Suppr超能文献

使用真皮再生模板(Integra)对头皮全层肿瘤性缺损进行一期重建。

One-Stage Reconstruction of Scalp after Full-Thickness Oncologic Defects Using a Dermal Regeneration Template (Integra).

作者信息

De Angelis Barbara, Gentile Pietro, Tati Eleonora, Bottini Davide J, Bocchini Ilaria, Orlandi Fabrizio, Pepe Giampiero, Di Segni Chiara, Cervelli Giulio, Cervelli Valerio

机构信息

Department of Plastic and Reconstructive Surgery, University of Rome "Tor Vergata", 00133 Rome, Italy.

Department of Plastic and Reconstructive Surgery, University of Rome "Tor Vergata", 00133 Rome, Italy ; Catholic University "Our Lady of Good Counsel", Tirana, Albania.

出版信息

Biomed Res Int. 2015;2015:698385. doi: 10.1155/2015/698385. Epub 2015 Nov 16.

Abstract

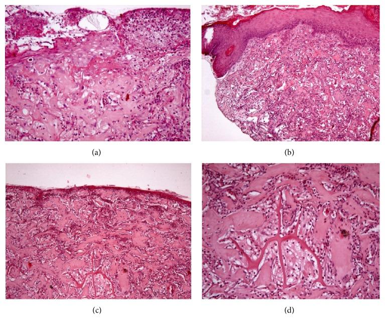
The use of Dermal Regeneration Template (DRT) can be a valid alternative for scalp reconstruction, especially in elderly patients where a rapid procedure with an acceptable aesthetic and reliable functional outcome is required. We reviewed the surgical outcome of 20 patients, 14 (70%) males and 6 (30%) females, who underwent application of DRT for scalp reconstruction for small defects (group A: mean defect size of 12.51 cm(2)) and for large defects (group B: mean defect size of 28.7 cm(2)) after wide excision of scalp neoplasm (basal cell carcinoma and squamous cell carcinoma). In group A, the excisions were performed to the galeal layer avoiding pericranium, and in group B the excisions were performed including pericranium layer with subsequent coverage of the exposed bone with local pericranial flap. In both the groups (A and B) after the excision of the tumor, the wound bed was covered with Dermal Regeneration Template. In 3 weeks we observed the complete healing of the wound bed by secondary intention with acceptable cosmetic results and stable scars. Scalp reconstruction using a DRT is a valid coverage technique for minor and major scalp defects and it can be conducted with good results in elderly patients with multiple comorbidities.

摘要

使用真皮再生模板(DRT)可作为头皮重建的一种有效替代方法,尤其是对于那些需要快速手术且美学效果可接受、功能可靠的老年患者。我们回顾了20例患者的手术结果,其中男性14例(70%),女性6例(30%),这些患者在广泛切除头皮肿瘤(基底细胞癌和鳞状细胞癌)后,因小面积缺损(A组:平均缺损面积为12.51平方厘米)和大面积缺损(B组:平均缺损面积为28.7平方厘米)接受了DRT头皮重建。在A组中,切除至帽状腱膜层,避开颅骨膜;在B组中,则包括颅骨膜层一并切除,随后用局部颅骨膜瓣覆盖暴露的骨头。在两组(A组和B组)切除肿瘤后,创面均用真皮再生模板覆盖。3周后,我们观察到创面通过二期愈合完全愈合,美容效果可接受,瘢痕稳定。使用DRT进行头皮重建是一种用于治疗大小头皮缺损的有效覆盖技术,对于患有多种合并症的老年患者也能取得良好效果。

https://cdn.ncbi.nlm.nih.gov/pmc/blobs/4cc0/4663323/28d5eda6fced/BMRI2015-698385.001.jpg

