. Gastroenterologists should be aware of the possibility of rectal syphilis when confronted with anorectal ulcers, and should gather a detailed history about sexual preferences and practices, including homosexuality. We report a case of primary rectal syphilis mimicking rectal cancer on radiologic imaging. In this report, we described the clinical, endoscopic, and radiologic features of this rare case.
直肠梅毒,又称大伪装者,因其症状多变而难以诊断。当遇到肛肠溃疡时,胃肠病学家应该意识到直肠梅毒的可能性,并详细了解性偏好和性行为,包括同性恋。我们报告了一例在影像学上模拟直肠癌的原发性直肠梅毒病例。在本报告中,我们描述了这例罕见病例的临床、内镜和影像学特征。