• 文献检索
  • 文档翻译
  • 深度研究
  • 学术资讯
  • Suppr Zotero 插件Zotero 插件
  • 邀请有礼
  • 套餐&价格
  • 历史记录
应用&插件
Suppr Zotero 插件Zotero 插件浏览器插件Mac 客户端Windows 客户端微信小程序
定价
高级版会员购买积分包购买API积分包
服务
文献检索文档翻译深度研究API 文档MCP 服务
关于我们
关于 Suppr公司介绍联系我们用户协议隐私条款
关注我们

Suppr 超能文献

核心技术专利:CN118964589B侵权必究
粤ICP备2023148730 号-1Suppr @ 2026

文献检索

告别复杂PubMed语法,用中文像聊天一样搜索,搜遍4000万医学文献。AI智能推荐,让科研检索更轻松。

立即免费搜索

文件翻译

保留排版,准确专业,支持PDF/Word/PPT等文件格式,支持 12+语言互译。

免费翻译文档

深度研究

AI帮你快速写综述,25分钟生成高质量综述,智能提取关键信息,辅助科研写作。

立即免费体验

结肠癌中的败血梭菌气性坏疽:早期诊断的重要性

Clostridium septicum Gas Gangrene in Colon Cancer: Importance of Early Diagnosis.

作者信息

Nanjappa Sowmya, Shah Sweta, Pabbathi Smitha

机构信息

Department of Internal Hospital Medicine, H. Lee Moffitt Cancer Center, Tampa, FL 33612-9416, USA; USF College of Medicine, 12902 Magnolia Drive, Tampa, FL 33612-9416, USA.

Internal Medicine Residency Program, University of South Florida College of Medicine, 12902 Magnolia Drive, Tampa, FL 33612-9416, USA.

出版信息

Case Rep Infect Dis. 2015;2015:694247. doi: 10.1155/2015/694247. Epub 2015 Dec 17.

DOI:10.1155/2015/694247
PMID:26793397
原文链接:https://pmc.ncbi.nlm.nih.gov/articles/PMC4697071/
Abstract

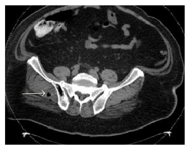
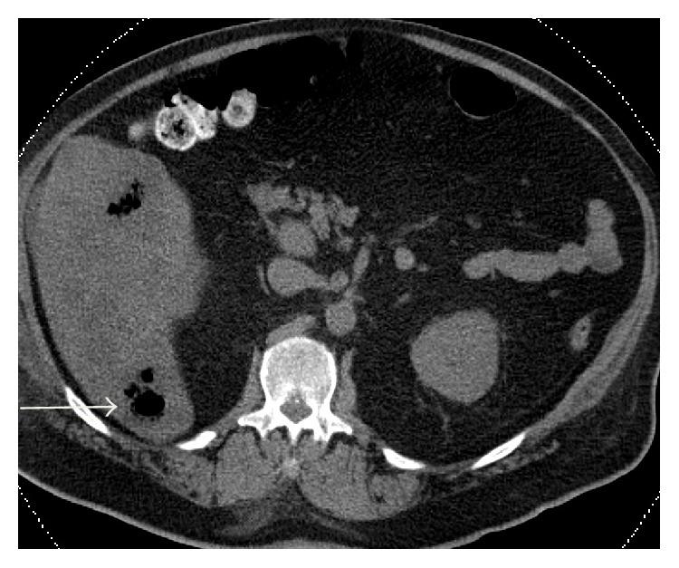
The Clostridia species are responsible for some of the deadliest diseases including gas gangrene, tetanus, and botulism. Clostridium septicum is a rare subgroup known to cause atraumatic myonecrosis and is associated with colonic malignancy or immunosuppression. It is a Gram-positive, anaerobic, spore-forming bacillus found in the gastrointestinal tract and can lead to direct, spontaneous infections of the bowel and peritoneal cavity. The anaerobic glycolysis of the tumor produces an acidic, hypoxic environment favoring germination of clostridial spores. Tumor-induced mucosal ulceration allows for translocation of sporulated bacteria from the bowel into the bloodstream, leading to fulminant sepsis. C. septicum bacteremia can have a variable presentation and is associated with greater than 60% mortality rate. The majority of deaths occur within the first 24 hours if diagnosis and appropriate treatment measures are not promptly started. We report a case of abdominal myonecrosis in a patient with newly diagnosed colon cancer. The aim of this study is to stress the importance of maintaining a high suspicion of C. septicum infection in patients with underlying colonic malignancy.