相似文献

2
Screw fixation of dermal regeneration template for scalp reconstruction.
Ann Plast Surg. 2012 May;68(5):457-60. doi: 10.1097/SAP.0b013e318243390b.
3
Reconstruction of full thickness scalp defects after tumour excision in elderly patients: our experience with Integra dermal regeneration template.
J Plast Reconstr Aesthet Surg. 2010 Mar;63(3):e245-7. doi: 10.1016/j.bjps.2009.05.038. Epub 2009 Jun 21.
5
Integra® dermal regeneration template for full thickness carcinologic scalp defects: Our 6 years' experience retrospective cohort and literature review.
J Stomatol Oral Maxillofac Surg. 2021 Jun;122(3):256-262. doi: 10.1016/j.jormas.2020.06.016. Epub 2020 Jul 3.
6
Reconstruction of Full-Thickness Scalp Defects Using a Dermal Regeneration Template.
JAMA Facial Plast Surg. 2016 Jan-Feb;18(1):62-7. doi: 10.1001/jamafacial.2015.1731.
7
Removal of the outer table of the skull for reconstruction of full-thickness scalp defects with a dermal regeneration template.
Dermatol Surg. 2008 Mar;34(3):357-63. doi: 10.1111/j.1524-4725.2007.34069.x. Epub 2007 Dec 19.
8
One-stage scalp reconstruction using single-layer dermal regeneration template and split-thickness skin graft: a case series.
Oral Maxillofac Surg. 2024 Dec;28(4):1635-1642. doi: 10.1007/s10006-024-01292-5. Epub 2024 Oct 4.
10
Use of Integra® on avascular tissue.
Br J Oral Maxillofac Surg. 2024 May;62(4):367-372. doi: 10.1016/j.bjoms.2023.11.022. Epub 2024 Jan 9.

引用本文的文献

2
One-stage scalp reconstruction using single-layer dermal regeneration template and split-thickness skin graft: a case series.
Oral Maxillofac Surg. 2024 Dec;28(4):1635-1642. doi: 10.1007/s10006-024-01292-5. Epub 2024 Oct 4.
3
Integra Dermal Regeneration Template in Complex Scalp Reconstruction.
J Clin Med. 2024 Mar 6;13(5):1511. doi: 10.3390/jcm13051511.
6
Utility of synthetic hybrid-scale fiber matrix in dermatologic wounds.
JAAD Case Rep. 2023 Aug 29;40:109-111. doi: 10.1016/j.jdcr.2023.08.020. eCollection 2023 Oct.
8
Methods and Limitations of Augmenting Mesenchymal Stem Cells for Therapeutic Applications.
Adv Wound Care (New Rochelle). 2023 Aug;12(8):467-481. doi: 10.1089/wound.2022.0107. Epub 2022 Dec 8.
9
Effectiveness and safety of stem cell therapy for diabetic foot: a meta-analysis update.
Stem Cell Res Ther. 2022 Aug 13;13(1):416. doi: 10.1186/s13287-022-03110-9.

本文引用的文献

1
Repair of a large, full-thickness scalp defect with exposed bone using a thin transposition flap.
Dermatol Surg. 2013 Apr;39(4):646-8. doi: 10.1111/dsu.12053. Epub 2012 Dec 10.
2
One stage reconstruction of skull exposed by burn injury using a tissue expansion technique.
Arch Plast Surg. 2012 Mar;39(2):118-23. doi: 10.5999/aps.2012.39.2.118. Epub 2012 Mar 14.
3
Screw fixation of dermal regeneration template for scalp reconstruction.
Ann Plast Surg. 2012 May;68(5):457-60. doi: 10.1097/SAP.0b013e318243390b.
4
Rapid wound healing of scalp wounds devoid of periosteum with milling of the outer table and split-thickness skin grafting.
Br J Dermatol. 2012 Aug;167(2):343-7. doi: 10.1111/j.1365-2133.2012.10999.x. Epub 2012 Jul 5.
5
Two-stage reconstruction of head and neck defects after tumor resection with a dermal regeneration template.
J Cutan Med Surg. 2011 Sep-Oct;15(5):259-65. doi: 10.2310/7750.2011.10050.
7
Management of wounds with exposed bone structures using an artificial dermis and skin grafting technique.
J Plast Reconstr Aesthet Surg. 2010 Jun;63(6):e512-8. doi: 10.1016/j.bjps.2009.11.004. Epub 2009 Dec 9.
8
Long-term results after reconstruction of full thickness scalp defects with a dermal regeneration template.
J Eur Acad Dermatol Venereol. 2010 May;24(5):572-7. doi: 10.1111/j.1468-3083.2009.03473.x. Epub 2009 Nov 3.
9
Reconstruction of full thickness scalp defects after tumour excision in elderly patients: our experience with Integra dermal regeneration template.
J Plast Reconstr Aesthet Surg. 2010 Mar;63(3):e245-7. doi: 10.1016/j.bjps.2009.05.038. Epub 2009 Jun 21.
10
A critical analysis of measurements used to assess and manage scars.
Int J Low Extrem Wounds. 2007 Dec;6(4):249-53. doi: 10.1177/1534734607308249.

文献AI研究员

20分钟写一篇综述,助力文献阅读效率提升50倍。

立即体验

用中文搜PubMed

大模型驱动的PubMed中文搜索引擎

马上搜索

文档翻译

学术文献翻译模型,支持多种主流文档格式。

立即体验