Suppr超能文献

一名成人急性髓系白血病之前的双侧眼眶髓系肉瘤:病例报告及文献复习

Bilateral orbital myeloid sarcoma preceding acute myeloid leukemia in an adult: a case report and review of the literature.

作者信息

Vera-Aguilera Jesus, Mukarram Osama, Nutalapati Prathibha, Mok Mary, Bulumulle Anushi, Vera-Aguilera Carlos

机构信息

Internal Medicine Department, Texas Tech University Health Sciences Center at the Permian Basin, 800 W. 4th Street, Odessa, TX, 79763, USA.

Departamento de Biología Celular y Tisular, Facultad de Medicina, Universidad Nacional Autónoma de México, México City, México.

出版信息

J Med Case Rep. 2016 Feb 4;10:31. doi: 10.1186/s13256-015-0778-2.

Abstract

BACKGROUND

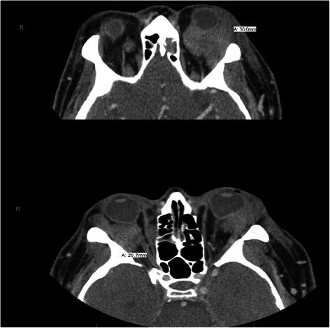
Acute myeloid leukemia is typically a disease of the older population and presents mostly in the fifth decade of life. Myeloid sarcoma is a rare initial presentation of acute myeloid leukemia. Previously it has only been documented in children and younger patients.

CASE PRESENTATION

We present an unusual case of retro-orbital myeloid sarcoma as an initial presentation of acute myeloid leukemia in a 43-year-old Caucasian man, with rearrangement of chromosome 11q23 involving the MLL gene.

CONCLUSIONS

We present an unusual case of retro-orbital myeloid sarcoma as an initial presentation of acute myeloid leukemia in a 43-year-old man, with rearrangement of chromosome 11q23 involving the MLL gene.

摘要

背景

急性髓系白血病通常是一种老年人群的疾病,大多出现在生命的第五个十年。髓系肉瘤是急性髓系白血病罕见的初始表现形式。此前仅在儿童和年轻患者中有所记载。

病例报告

我们报告一例不寻常的眶后髓系肉瘤病例,该病例为一名43岁白种男性急性髓系白血病的初始表现,伴有涉及MLL基因的11q23染色体重排。

结论

我们报告一例不寻常的眶后髓系肉瘤病例,该病例为一名43岁男性急性髓系白血病的初始表现,伴有涉及MLL基因的11q23染色体重排。

https://cdn.ncbi.nlm.nih.gov/pmc/blobs/4174/4743162/5a28775c3974/13256_2015_778_Fig1_HTML.jpg

文献AI研究员

20分钟写一篇综述,助力文献阅读效率提升50倍。

立即体验

用中文搜PubMed

大模型驱动的PubMed中文搜索引擎

马上搜索

文档翻译

学术文献翻译模型,支持多种主流文档格式。

立即体验