Suppr超能文献

20例连续使用Repiphysis可扩张假体治疗原发性恶性骨肿瘤患者的结果。

Results of 20 consecutive patients treated with the Repiphysis expandable prosthesis for primary malignant bone.

作者信息

Benevenia Joseph, Patterson Francis, Beebe Kathleen, Tucker Kimberly, Moore Jeffrey, Ippolito Joseph, Rivero Steven

机构信息

Department of Orthopaedic Surgery, Rutgers New Jersey Medical School, 140 Bergen Street, ACC Building, Suite D-1610, Newark, NJ 07103 USA.

出版信息

Springerplus. 2015 Dec 22;4:793. doi: 10.1186/s40064-015-1582-6. eCollection 2015.

Abstract

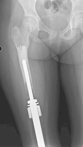
Limb-salvage for primary malignant bone tumors in pediatric patients presents a unique challenge when resection includes an active physis. Early expandable prostheses required open surgical procedures to achieve lengthening. Newer prostheses are capable of achieving expansion without open procedures through the use of an electromagnetic field. This study reports our results with 90 consecutive expansion procedures using the Repiphysis(®) prosthesis. We retrospectively reviewed the records of 20 patients (22 limbs) who underwent limb-salvage using the Repiphysis(®) prosthesis from 2003 to 2015. There were 9 males and 11 females with a mean age of 9 years and 9 months (6-16 years). Reconstruction included the distal femur in 11 cases, total femur in four, proximal tibia in three, proximal humerus in three, and total humerus in one. Complications were reviewed and functional scores were recorded using the MSTS/ISOLS system. Five patients had a second prosthesis implanted during the course of the study for a total of 27 prostheses. The mean follow-up was 57 (6-148) months. Four patients have not been expanded: three due to death prior to lengthening, and one patient who has not yet developed a leg length discrepancy. Ninety consecutive expansion procedures were performed in 18 limbs in 16 patients. A mean of 9 (5-20) mm was gained per expansion and 4.8 cm per patient who has undergone expansion to date. Seven patients have reached skeletal maturity and have been converted to an adult endoprosthesis. These patients averaged 8 expansions per patient and a mean of 7.4 (1.8-12.9) cm in length gained. There were 15 complications in 11 patients including one dislocation, one contracture, four cases of aseptic loosening, five structural failures (three expansion mechanism failures and two tibial fractures), three deep infections, and one case of local recurrence. The mean MSTS score was 80 % (37-97 %) and the limb retention rate was 95 %. The results of this study are comparable to previous studies involving non-invasive prostheses. This study hopefully provides additional data for clinicians to consider when faced with limb threatening sarcomas in the immature skeleton.

摘要

对于小儿原发性恶性骨肿瘤进行保肢手术时,如果切除范围包括活跃的生长板,会带来独特的挑战。早期的可扩张假体需要通过开放手术来实现延长。新型假体能够通过使用电磁场在不进行开放手术的情况下实现扩张。本研究报告了我们使用Repiphysis®假体连续进行90次扩张手术的结果。我们回顾性分析了2003年至2015年期间20例(22条肢体)使用Repiphysis®假体进行保肢手术患者的记录。其中男性9例,女性11例,平均年龄为9岁9个月(6 - 16岁)。重建部位包括11例股骨远端、4例全股骨、3例胫骨近端、3例肱骨近端和1例全肱骨。回顾了并发症情况,并使用MSTS/ISOLS系统记录功能评分。5例患者在研究过程中植入了第二个假体,共植入27个假体。平均随访时间为57(6 - 148)个月。4例患者未进行扩张:3例因在延长前死亡,1例尚未出现腿长差异。16例患者的18条肢体共进行了90次连续扩张手术。每次扩张平均增加9(5 - 20)mm,截至目前接受扩张的患者平均每人增加4.8 cm。7例患者已达到骨骼成熟并已转换为成人型假体。这些患者平均每人进行8次扩张,平均增加长度为7.4(1.8 - 12.9)cm。11例患者出现15例并发症,包括1例脱位、1例挛缩、4例无菌性松动、5例结构故障(3例扩张机制故障和2例胫骨骨折)、3例深部感染和1例局部复发。MSTS平均评分为80%(37 - 97%),肢体保留率为95%。本研究结果与先前涉及非侵入性假体的研究结果相当。本研究有望为临床医生在面对未成熟骨骼中威胁肢体的肉瘤时提供更多可供参考的数据。

https://cdn.ncbi.nlm.nih.gov/pmc/blobs/d786/4688289/f8b256327c6c/40064_2015_1582_Fig1_HTML.jpg

文献AI研究员

20分钟写一篇综述,助力文献阅读效率提升50倍。

立即体验

用中文搜PubMed

大模型驱动的PubMed中文搜索引擎

马上搜索

文档翻译

学术文献翻译模型,支持多种主流文档格式。

立即体验