Suppr超能文献

手指超声的现状。

Current status of ultrasonography of the finger.

机构信息

Department of Radiology, Korea University Ansan Hospital, Korea University College of Medicine, Ansan, Korea.

Department of Radiology, Myongji Hospital, Seonam University College of Medicine, Goyang, Korea.

出版信息

Ultrasonography. 2016 Apr;35(2):110-23. doi: 10.14366/usg.15051. Epub 2015 Nov 24.

Abstract

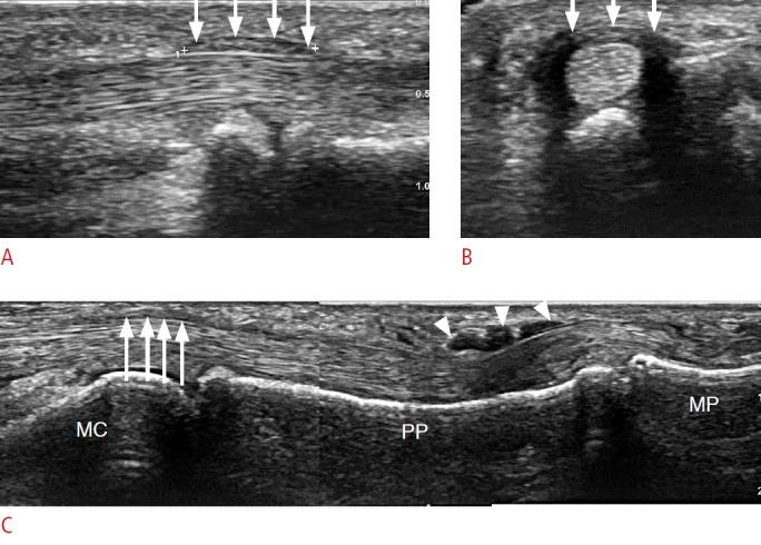
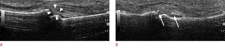
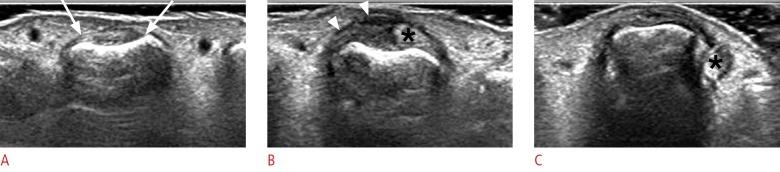
The recent development of advanced high-resolution transducers has enabled the fast, easy, and dynamic ultrasonographic evaluation of small, superficial structures such as the finger. In order to best exploit these advances, it is important to understand the normal anatomy and the basic pathologies of the finger, as exemplified by the following conditions involving the dorsal, volar, and lateral sections of the finger: sagittal band injuries, mallet finger, and Boutonnière deformity (dorsal aspect); flexor tendon tears, trigger finger, and volar plate injuries (volar aspect); gamekeeper's thumb (Stener lesions) and other collateral ligament tears (lateral aspect); and other lesions. This review provides a basis for understanding the ultrasonography of the finger and will therefore be useful for radiologists.

摘要

先进的高分辨率换能器的最新发展使得对手指等小而浅表结构进行快速、简便和动态的超声评估成为可能。为了充分利用这些进展,了解手指的正常解剖结构和基本病变非常重要,以下列举了累及手指背侧、掌侧和侧方的一些情况,包括:矢状带损伤、锤状指和纽扣畸形(背侧);屈肌腱撕裂、扳机指和掌板损伤(掌侧);守猎者拇指(斯滕纳损伤)和其他侧副韧带撕裂(外侧);以及其他病变。这篇综述为理解手指的超声检查提供了基础,因此对放射科医生非常有用。

https://cdn.ncbi.nlm.nih.gov/pmc/blobs/8518/4825212/d2c9e1869093/usg-15051-f1.jpg

文献AI研究员

20分钟写一篇综述,助力文献阅读效率提升50倍。

立即体验

用中文搜PubMed

大模型驱动的PubMed中文搜索引擎

马上搜索

文档翻译

学术文献翻译模型,支持多种主流文档格式。

立即体验