• 文献检索
  • 文档翻译
  • 深度研究
  • 学术资讯
  • Suppr Zotero 插件Zotero 插件
  • 邀请有礼
  • 套餐&价格
  • 历史记录
应用&插件
Suppr Zotero 插件Zotero 插件浏览器插件Mac 客户端Windows 客户端微信小程序
定价
高级版会员购买积分包购买API积分包
服务
文献检索文档翻译深度研究API 文档MCP 服务
关于我们
关于 Suppr公司介绍联系我们用户协议隐私条款
关注我们

Suppr 超能文献

核心技术专利:CN118964589B侵权必究
粤ICP备2023148730 号-1Suppr @ 2026

文献检索

告别复杂PubMed语法,用中文像聊天一样搜索,搜遍4000万医学文献。AI智能推荐,让科研检索更轻松。

立即免费搜索

文件翻译

保留排版,准确专业,支持PDF/Word/PPT等文件格式,支持 12+语言互译。

免费翻译文档

深度研究

AI帮你快速写综述,25分钟生成高质量综述,智能提取关键信息,辅助科研写作。

立即免费体验

快速进展性认知衰退综合征——我们的经验

Syndromes of Rapidly Progressive Cognitive Decline-Our Experience.

作者信息

Chandra Sadanandavalli Retnaswami, Viswanathan Lakshminarayanapuram Gopal, Pai Anupama Ramakanth, Wahatule Rahul, Alladi Suvarna

机构信息

Department of Neurology, National Institute of Mental Health and Neurosciences, Bengaluru, Karnataka, India.

Department of Neuromicrobiology, National Institute of Mental Health and Neurosciences, Bengaluru, Karnataka, India.

出版信息

J Neurosci Rural Pract. 2017 Aug;8(Suppl 1):S66-S71. doi: 10.4103/jnrp.jnrp_100_17.

DOI:10.4103/jnrp.jnrp_100_17
PMID:28936074
原文链接:https://pmc.ncbi.nlm.nih.gov/articles/PMC5602264/
Abstract

BACKGROUND

Dementias are fairly slowly progressive degenerative diseases of brain for which treatment options are very less and carry a lot of burden on family and society. A small percentage of them are rapidly progressive and mostly carry a different course outcome. However, there are no definite criteria other than the time line for these patients.

AIMS

The aim of this was to identify and categorize the causes and course of rapidly progressive dementias seen in our center.

SETTINGS AND DESIGN

Patients who presented with rapid deterioration of cognitive functions within weeks to 1 year between 2011 and December 2016 were evaluated.

PATIENTS AND METHODS

All patients underwent all mandatory tests for dementia including brain imaging. Complete vasculitis workup, autoimmune encephalitis profile including Voltage Gated Potassium Channel, N-methyl-D-aspartic acid receptor, glutamic acid-decarboxylase, thyroid-peroxidase antibody, cerebrospinal fluid, and other special tests such as duodenal biopsy and paraneoplastic workup were done based on clinical indications.

RESULTS AND CONCLUSIONS

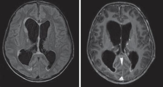
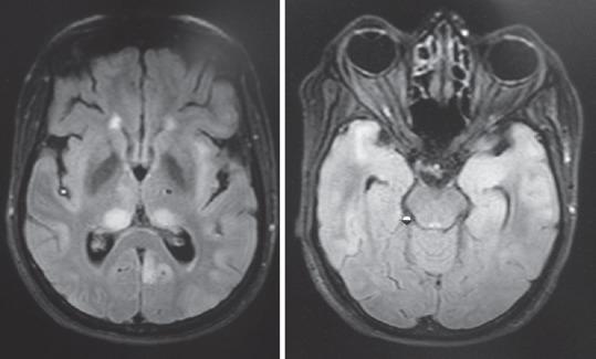
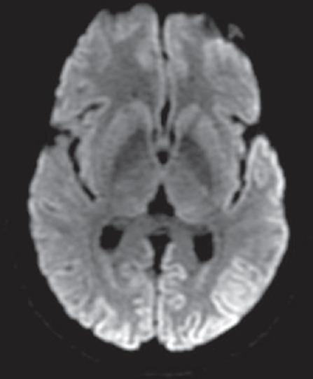
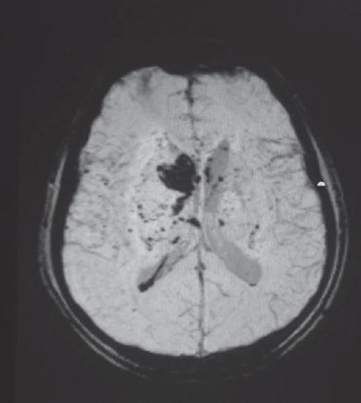
Out of 144 patients 42 had immune-mediated encephalopathy, 18 had Creutzfeldt-Jakob disease, 3 had Vitamin B12 deficiency, 63 had infection with neurocysticercosis, 7 had tuberculosis, 2 had HIV, 1 had herpes simplex encephalitis, 1 had neurosyphilis, 1 Whipples disease, 1 had Subacute Sclerosing Panencephalitis, 1 had Mass lesion, 3 had Frontotemporal dementia, and 3 had small vessel disease. Good majority of these patients have infective and immune-mediated causes and less number belong to degenerative group. Therefore, caution is needed to look for treatable cause as it carries a different treatment options and outcome.

