Chandra S R, Issac Thomas Gregor, Philip Mariamma, Krishnan A
Department of Neurology, National Institute of Mental Health and Neurosciences (NIMHANS) Bengaluru, Karnataka, India.
Department of Clinical Neurosciences, National Institute of Mental Health and Neurosciences (NIMHANS) Bengaluru, Karnataka, India.
J Neurosci Rural Pract. 2015 Oct-Dec;6(4):536-40. doi: 10.4103/0976-3147.165343.
Autoimmune encephalitis is a group of treatable noninfective encephalitic disorders with great clinical implications. They have a close resemblance to prion disease and some slow virus infections. We report the presence of significant titers of antimeasles antibody in some of our patients with autoimmune encephalitis resulting in diagnostic and therapeutic problems.
Patients seen by us in the last 4 years with high titers (1:625 dilution) cerebrospinal fiuid (CSF) antimeasles antibody positivity were reviewed retrospectively. The data collected were assessed using SPSS- Statistical Package for Social Sciences Version 15.0 (IBM corporation) software. The groups which showed elevated antimeasles antibody titers but did not have other parameters suggestive of subacute sclerosing panencephalitis (Group 2) were segregated and compared with those who had the typical features (Group 1) using Fisher's Exact Test.
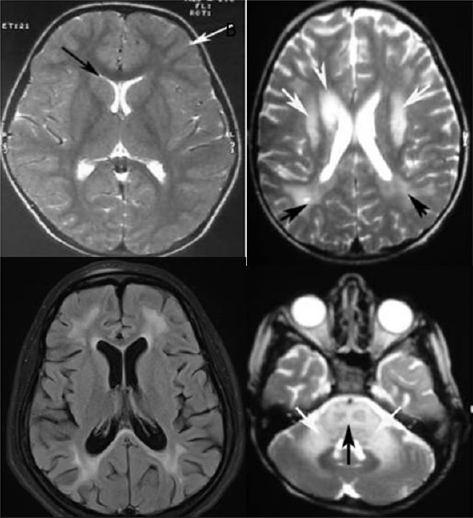
There were 33 patients with antimeasles antibody in CSF. Group 1 had 27 and Group 2 had 6 patients. Group 1 had lower age, cognitive dysfunction, slow myoclonus, less generalized tonic-clonic seizures, and focal seizures. Group 2 patients belonged to the higher age, had significant psychosis (P = 0.02), incontinence of bowel and bladder (P = 0.0001). Slow myoclonus was significant in the first group (P = 0.028), and weakness was significant in the second group (P = 0.028) and double incontinence in the second group (P = 0.0001). Magnetic resonance imaging showed significant gray matter and cerebellar involvement in Group 2 P = 0.005 and P = 0.028, respectively.
Patients who show significant titers of antimeasles antibodies in the CSF but belonging to older age group with psychosis, generalized tonic-clonic seizures, double incontinence, focal myoclonus, and electroencephalographic and imaging noncorroborative need to be investigated for autoimmune encephalitis in view of the great prognostic and therapeutic relevance.
自身免疫性脑炎是一组具有重要临床意义的可治疗的非感染性脑炎疾病。它们与朊病毒病和一些慢病毒感染极为相似。我们报告了部分自身免疫性脑炎患者体内存在高滴度抗麻疹抗体,这导致了诊断和治疗方面的问题。
回顾性分析我们在过去4年中诊治的脑脊液抗麻疹抗体高滴度(1:625稀释)阳性的患者。使用社会科学统计软件包(SPSS)15.0版(IBM公司)软件对收集的数据进行评估。将抗麻疹抗体滴度升高但无其他提示亚急性硬化性全脑炎参数的患者组(第2组)分离出来,并与具有典型特征的患者组(第1组)进行Fisher精确检验比较。
33例患者脑脊液中存在抗麻疹抗体。第1组有27例,第2组有6例。第1组患者年龄较小,有认知功能障碍、缓慢肌阵挛、较少的全身性强直阵挛发作和局灶性发作。第2组患者年龄较大,有明显的精神病(P = 0.02)、大小便失禁(P = 0.0001)。缓慢肌阵挛在第1组中显著(P = 0.028),而虚弱在第2组中显著(P = 0.028),第2组中的双重失禁显著(P = 0.0001)。磁共振成像显示第2组灰质和小脑受累显著,分别为P = 0.005和P = 0.028。
鉴于其重要的预后和治疗意义,对于脑脊液中抗麻疹抗体滴度高但年龄较大、患有精神病、全身性强直阵挛发作、双重失禁、局灶性肌阵挛且脑电图和影像学不相符者,需要对自身免疫性脑炎进行调查。