• 文献检索
  • 文档翻译
  • 深度研究
  • 学术资讯
  • Suppr Zotero 插件Zotero 插件
  • 邀请有礼
  • 套餐&价格
  • 历史记录
应用&插件
Suppr Zotero 插件Zotero 插件浏览器插件Mac 客户端Windows 客户端微信小程序
定价
高级版会员购买积分包购买API积分包
服务
文献检索文档翻译深度研究API 文档MCP 服务
关于我们
关于 Suppr公司介绍联系我们用户协议隐私条款
关注我们

Suppr 超能文献

核心技术专利:CN118964589B侵权必究
粤ICP备2023148730 号-1Suppr @ 2026

文献检索

告别复杂PubMed语法,用中文像聊天一样搜索,搜遍4000万医学文献。AI智能推荐,让科研检索更轻松。

立即免费搜索

文件翻译

保留排版,准确专业,支持PDF/Word/PPT等文件格式,支持 12+语言互译。

免费翻译文档

深度研究

AI帮你快速写综述,25分钟生成高质量综述,智能提取关键信息,辅助科研写作。

立即免费体验

人尿源干细胞分泌的外泌体可预防大鼠 I 型糖尿病的肾脏并发症。

Exosomes secreted by human urine-derived stem cells could prevent kidney complications from type I diabetes in rats.

作者信息

Jiang Zhen-zhen, Liu Yu-mei, Niu Xin, Yin Jian-yong, Hu Bin, Guo Shang-chun, Fan Ying, Wang Yang, Wang Nian-song

机构信息

Department of Nephrology and Rheumatology, Shanghai Jiao Tong University Affiliated Sixth People's Hospital, Shanghai, 200233, P.R. China.

Institute of Microsurgery on Extremities, Shanghai Jiao Tong University Affiliated Sixth People's Hospital, Shanghai, 200233, P.R. China.

出版信息

Stem Cell Res Ther. 2016 Feb 6;7:24. doi: 10.1186/s13287-016-0287-2.

DOI:10.1186/s13287-016-0287-2
PMID:26852014
原文链接:https://pmc.ncbi.nlm.nih.gov/articles/PMC4744390/
Abstract

BACKGROUND

Diabetic nephropathy is one of the most serious complications in patients with diabetes. At present, there are no satisfactory treatments available for diabetic nephropathy. Stem cells are currently the main candidates for the development of new treatments for diabetic nephropathy, as they may exert their therapeutic effects mainly through paracrine mechanisms. Exosomes derived from stem cells have been reported to play an important role in kidney injury. In this article, we try to investigate whether exosomes retrieved from urine stem cells could itself prevent diabetic nephropathy at an early stage in vivo and in vitro.

METHODS

Exosomes from conditioned medium of urine-derived stem cells (USCs-Exo) were isolated using ultrafiltration-combined purification methods. USCs-Exo were then verified by morphology, size, and specific biomarkers using transmission electron microscopy, tunable resistive pulse sensing analysis, and western blotting. After establishment of the streptozotocin-induced Sprague-Dawley rat model, the effects of USCs-Exo on kidney injury and angiogenesis were observed via weekly tail intravenous injection of USCs-Exo or control until 12 weeks. In vitro, podocytes cultured in high-glucose medium were treated with USCs-Exo to test the protective effect of USCs-Exo on podocytic apoptosis. Meanwhile, the potential factors in promoting vascular regeneration in USCs-Exo and urine-derived stem cell conditioned medium were investigated by enzyme-linked immunosorbent assay.

