Greulich Simon, Steubing Hannah, Birkmeier Stefan, Grün Stefan, Bentz Kerstin, Sechtem Udo, Mahrholdt Heiko
Department of Cardiology, Robert Bosch Medical Center, Auerbachstrasse 110, 70376, Stuttgart, Germany.
J Cardiovasc Magn Reson. 2015 Nov 5;17:94. doi: 10.1186/s12968-015-0195-0.
The diagnostic performance of adenosine stress cardiovascular magnetic resonance (CMR) in patients with arrhythmias presenting for work-up of suspected or known CAD is largely unknown, since most CMR studies currently available exclude arrhythmic patients from analysis fearing gating problems, or other artifacts will impair image quality. The primary aim of our study was to evaluate the diagnostic performance of adenosine stress CMR for detection of significant coronary stenosis in patients with arrhythmia presenting for 1) work-up of suspected coronary artery disease (CAD), or 2) work-up of ischemia in known CAD.
Patients with arrhythmia referred for work-up of suspected CAD or work-up of ischemia in known CAD undergoing adenosine stress CMR were included if they had coronary angiography within four weeks of CMR.
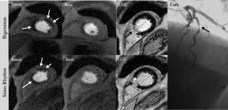
One hundred fifty-nine patients were included (n = 64 atrial fibrillation, n = 87 frequent ventricular extrasystoles, n = 8 frequent supraventricular extrasystoles). Of these, n = 72 had suspected CAD, and n = 87 had known CAD. Diagnostic accuracy of the adenosine stress CMR for detection of significant CAD was 73 % for the entire population (sensitivity 72 %, specificity 76 %). Diagnostic accuracy was 75 % (sensitivity 80 %, specificity 74 %) in patients with suspected CAD, and 74 % (sensitivity 71 %, specificity 79 %) in the group with known CAD. For different types of arrhythmia, diagnostic accuracy of CMR was 70 % in the atrial fibrillation group, and 79 % in patients with ventricular extrasystoles. On a per coronary territory analysis, diagnostic accuracy of CMR was 77 % for stenosis of the left and 82 % for stenosis of the right coronary artery.
The present data demonstrates good diagnostic performance of adenosine stress CMR for detection of significant coronary stenosis in patients with arrhythmia presenting for work-up of suspected CAD, or work-up of ischemia in known CAD. This holds true for a per patient, as well as for a per coronary territory analysis.
对于因疑似或已知冠心病而接受检查的心律失常患者,腺苷负荷心血管磁共振成像(CMR)的诊断性能在很大程度上尚不清楚,因为目前大多数CMR研究因担心门控问题而将心律失常患者排除在分析之外,或者担心其他伪影会损害图像质量。我们研究的主要目的是评估腺苷负荷CMR对以下两类因心律失常而就诊患者检测显著冠状动脉狭窄的诊断性能:1)疑似冠状动脉疾病(CAD)的检查;2)已知CAD的缺血检查。
因疑似CAD或已知CAD的缺血检查而接受腺苷负荷CMR检查的心律失常患者,若在CMR检查后四周内进行了冠状动脉造影,则纳入研究。
共纳入159例患者(n = 64例房颤,n = 87例频发室性早搏,n = 8例频发室上性早搏)。其中,n = 72例为疑似CAD,n = 87例为已知CAD。腺苷负荷CMR检测显著CAD的诊断准确性在总体人群中为73%(敏感性72%,特异性76%)。在疑似CAD患者中诊断准确性为75%(敏感性80%,特异性74%),在已知CAD组中为74%(敏感性71%,特异性79%)。对于不同类型的心律失常,CMR在房颤组中的诊断准确性为70%,在室性早搏患者中为79%。在按冠状动脉区域分析时,CMR对左冠状动脉狭窄的诊断准确性为77%,对右冠状动脉狭窄的诊断准确性为82%。
目前的数据表明,腺苷负荷CMR对于因疑似CAD检查或已知CAD缺血检查而来的心律失常患者检测显著冠状动脉狭窄具有良好的诊断性能。这在按患者个体分析以及按冠状动脉区域分析中均成立。