Hagiwara Hiroaki, Torii Ikuo
Department of Radiology, Yokohama Minamikyosai Hospital, Yokohama, Japan.
Department of Radiology, Yokohama Municipal Citizen's Hospital, Yokohama, Japan.
Int Med Case Rep J. 2015 Nov 3;8:283-6. doi: 10.2147/IMCRJ.S93664. eCollection 2015.
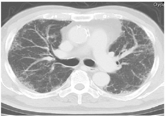
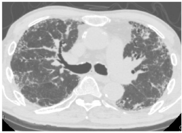
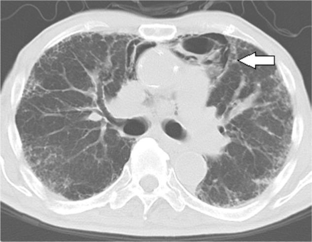
We report a case involving an 83-year-old man with interstitial lung disease who developed atypical pneumomediastinum caused by gas replacement of diminished fat. The patient presented with a complaint of worsening symptoms of respiratory difficulty since a diagnosis of chronic eosinophilic pneumonia 5 months back. He had been under observation with no particular treatment for 5 months. Computed tomography performed on admission revealed pneumomediastinum. When the current scan was compared with that obtained 5 months ago, it was evident that the fat surrounding the mediastinum had been replaced by gas density. There was no mediastinal enlargement, pneumothorax, or pneumopericardium. Because the patient was elderly, home oxygen therapy was initiated for the interstitial pneumonia with no steroid therapy. Computed tomography performed 10 months after discharge showed the reappearance of mediastinal fat and no evidence of gas density. This case is unique because the pneumomediastinum was distinct from spontaneous pneumomediastinum caused by alveolar air leaks and resembled the vacuum phenomenon caused by intervertebral disc degeneration.
我们报告了一例83岁间质性肺病男性患者,其因脂肪减少被气体替代而发生非典型纵隔气肿。该患者自5个月前被诊断为慢性嗜酸性肺炎以来,出现呼吸困难症状加重的主诉。他已接受观察5个月,未进行特殊治疗。入院时进行的计算机断层扫描显示纵隔气肿。将此次扫描结果与5个月前的扫描结果进行比较时,明显可见纵隔周围的脂肪已被气体密度所取代。没有纵隔增宽、气胸或心包积气。由于患者年事已高,针对间质性肺炎开始了家庭氧疗,未使用类固醇治疗。出院后10个月进行的计算机断层扫描显示纵隔脂肪再次出现,且没有气体密度的迹象。该病例独特之处在于,纵隔气肿不同于肺泡空气泄漏引起的自发性纵隔气肿,类似于椎间盘退变引起的真空现象。