RESULTS

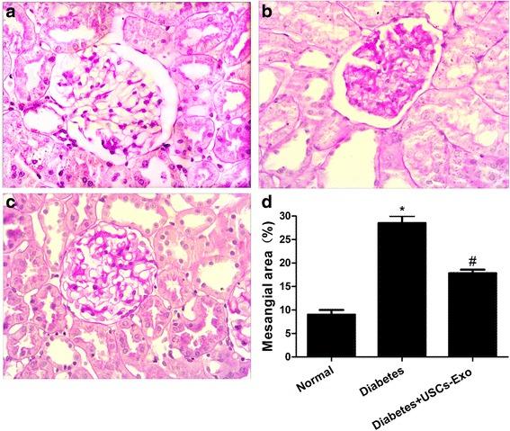
Urine-derived stem cells were cultured and were verified by positive markers for CD29, CD73, CD90 and CD44 antigens, and negative markers for CD34, CD45 and HLA-DR. USCs-Exo were approximately 50-100 nm spherical vesicles, and the specific markers included CD9, CD63 and CD81. Intravenous injections of USCs-Exo could potentially reduce the urine volume and urinary microalbumin excretion, prevent podocyte and tubular epithelial cell apoptosis, suppress the caspase-3 overexpression and increase glomerular endothelial cell proliferation in diabetic rats. In addition, USCs-Exo could reduce podocytic apoptosis induced by high glucose in vitro. USCs-Exo contained the potential factors, including growth factor, transforming growth factor-β1, angiogenin and bone morphogenetic protein-7, which may be related with vascular regeneration and cell survival.

CONCLUSION

USCs-Exo may have the potential to prevent kidney injury from diabetes by inhibiting podocyte apoptosis and promoting vascular regeneration and cell survival.

摘要

背景

糖尿病肾病是糖尿病患者最严重的并发症之一。目前,对于糖尿病肾病尚无令人满意的治疗方法。干细胞是目前糖尿病肾病新治疗方法开发的主要候选者,因为它们可能主要通过旁分泌机制发挥治疗作用。据报道,源自干细胞的外泌体在肾损伤中起重要作用。在本文中,我们试图研究从尿干细胞中提取的外泌体本身是否能在体内和体外早期预防糖尿病肾病。

方法

使用超滤联合纯化方法从尿源性干细胞(USCs)的条件培养基中分离外泌体(USCs-Exo)。然后通过透射电子显微镜、可调电阻脉冲传感分析和蛋白质印迹法,根据形态、大小和特定生物标志物对USCs-Exo进行验证。在建立链脲佐菌素诱导的Sprague-Dawley大鼠模型后,通过每周尾静脉注射USCs-Exo或对照直至12周,观察USCs-Exo对肾损伤和血管生成的影响。在体外,用USCs-Exo处理在高糖培养基中培养的足细胞,以测试USCs-Exo对足细胞凋亡的保护作用。同时,通过酶联免疫吸附测定法研究USCs-Exo和尿源性干细胞条件培养基中促进血管再生的潜在因素。

结果

培养尿源性干细胞,并通过CD29、CD73、CD90和CD44抗原的阳性标志物以及CD34、CD45和HLA-DR的阴性标志物进行验证。USCs-Exo是直径约50-100nm的球形囊泡,其特定标志物包括CD9、CD63和CD81。静脉注射USCs-Exo可能会减少糖尿病大鼠的尿量和尿微量白蛋白排泄,预防足细胞和肾小管上皮细胞凋亡,抑制caspase-3的过度表达并增加肾小球内皮细胞增殖。此外,USCs-Exo可以减少体外高糖诱导的足细胞凋亡。USCs-Exo含有潜在因子,包括生长因子、转化生长因子-β1、血管生成素和骨形态发生蛋白-7,这可能与血管再生和细胞存活有关。