摘要

背景

痴呆症是大脑相当缓慢进展的退行性疾病,治疗选择非常有限,给家庭和社会带来沉重负担。其中一小部分进展迅速,且大多有不同的病程结果。然而,除了病程时间线外,这些患者没有明确的标准。

目的

本研究的目的是识别并分类在我们中心所见的快速进展性痴呆的病因和病程。

设置与设计

对2011年至2016年12月期间在数周内至1年内认知功能迅速恶化的患者进行评估。

患者与方法

所有患者均接受了痴呆症的所有强制性检查,包括脑部成像。根据临床指征,进行了全面的血管炎检查、自身免疫性脑炎检测,包括电压门控钾通道、N-甲基-D-天冬氨酸受体、谷氨酸脱羧酶、甲状腺过氧化物酶抗体、脑脊液检测,以及其他特殊检查,如十二指肠活检和副肿瘤检查。

结果与结论

144例患者中,42例患有免疫介导性脑病,18例患有克雅氏病,3例患有维生素B12缺乏症,63例患有神经囊尾蚴病感染,7例患有结核病,2例患有艾滋病,1例患有单纯疱疹性脑炎,1例患有神经梅毒,1例患有惠普尔病,1例患有亚急性硬化性全脑炎,1例患有占位性病变,3例患有额颞叶痴呆,3例患有小血管疾病。这些患者中绝大多数有感染性和免疫介导性病因,属于退行性病变组的较少。因此,需要谨慎寻找可治疗的病因,因为其治疗选择和结果不同。