摘要

梭菌属细菌可引发一些最为致命的疾病,包括气性坏疽、破伤风和肉毒中毒。败血梭菌是一种罕见的亚群,已知可导致非创伤性肌坏死,且与结肠恶性肿瘤或免疫抑制有关。它是一种革兰氏阳性、厌氧、产芽孢杆菌,存在于胃肠道中,可导致肠道和腹膜腔的直接、自发性感染。肿瘤的无氧糖酵解产生酸性、缺氧环境,有利于梭菌芽孢的萌发。肿瘤引起的黏膜溃疡使芽孢化细菌从肠道转移到血液中,导致暴发性败血症。败血梭菌菌血症的表现可能各异,死亡率超过60%。如果不及时开始诊断和采取适当的治疗措施,大多数死亡发生在最初24小时内。我们报告一例新诊断为结肠癌患者发生腹部肌坏死的病例。本研究的目的是强调对患有潜在结肠恶性肿瘤的患者保持高度怀疑败血梭菌感染的重要性。

https://cdn.ncbi.nlm.nih.gov/pmc/blobs/c2ff/4697071/8804e46d5f19/CRIID2015-694247.004.jpg
https://cdn.ncbi.nlm.nih.gov/pmc/blobs/c2ff/4697071/9a109bf657da/CRIID2015-694247.001.jpg
https://cdn.ncbi.nlm.nih.gov/pmc/blobs/c2ff/4697071/c3dccf935b5f/CRIID2015-694247.002.jpg
https://cdn.ncbi.nlm.nih.gov/pmc/blobs/c2ff/4697071/18d351f5bb84/CRIID2015-694247.003.jpg
https://cdn.ncbi.nlm.nih.gov/pmc/blobs/c2ff/4697071/8804e46d5f19/CRIID2015-694247.004.jpg
https://cdn.ncbi.nlm.nih.gov/pmc/blobs/c2ff/4697071/9a109bf657da/CRIID2015-694247.001.jpg
https://cdn.ncbi.nlm.nih.gov/pmc/blobs/c2ff/4697071/c3dccf935b5f/CRIID2015-694247.002.jpg
https://cdn.ncbi.nlm.nih.gov/pmc/blobs/c2ff/4697071/18d351f5bb84/CRIID2015-694247.003.jpg
https://cdn.ncbi.nlm.nih.gov/pmc/blobs/c2ff/4697071/8804e46d5f19/CRIID2015-694247.004.jpg