结论

USCs-Exo可能具有通过抑制足细胞凋亡、促进血管再生和细胞存活来预防糖尿病肾损伤的潜力。

https://cdn.ncbi.nlm.nih.gov/pmc/blobs/cc86/4744390/9255bbb75bb0/13287_2016_287_Fig7_HTML.jpg
https://cdn.ncbi.nlm.nih.gov/pmc/blobs/cc86/4744390/a583950ccfab/13287_2016_287_Fig1_HTML.jpg
https://cdn.ncbi.nlm.nih.gov/pmc/blobs/cc86/4744390/4a8c922bd50c/13287_2016_287_Fig2_HTML.jpg
https://cdn.ncbi.nlm.nih.gov/pmc/blobs/cc86/4744390/a2255c3fdee7/13287_2016_287_Fig3_HTML.jpg
https://cdn.ncbi.nlm.nih.gov/pmc/blobs/cc86/4744390/0617aa6b19b3/13287_2016_287_Fig4_HTML.jpg
https://cdn.ncbi.nlm.nih.gov/pmc/blobs/cc86/4744390/1491397c8260/13287_2016_287_Fig5_HTML.jpg
https://cdn.ncbi.nlm.nih.gov/pmc/blobs/cc86/4744390/d823c43ad6e8/13287_2016_287_Fig6_HTML.jpg
https://cdn.ncbi.nlm.nih.gov/pmc/blobs/cc86/4744390/9255bbb75bb0/13287_2016_287_Fig7_HTML.jpg
https://cdn.ncbi.nlm.nih.gov/pmc/blobs/cc86/4744390/a583950ccfab/13287_2016_287_Fig1_HTML.jpg
https://cdn.ncbi.nlm.nih.gov/pmc/blobs/cc86/4744390/4a8c922bd50c/13287_2016_287_Fig2_HTML.jpg
https://cdn.ncbi.nlm.nih.gov/pmc/blobs/cc86/4744390/a2255c3fdee7/13287_2016_287_Fig3_HTML.jpg
https://cdn.ncbi.nlm.nih.gov/pmc/blobs/cc86/4744390/0617aa6b19b3/13287_2016_287_Fig4_HTML.jpg
https://cdn.ncbi.nlm.nih.gov/pmc/blobs/cc86/4744390/1491397c8260/13287_2016_287_Fig5_HTML.jpg
https://cdn.ncbi.nlm.nih.gov/pmc/blobs/cc86/4744390/d823c43ad6e8/13287_2016_287_Fig6_HTML.jpg
https://cdn.ncbi.nlm.nih.gov/pmc/blobs/cc86/4744390/9255bbb75bb0/13287_2016_287_Fig7_HTML.jpg

相似文献

1
Exosomes secreted by human urine-derived stem cells could prevent kidney complications from type I diabetes in rats.人尿源干细胞分泌的外泌体可预防大鼠 I 型糖尿病的肾脏并发症。
Stem Cell Res Ther. 2016 Feb 6;7:24. doi: 10.1186/s13287-016-0287-2.
2
Exosomal DMBT1 from human urine-derived stem cells facilitates diabetic wound repair by promoting angiogenesis.人尿液来源干细胞的外泌体 DMBT1 通过促进血管生成促进糖尿病创面修复。
Theranostics. 2018 Feb 7;8(6):1607-1623. doi: 10.7150/thno.22958. eCollection 2018.
3
Beneficial effects of urine-derived stem cells on fibrosis and apoptosis of myocardial, glomerular and bladder cells.尿液来源干细胞对心肌、肾小球及膀胱细胞纤维化和凋亡的有益作用。
Mol Cell Endocrinol. 2016 May 15;427:21-32. doi: 10.1016/j.mce.2016.03.001. Epub 2016 Mar 4.
4
Extracellular Vesicles Secreted by Human Urine-Derived Stem Cells Promote Ischemia Repair in a Mouse Model of Hind-Limb Ischemia.人尿源干细胞分泌的细胞外囊泡促进后肢缺血小鼠模型中的缺血修复。
Cell Physiol Biochem. 2018;47(3):1181-1192. doi: 10.1159/000490214. Epub 2018 Jul 24.
5
Human urine-derived stem cells protect against renal ischemia/reperfusion injury in a rat model via exosomal which targets .人尿源干细胞通过外泌体靶向 保护大鼠肾缺血/再灌注损伤。
Theranostics. 2020 Jul 25;10(21):9561-9578. doi: 10.7150/thno.42153. eCollection 2020.
6
Exosome secreted from adipose-derived stem cells attenuates diabetic nephropathy by promoting autophagy flux and inhibiting apoptosis in podocyte.脂肪来源干细胞分泌的外泌体通过促进自噬流和抑制足细胞凋亡来减轻糖尿病肾病。
Stem Cell Res Ther. 2019 Mar 15;10(1):95. doi: 10.1186/s13287-019-1177-1.
7
Inhibition of Autophagy in Renal Cells With Human, Urine-derived, Stem-cell Exosomes to Improve Diabetic Nephropathy.用来源于人尿液的干细胞外泌体抑制肾细胞自噬以改善糖尿病肾病。
Altern Ther Health Med. 2023 Nov;29(8):545-551.
8
Exosomes secreted by human-induced pluripotent stem cell-derived mesenchymal stem cells attenuate limb ischemia by promoting angiogenesis in mice.人诱导多能干细胞来源的间充质干细胞分泌的外泌体通过促进小鼠血管生成减轻肢体缺血。
Stem Cell Res Ther. 2015 Apr 10;6(1):10. doi: 10.1186/scrt546.
9
Urine-Derived Stem Cells Facilitate Endogenous Spermatogenesis Restoration of Busulfan-Induced Nonobstructive Azoospermic Mice by Paracrine Exosomes.尿源干细胞通过旁分泌外泌体促进白消安诱导的非梗阻性无精子症小鼠内源性精子发生恢复。
Stem Cells Dev. 2019 Oct 1;28(19):1322-1333. doi: 10.1089/scd.2019.0026. Epub 2019 Sep 9.
10
Exosomal microRNA-16-5p from human urine-derived stem cells ameliorates diabetic nephropathy through protection of podocyte.人尿源干细胞来源的外泌体 microRNA-16-5p 通过保护足细胞改善糖尿病肾病。
J Cell Mol Med. 2021 Dec;25(23):10798-10813. doi: 10.1111/jcmm.14558. Epub 2019 Sep 30.