https://cdn.ncbi.nlm.nih.gov/pmc/blobs/cc57/5602264/c664ff7a112a/JNRP-8-66-g012.jpg
https://cdn.ncbi.nlm.nih.gov/pmc/blobs/cc57/5602264/005c0c198ab2/JNRP-8-66-g001.jpg
https://cdn.ncbi.nlm.nih.gov/pmc/blobs/cc57/5602264/b997a4b6f02f/JNRP-8-66-g002.jpg
https://cdn.ncbi.nlm.nih.gov/pmc/blobs/cc57/5602264/3f7fb360fe85/JNRP-8-66-g003.jpg
https://cdn.ncbi.nlm.nih.gov/pmc/blobs/cc57/5602264/ff7a294fed03/JNRP-8-66-g004.jpg
https://cdn.ncbi.nlm.nih.gov/pmc/blobs/cc57/5602264/eefc3f668072/JNRP-8-66-g005.jpg
https://cdn.ncbi.nlm.nih.gov/pmc/blobs/cc57/5602264/b73c6d2b1a5f/JNRP-8-66-g006.jpg
https://cdn.ncbi.nlm.nih.gov/pmc/blobs/cc57/5602264/080ca1615330/JNRP-8-66-g007.jpg
https://cdn.ncbi.nlm.nih.gov/pmc/blobs/cc57/5602264/32bfa94ee318/JNRP-8-66-g008.jpg
https://cdn.ncbi.nlm.nih.gov/pmc/blobs/cc57/5602264/338859c4c908/JNRP-8-66-g009.jpg
https://cdn.ncbi.nlm.nih.gov/pmc/blobs/cc57/5602264/cecd2bddab40/JNRP-8-66-g010.jpg
https://cdn.ncbi.nlm.nih.gov/pmc/blobs/cc57/5602264/6818ff3e9d4b/JNRP-8-66-g011.jpg
https://cdn.ncbi.nlm.nih.gov/pmc/blobs/cc57/5602264/c664ff7a112a/JNRP-8-66-g012.jpg
https://cdn.ncbi.nlm.nih.gov/pmc/blobs/cc57/5602264/005c0c198ab2/JNRP-8-66-g001.jpg
https://cdn.ncbi.nlm.nih.gov/pmc/blobs/cc57/5602264/b997a4b6f02f/JNRP-8-66-g002.jpg
https://cdn.ncbi.nlm.nih.gov/pmc/blobs/cc57/5602264/3f7fb360fe85/JNRP-8-66-g003.jpg
https://cdn.ncbi.nlm.nih.gov/pmc/blobs/cc57/5602264/ff7a294fed03/JNRP-8-66-g004.jpg
https://cdn.ncbi.nlm.nih.gov/pmc/blobs/cc57/5602264/eefc3f668072/JNRP-8-66-g005.jpg
https://cdn.ncbi.nlm.nih.gov/pmc/blobs/cc57/5602264/b73c6d2b1a5f/JNRP-8-66-g006.jpg
https://cdn.ncbi.nlm.nih.gov/pmc/blobs/cc57/5602264/080ca1615330/JNRP-8-66-g007.jpg
https://cdn.ncbi.nlm.nih.gov/pmc/blobs/cc57/5602264/32bfa94ee318/JNRP-8-66-g008.jpg
https://cdn.ncbi.nlm.nih.gov/pmc/blobs/cc57/5602264/338859c4c908/JNRP-8-66-g009.jpg
https://cdn.ncbi.nlm.nih.gov/pmc/blobs/cc57/5602264/cecd2bddab40/JNRP-8-66-g010.jpg
https://cdn.ncbi.nlm.nih.gov/pmc/blobs/cc57/5602264/6818ff3e9d4b/JNRP-8-66-g011.jpg
https://cdn.ncbi.nlm.nih.gov/pmc/blobs/cc57/5602264/c664ff7a112a/JNRP-8-66-g012.jpg

相似文献

1
Syndromes of Rapidly Progressive Cognitive Decline-Our Experience.快速进展性认知衰退综合征——我们的经验
J Neurosci Rural Pract. 2017 Aug;8(Suppl 1):S66-S71. doi: 10.4103/jnrp.jnrp_100_17.
2
A clinical TRIAD for early suspicion of autoimmune encephalitis as a possibility in patients presenting with progressive cognitive decline.一个用于早期怀疑自身免疫性脑炎的临床三联征,以便在出现进行性认知衰退的患者中考虑这种可能性。
Asian J Psychiatr. 2019 Mar;41:5-12. doi: 10.1016/j.ajp.2019.02.013. Epub 2019 Feb 22.
3
Subacute Noninfective Inflammatory Encephalopathy: Our Experience and Diagnostic Problems.亚急性非感染性炎性脑病:我们的经验及诊断问题
Indian J Psychol Med. 2017 Mar-Apr;39(2):183-187. doi: 10.4103/IJPSYM.IJPSYM_433_16.
4
Immunopathology of autoantibody-associated encephalitides: clues for pathogenesis.自身抗体相关性脑炎的免疫病理学:发病机制的线索。
Brain. 2012 May;135(Pt 5):1622-38. doi: 10.1093/brain/aws082. Epub 2012 Apr 25.
5
Hashimoto's encephalopathy : epidemiology, pathogenesis and management.桥本脑病:流行病学、发病机制与管理
CNS Drugs. 2007;21(10):799-811. doi: 10.2165/00023210-200721100-00002.
6
Rapidly progressive dementia-associated N-type voltage-gated calcium channel antibody encephalopathy.快速进展性痴呆相关的N型电压门控钙通道抗体脑病
Proc (Bayl Univ Med Cent). 2020 Jan 9;33(2):278-280. doi: 10.1080/08998280.2019.1709117. eCollection 2020 Apr.
7
Rapidly progressive dementia: prion diseases and other rapid dementias.快速进展性痴呆:朊病毒病及其他快速进展性痴呆
Continuum (Minneap Minn). 2010 Apr;16(2 Dementia):31-56. doi: 10.1212/01.CON.0000368211.79211.4c.
8
Rapidly progressive dementia: An eight year (2008-2016) retrospective study.快速进展性痴呆:一项为期八年(2008 - 2016年)的回顾性研究。
PLoS One. 2018 Jan 18;13(1):e0189832. doi: 10.1371/journal.pone.0189832. eCollection 2018.
9
Autoimmune encephalopathies.自身免疫性脑病
Neurologist. 2007 May;13(3):140-7. doi: 10.1097/01.nrl.0000259483.70041.55.
10
An Evaluation of Rapidly Progressive Dementia Culminating in a Diagnosis of Creutzfeldt-Jakob Disease.一例以克雅氏病诊断告终的快速进展性痴呆的评估
Case Rep Infect Dis. 2018 Sep 23;2018:2374179. doi: 10.1155/2018/2374179. eCollection 2018.