相似文献

1
Clostridium septicum Gas Gangrene in Colon Cancer: Importance of Early Diagnosis.结肠癌中的败血梭菌气性坏疽:早期诊断的重要性
Case Rep Infect Dis. 2015;2015:694247. doi: 10.1155/2015/694247. Epub 2015 Dec 17.
2
Clostridium septicum infections in children: a case report and review of the literature.儿童败血梭菌感染:一例病例报告及文献综述
Pediatrics. 2006 Apr;117(4):e796-805. doi: 10.1542/peds.2005-1074. Epub 2006 Mar 27.
3
Distant myonecrosis by atraumatic infection in a patient with metastatic breast cancer.转移性乳腺癌患者因非创伤性感染导致的远处肌坏死。
IDCases. 2020 May 5;20:e00784. doi: 10.1016/j.idcr.2020.e00784. eCollection 2020.
4
Fatal Clostridium septicum gas gangrene complicating ECMO: case report and review of literature.致命性败血梭菌气性坏疽并发体外膜肺氧合:病例报告及文献综述
Access Microbiol. 2024 Aug 5;6(8). doi: 10.1099/acmi.0.000825.v3. eCollection 2024.
5
Clostridium septicum foot gangrene associated with colorectal cancer.梭状芽孢杆菌性坏疽性足肿与结直肠癌相关。
Neuro Endocrinol Lett. 2022 Jun 7;43(2):57-64.
6
arthroplasty infection: beware of occult aortitis and malignancy.
Scott Med J. 2018 Nov;63(4):132-139. doi: 10.1177/0036933018793525. Epub 2018 Aug 28.
7
Clostridium septicum infection and associated malignancy. Report of 2 cases and review of the literature.败血梭状芽孢杆菌感染与相关恶性肿瘤。2例报告及文献复习
Medicine (Baltimore). 1989 Jan;68(1):30-7. doi: 10.1097/00005792-198901000-00002.
8
Spontaneous Clostridium septicum myonecrosis in congenital neutropaenia.先天性中性粒细胞减少症中的自发性败血梭菌性肌坏死
Aust N Z J Surg. 1994 Aug;64(8):574-5. doi: 10.1111/j.1445-2197.1994.tb02291.x.
9
Clostridium septicum infection and malignancy.败血梭菌感染与恶性肿瘤。
Ann Surg. 1981 Mar;193(3):361-4. doi: 10.1097/00000658-198103000-00020.
10
[Spontaneous gas gangrene in a diabetic patient with Clostridium septicum].[一名患有败血梭状芽孢杆菌的糖尿病患者发生自发性气性坏疽]
Chirurg. 2005 Oct;76(10):983-6. doi: 10.1007/s00104-005-1067-1.

引用本文的文献

1
Anaerobic gut bacteria and their potential role in the initiation, exacerbation, and development of human colorectal cancer: a narrative review.厌氧肠道细菌及其在人类结直肠癌的起始、恶化和发展中的潜在作用:一篇叙述性综述。
Front Cell Infect Microbiol. 2025 Jul 25;15:1559001. doi: 10.3389/fcimb.2025.1559001. eCollection 2025.
2
Spontaneous Necrotizing Soft Tissue Infection and Fatal Clostridium septicum Septicemia in Myelodysplastic Syndrome: A Case Report and Comprehensive Literature Review.骨髓增生异常综合征患者的自发性坏死性软组织感染和致命性败血梭菌败血症:一例报告及文献综述
Cureus. 2025 May 23;17(5):e84715. doi: 10.7759/cureus.84715. eCollection 2025 May.
3