引用本文的文献

1
Worldwide hotspots and trends in stem cell therapy for kidney disease in the last decade: a bibliometric and visualization analysis from 2015 to 2024.过去十年全球肾脏疾病干细胞治疗的热点与趋势:2015年至2024年的文献计量与可视化分析
Front Immunol. 2025 Jul 21;16:1619291. doi: 10.3389/fimmu.2025.1619291. eCollection 2025.
2
Progress in the application of mesenchymal stem cells to attenuate apoptosis in diabetic kidney disease.间充质干细胞在减轻糖尿病肾病细胞凋亡方面的应用进展
World J Diabetes. 2025 Jun 15;16(6):105711. doi: 10.4239/wjd.v16.i6.105711.
3
Urine-derived stem cells: a sustainable resource for advancing personalized medicine and dental regeneration.

本文引用的文献

1
Glucose Starvation in Cardiomyocytes Enhances Exosome Secretion and Promotes Angiogenesis in Endothelial Cells.心肌细胞中的葡萄糖饥饿增强外泌体分泌并促进内皮细胞血管生成。
PLoS One. 2015 Sep 22;10(9):e0138849. doi: 10.1371/journal.pone.0138849. eCollection 2015.
2
Intravenous Cardiac Stem Cell-Derived Exosomes Ameliorate Cardiac Dysfunction in Doxorubicin Induced Dilated Cardiomyopathy.静脉注射心脏干细胞衍生的外泌体可改善阿霉素诱导的扩张型心肌病的心脏功能障碍。
Stem Cells Int. 2015;2015:960926. doi: 10.1155/2015/960926. Epub 2015 Aug 17.
3
Exosomes secreted by human-induced pluripotent stem cell-derived mesenchymal stem cells attenuate limb ischemia by promoting angiogenesis in mice.
尿液来源的干细胞:推进个性化医疗和牙齿再生的可持续资源。
Front Bioeng Biotechnol. 2025 Apr 28;13:1571066. doi: 10.3389/fbioe.2025.1571066. eCollection 2025.
4
Role of exosomes in pathogenesis, diagnosis, and treatment of diabetic nephropathy.外泌体在糖尿病肾病发病机制、诊断及治疗中的作用
BMC Nephrol. 2025 May 8;26(1):230. doi: 10.1186/s12882-025-04120-4.
5
Emerging roles of exosomes in the diagnosis and treatment of kidney diseases.外泌体在肾脏疾病诊断和治疗中的新作用。
Front Pharmacol. 2025 Apr 16;16:1525314. doi: 10.3389/fphar.2025.1525314. eCollection 2025.
6
Research progress on small extracellular vesicles in diabetic nephropathy.糖尿病肾病中小细胞外囊泡的研究进展
Front Cell Dev Biol. 2025 Mar 5;13:1535249. doi: 10.3389/fcell.2025.1535249. eCollection 2025.
7
Recent advances and future directions in urinary system tissue engineering.泌尿系统组织工程的最新进展与未来方向
Mater Today Bio. 2025 Feb 21;31:101600. doi: 10.1016/j.mtbio.2025.101600. eCollection 2025 Apr.
8