引用本文的文献

1
Etiologies of rapidly progressive dementias: A systematic review and meta-analysis of causes in worldwide and Latin America.快速进展性痴呆的病因:全球及拉丁美洲病因的系统评价与荟萃分析
J Alzheimers Dis Rep. 2025 Jan 31;9:25424823251314505. doi: 10.1177/25424823251314505. eCollection 2025 Jan-Dec.
2
Non-multiple-Sclerosis-Related Typical and Atypical White Matter Disorders: Our Experience in the Last 2 Years in Both Children and Adults From a Tertiary Care Center in India.非多发性硬化相关的典型和非典型白质疾病:我们在印度一家三级医疗中心过去两年中对儿童和成人的经验。
J Pediatr Neurosci. 2019 Jan-Mar;14(1):20-29. doi: 10.4103/jpn.JPN_37_19.
3

本文引用的文献

1
Creutzfeldt-Jakob Disease Phenotype and Course: Our Experience from a Tertiary Center.克雅氏病的表型与病程:来自三级医疗中心的经验
Indian J Psychol Med. 2016 Sep-Oct;38(5):438-442. doi: 10.4103/0253-7176.191376.
2
Cognitive Dysfunction and its Determinants in Patients with Neurocysticercosis.神经囊尾蚴病患者的认知功能障碍及其决定因素
Indian J Psychol Med. 2016 Mar-Apr;38(2):142-6. doi: 10.4103/0253-7176.178809.
3
Elevated antimeasles antibody titre: An association in autoimmune encephalitis.抗麻疹抗体滴度升高:自身免疫性脑炎中的一种关联。
Cognitive and Behavioral Profile of Treatment-Naïve Children Aged 6-14 Years with Neurocysticercosis from North India.
来自印度北部的6至14岁初治神经囊尾蚴病儿童的认知和行为特征
Ann Indian Acad Neurol. 2018 Oct-Dec;21(4):300-303. doi: 10.4103/aian.AIAN_22_18.
4
Alzheimer's disease: An alternative approach.阿尔茨海默病:一种替代方法。
Indian J Med Res. 2017 Jun;145(6):723-729. doi: 10.4103/ijmr.IJMR_74_17.
J Neurosci Rural Pract. 2015 Oct-Dec;6(4):536-40. doi: 10.4103/0976-3147.165343.
4
Catatonia in Children Following Systemic Illness.全身性疾病后儿童的紧张症
Indian J Psychol Med. 2015 Oct-Dec;37(4):413-8. doi: 10.4103/0253-7176.168582.
5
Rapidly progressive dementia.快速进展性痴呆
Ann Neurol. 2008 Jul;64(1):97-108. doi: 10.1002/ana.21430.
6
Rapidly progressive dementia.快速进展性痴呆
Neurol Clin. 2007 Aug;25(3):783-807, vii. doi: 10.1016/j.ncl.2007.04.001.
7
Frontotemporal dementia progresses to death faster than Alzheimer disease.额颞叶痴呆比阿尔茨海默病发展至死亡的速度更快。
Neurology. 2005 Sep 13;65(5):719-25. doi: 10.1212/01.wnl.0000173837.82820.9f.
8
Differential diagnosis of 201 possible Creutzfeldt-Jakob disease patients.201例疑似克雅氏病患者的鉴别诊断
J Neurol. 2004 Mar;251(3):298-304. doi: 10.1007/s00415-004-0311-9.
9
Proposed diagnostic criteria for neurocysticercosis.神经囊尾蚴病的拟诊标准。
Neurology. 2001 Jul 24;57(2):177-83. doi: 10.1212/wnl.57.2.177.
10
The prion diseases.朊病毒疾病
Semin Neurol. 2000;20(3):337-52. doi: 10.1055/s-2000-9396.