Suppr超能文献

严重脊椎椎间盘炎的经椎弓根外脊柱固定术——挽救手术

External transpedicular spine fixation in severe spondylodiscitis - salvage procedure.

作者信息

Spalteholz Matthias, Gahr Ralf H

机构信息

Traumazentrum, Klinik für Unfallchirurgie und Orthopädie, Klinikum St. Georg, Leipzig, Germany.

出版信息

GMS Interdiscip Plast Reconstr Surg DGPW. 2013 Nov 29;2:Doc18. doi: 10.3205/iprs000038. eCollection 2013.

Abstract

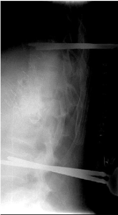
Specific and non-specific infections of the spine are rare. Due to their potential for severe instabilities, deformities and the impairment of neurological structures, the treatment is often prolonged and needs an interdisciplinary management. The clinical presentation is uncharacteristic, therefore diagnosis is often delayed. There are no prospective randomized studies for therapy recommendation. The surgical concept includes eradication of the infection and the reliable stabilization of involved segments. This concept is successful in most cases of endogenous vertebral osteomyelitis. The therapy of the exogenous spine infections after macro and micro surgery is more difficult, due to the critical wound situation and the involvement of the posterior parts of the spine. In these cases, infection-associated instability of the anterior part is complicated by critical posterior wound conditions. We present three cases of severe exogenous vertebral infections, where temporary external transpedicular spine fixation was used for salvage procedure, till soft tissue conditions have permitted a definitive internal stabilization.

摘要

脊柱的特异性和非特异性感染较为罕见。由于它们可能导致严重的不稳定、畸形以及神经结构受损,治疗往往较为漫长,且需要多学科管理。临床表现不典型,因此诊断常常延迟。目前尚无用于推荐治疗方法的前瞻性随机研究。手术理念包括根除感染以及对受累节段进行可靠的稳定固定。这一理念在大多数内源性椎体骨髓炎病例中取得了成功。由于伤口情况危急以及脊柱后部受累,宏观和微观手术后外源性脊柱感染的治疗更为困难。在这些病例中,前部感染相关的不稳定因后部伤口情况危急而变得复杂。我们展示了三例严重的外源性椎体感染病例,其中采用了临时经椎弓根外固定脊柱进行挽救手术,直至软组织条件允许进行最终的内固定。

https://cdn.ncbi.nlm.nih.gov/pmc/blobs/9595/4582483/721b50d8bed6/IPRS-02-18-g-001.jpg

文献AI研究员

20分钟写一篇综述,助力文献阅读效率提升50倍。

立即体验

用中文搜PubMed

大模型驱动的PubMed中文搜索引擎

马上搜索

文档翻译

学术文献翻译模型,支持多种主流文档格式。

立即体验