Suppr超能文献

赛格威个人运输工具事故后的损伤:病例报告及文献综述

Injuries Following Segway Personal Transporter Accidents: Case Report and Review of the Literature.

作者信息

Ashurst John, Wagner Benjamin

机构信息

Conemaugh Memorial Medical Center, Department of Emergency Medicine, Johnstown, Pennsylvania.

出版信息

West J Emerg Med. 2015 Sep;16(5):693-5. doi: 10.5811/westjem.2015.7.26549. Epub 2015 Oct 20.

Abstract

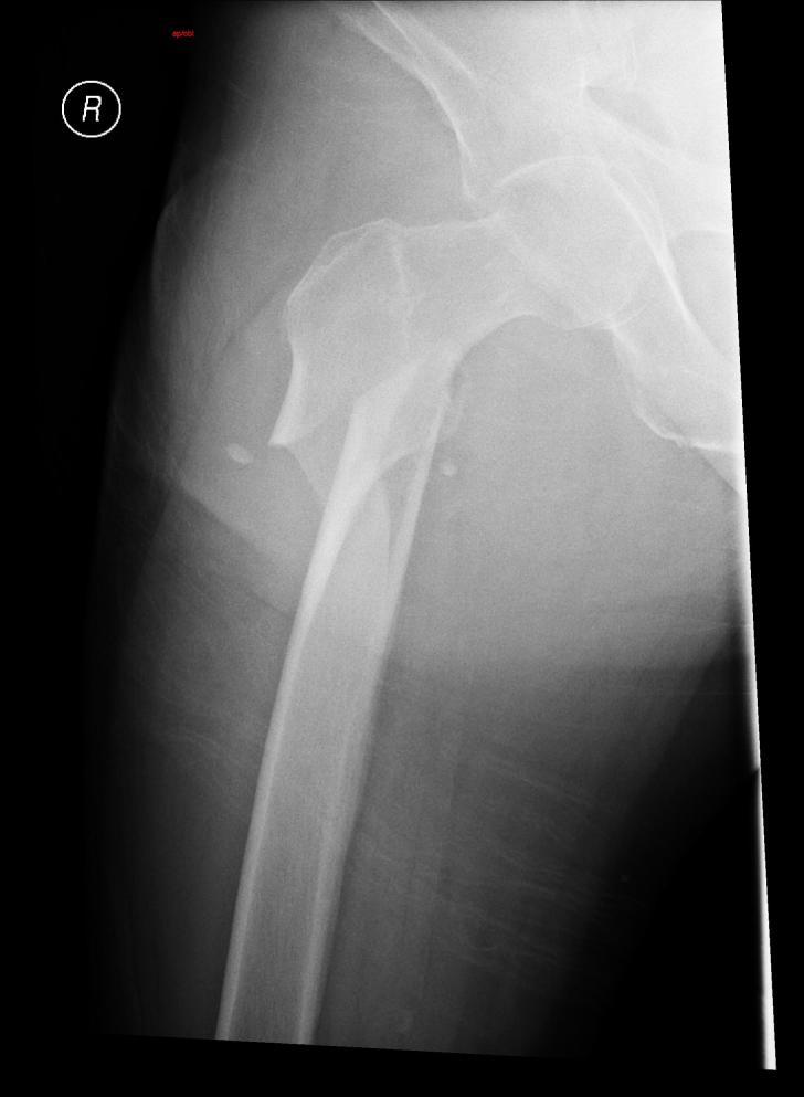
The Segway® self-balancing personal transporter has been used as a means of transport for sightseeing tourists, military, police and emergency medical personnel. Only recently have reports been published about serious injuries that have been sustained while operating this device. This case describes a 67-year-old male who sustained an oblique fracture of the shaft of the femur while using the Segway® for transportation around his community. We also present a review of the literature.

摘要

赛格威(Segway®)自平衡个人运输工具已被用作观光游客、军队、警察和紧急医疗人员的交通工具。直到最近才有关于操作该设备时遭受重伤的报道发表。本病例描述了一名67岁男性,他在社区内使用赛格威(Segway®)进行交通出行时,股骨干发生了斜形骨折。我们还对相关文献进行了综述。

https://cdn.ncbi.nlm.nih.gov/pmc/blobs/d40d/4644037/7eb3ab1eae85/wjem-16-693-g001.jpg

文献AI研究员

20分钟写一篇综述,助力文献阅读效率提升50倍。

立即体验

用中文搜PubMed

大模型驱动的PubMed中文搜索引擎

马上搜索

文档翻译

学术文献翻译模型,支持多种主流文档格式。

立即体验