Suppr超能文献

FOXL2与转化生长因子-β超家族成员对母鸡等级前卵泡FSH受体mRNA表达及颗粒细胞增殖的协同作用

Cooperative Effects of FOXL2 with the Members of TGF-β Superfamily on FSH Receptor mRNA Expression and Granulosa Cell Proliferation from Hen Prehierarchical Follicles.

作者信息

Qin Ning, Fan Xian-Cong, Xu Xiao-Xing, Tyasi Thobela Louis, Li Shi-Jun, Zhang Ying-Ying, Wei Man-Li, Xu Ri-Fu

机构信息

Department of Animal Genetics, Breeding and Reproduction, College of Animal Science and Technology, Jilin Agricultural University, Changchun, People's Republic of China.

Department of Animal Genetics, Breeding and Reproduction, College of Animal Science and veterinary medicine, Huazhong Agricultural University, Wuhan, People's Republic of China.

出版信息

PLoS One. 2015 Oct 23;10(10):e0141062. doi: 10.1371/journal.pone.0141062. eCollection 2015.

Abstract

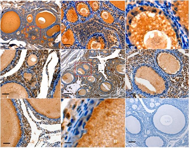
Forkhead box L2 (FOXL2) is a member of the forkhead nuclear factor 3 gene family and plays an essential role in ovarian growth and maturation in mammals. However, its potential effects and regulative mechanism in development of chicken ovarian prehierarchical follicles remain unexplored. In this study, the cooperative effects of FOXL2 with activin A, growth differentiation factor-9 (GDF9) and follistatin, three members of the transforming growth factor beta (TGF-β) superfamily that were previously suggested to exert a critical role in follicle development was investigated. We demonstrated herein, using in-situ hybridization, Northern blot and immunohistochemical analyses of oocytes and granulosa cells in various sizes of prehierarchical follicles that both FOXL2 transcripts and FOXL2 proteins are predominantly expressed in a highly similar expression pattern to that of GDF9 gene. In addition, the FOXL2 transcript was found at lower levels in theca cells in the absence of GDF9. Furthermore, culture of granulosa cells (GCs) from the prehierarchical follicles (6-8 mm) in conditioned medium revealed that in the pcDNA3.0-FOXL2 transfected GCs, there was a more dramatic increase in FSHR mRNA expression after treatment with activin A (10 ng/ml) or GDF9 (100 ng/ml) for 24 h which caused a stimulatory effect on the GC proliferation. In contrast, a significant decrease of FSHR mRNA was detected after treatment with follistatin (50 ng/ml) and resulted in an inhibitory effect on the cell proliferation. The results of this suggested that FOXL2 plays a bidirectional modulating role involved in the intracellular FSHR transcription and GC proliferation via an autocrine regulatory mechanism in a positive or negative manner through cooperation with activin A and/or GDF9, and follistatin in the hen follicle development. This cooperative action may be mediated by the examined Smad signals and simultaneously implicated in modulation of the StAR, CCND2, and CYP11A1 expression.

摘要

叉头框L2(FOXL2)是叉头核因子3基因家族的成员之一,在哺乳动物卵巢的生长和成熟过程中发挥着重要作用。然而,其在鸡卵巢前等级卵泡发育中的潜在作用和调控机制仍未得到探索。在本研究中,我们研究了FOXL2与激活素A、生长分化因子9(GDF9)和卵泡抑素(这三种转化生长因子β(TGF-β)超家族成员先前被认为在卵泡发育中起关键作用)之间的协同作用。我们通过对不同大小的前等级卵泡中的卵母细胞和颗粒细胞进行原位杂交、Northern印迹和免疫组织化学分析,证明FOXL2转录本和FOXL2蛋白在颗粒细胞中的表达模式与GDF9基因高度相似,且主要在颗粒细胞中表达。此外,在没有GDF9的情况下,FOXL2转录本在卵泡膜细胞中的水平较低。此外,用条件培养基培养前等级卵泡(6 - 8毫米)中的颗粒细胞(GCs)发现,在转染了pcDNA3.0 - FOXL2的GCs中,用激活素A(10纳克/毫升)或GDF9(100纳克/毫升)处理24小时后,促卵泡激素受体(FSHR)mRNA表达有更显著的增加,这对GC增殖有刺激作用。相反,用卵泡抑素(50纳克/毫升)处理后,FSHR mRNA显著下降,并对细胞增殖产生抑制作用。结果表明,在母鸡卵泡发育过程中,FOXL2通过与激活素A和/或GDF9以及卵泡抑素协同作用,以自分泌调节机制对细胞内FSHR转录和GC增殖发挥双向调节作用,呈正或负向。这种协同作用可能由检测到的Smad信号介导,同时涉及对类固醇生成急性调节蛋白(StAR)、细胞周期蛋白D2(CCND2)和细胞色素P450 11A1(CYP11A1)表达的调节。

https://cdn.ncbi.nlm.nih.gov/pmc/blobs/fe07/4619702/02f11aacfcce/pone.0141062.g001.jpg

文献AI研究员

20分钟写一篇综述,助力文献阅读效率提升50倍。

立即体验

用中文搜PubMed

大模型驱动的PubMed中文搜索引擎

马上搜索

文档翻译

学术文献翻译模型,支持多种主流文档格式。

立即体验