本文引用的文献

1
Life-threatening clostridial infections.危及生命的梭状芽孢杆菌感染。
Anaerobe. 2012 Apr;18(2):254-9. doi: 10.1016/j.anaerobe.2011.11.001. Epub 2011 Nov 20.
2
Clostridium septicum Sepsis and Colon Carcinoma: Report of 4 Cases.败血梭状芽孢杆菌败血症与结肠癌:4例报告
Case Rep Med. 2011;2011:248453. doi: 10.1155/2011/248453. Epub 2011 Jun 26.
3
Clostridium septicum sepsis and colorectal cancer - a reminder.败血梭状芽孢杆菌败血症与结直肠癌——一则警示
[Periaortic gas and signs of dissection of a mycotic aneurysm in the descending thoracic aorta due to Clostridium septicum].
[因败血梭状芽孢杆菌导致的胸降主动脉感染性动脉瘤的主动脉周围气体及夹层征象]
Inn Med (Heidelb). 2025 Mar;66(3):325-327. doi: 10.1007/s00108-024-01800-5. Epub 2024 Sep 27.
4
Perforation of descending colonic cancer as a rare cause of gas gangrene of the lower limb in an 80-year-old female: a case report.降结肠癌穿孔作为一名80岁女性下肢气性坏疽的罕见病因:一例报告
J Surg Case Rep. 2024 Apr 9;2024(4):rjae033. doi: 10.1093/jscr/rjae033. eCollection 2024 Apr.
5
Clostridium septicum Bacteremia As the Presenting Sign of Colon Cancer.败血梭状芽孢杆菌菌血症作为结肠癌的首发症状
Cureus. 2023 Sep 16;15(9):e45343. doi: 10.7759/cureus.45343. eCollection 2023 Sep.
6
A Narrative Literature Review on Sepsis: A Primary Manifestation of Colorectal Neoplasm.关于脓毒症的叙述性文献综述:结直肠肿瘤的一种主要表现形式
Cureus. 2023 Sep 6;15(9):e44803. doi: 10.7759/cureus.44803. eCollection 2023 Sep.
7
The deficiency of 5-methylcytosine (5mC) and its ramification in the occurrence and prognosis of colon cancer.5-甲基胞嘧啶(5mC)的缺乏及其在结肠癌发生和预后中的作用。
Medicine (Baltimore). 2023 Aug 25;102(34):e34860. doi: 10.1097/MD.0000000000034860.
8
gas gangrene caused by closed abdominal injury: A case report and review of the literature.闭合性腹部损伤所致气性坏疽:一例报告并文献复习
World J Clin Cases. 2023 Feb 6;11(4):852-858. doi: 10.12998/wjcc.v11.i4.852.
9
myonecrosis in a pediatric patient with a self-reported penicillin allergy.一名自述对青霉素过敏的儿科患者发生了肌肉坏死。
J Assoc Med Microbiol Infect Dis Can. 2021 Dec 3;6(4):325-329. doi: 10.3138/jammi-2020-0039. eCollection 2021 Dec.
10
Bacterial Involvement in Progression and Metastasis of Colorectal Neoplasia.细菌在结直肠肿瘤进展和转移中的作用
Cancers (Basel). 2022 Feb 17;14(4):1019. doi: 10.3390/cancers14041019.
World J Surg Oncol. 2009 Oct 6;7:73. doi: 10.1186/1477-7819-7-73.
4
A reminder of the association between Clostridium septicum and colonic adenocarcinoma.关于败血梭菌与结肠腺癌之间关联的提示。
Int Semin Surg Oncol. 2006 Apr 28;3:12. doi: 10.1186/1477-7800-3-12.
5
The alpha-toxin of Clostridium septicum is essential for virulence.败血梭菌的α毒素对毒力至关重要。
Mol Microbiol. 2005 Sep;57(5):1357-66. doi: 10.1111/j.1365-2958.2005.04774.x.
6
Atraumatic Clostridial myonecrosis: case report and literature review.非创伤性梭菌性肌坏死:病例报告及文献综述
J Emerg Med. 2003 May;24(4):401-5. doi: 10.1016/s0736-4679(03)00037-4.
7
Clostridium septicum and malignancy.败血梭状芽孢杆菌与恶性肿瘤
ANZ J Surg. 2001 Nov;71(11):647-9. doi: 10.1046/j.1445-1433.2001.02231.x.
8
A rare cause of crepitus.一种罕见的摩擦音病因。
Postgrad Med J. 1998 Jan;74(867):57-8. doi: 10.1136/pgmj.74.867.57.
9
Malignancy, mortality, and medicosurgical management of Clostridium septicum infection.败血梭菌感染的恶性肿瘤、死亡率及内科手术治疗
Surgery. 1995 Oct;118(4):592-7; discussion 597-8. doi: 10.1016/s0039-6060(05)80023-6.
10
Diffuse spreading Clostridium septicum infection, malignant disease and immune suppression.
Surg Gynecol Obstet. 1988 Mar;166(3):197-9.