Human spindle-shaped urine-derived stem cell exosomes alleviate severe fatty liver ischemia-reperfusion injury by inhibiting ferroptosis via GPX4.人纺锤形尿液来源干细胞外泌体通过GPX4抑制铁死亡减轻严重脂肪肝缺血再灌注损伤。
Stem Cell Res Ther. 2025 Feb 21;16(1):81. doi: 10.1186/s13287-025-04202-y.
9
Human urine stem cells protect against cyclophosphamide-induced premature ovarian failure by inhibiting SLC1A4-mediated outflux of intracellular serine in ovarian granulosa cells.人尿干细胞通过抑制卵巢颗粒细胞中SLC1A4介导的细胞内丝氨酸外流,预防环磷酰胺诱导的卵巢早衰。
Cell Mol Biol Lett. 2025 Feb 19;30(1):21. doi: 10.1186/s11658-025-00701-1.
10
CD73: agent development potential and its application in diabetes and atherosclerosis.CD73:药物研发潜力及其在糖尿病和动脉粥样硬化中的应用
Front Immunol. 2024 Dec 12;15:1515875. doi: 10.3389/fimmu.2024.1515875. eCollection 2024.
人诱导多能干细胞来源的间充质干细胞分泌的外泌体通过促进小鼠血管生成减轻肢体缺血。
Stem Cell Res Ther. 2015 Apr 10;6(1):10. doi: 10.1186/scrt546.
4
RTN1 mediates progression of kidney disease by inducing ER stress.RTN1通过诱导内质网应激介导肾脏疾病的进展。
Nat Commun. 2015 Jul 31;6:7841. doi: 10.1038/ncomms8841.
5
Exosomes Derived from Human Umbilical Cord Mesenchymal Stem Cells Relieve Acute Myocardial Ischemic Injury.人脐带间充质干细胞来源的外泌体减轻急性心肌缺血损伤。
Stem Cells Int. 2015;2015:761643. doi: 10.1155/2015/761643. Epub 2015 May 27.
6
Human endothelial colony-forming cells protect against acute kidney injury: role of exosomes.人内皮祖细胞对急性肾损伤具有保护作用:外泌体的作用
Am J Pathol. 2015 Aug;185(8):2309-23. doi: 10.1016/j.ajpath.2015.04.010. Epub 2015 Jun 12.
7
Exosomes secreted from GATA-4 overexpressing mesenchymal stem cells serve as a reservoir of anti-apoptotic microRNAs for cardioprotection.过表达GATA-4的间充质干细胞分泌的外泌体作为抗凋亡微小RNA的储存库发挥心脏保护作用。
Int J Cardiol. 2015 Mar 1;182:349-60. doi: 10.1016/j.ijcard.2014.12.043. Epub 2014 Dec 23.
8
Human urine-derived stem cells in combination with polycaprolactone/gelatin nanofibrous membranes enhance wound healing by promoting angiogenesis.人尿液来源干细胞与聚己内酯/明胶纳米纤维膜联合使用可通过促进血管生成来增强伤口愈合。
J Transl Med. 2014 Oct 2;12:274. doi: 10.1186/s12967-014-0274-2.
9
Exosomes derived from mesenchymal stem cells.源自间充质干细胞的外泌体。
Int J Mol Sci. 2014 Mar 7;15(3):4142-57. doi: 10.3390/ijms15034142.
10
Biological characteristics of human-urine-derived stem cells: potential for cell-based therapy in neurology.人尿源干细胞的生物学特性:神经学中基于细胞治疗的潜力。
Tissue Eng Part A. 2014 Jul;20(13-14):1794-806. doi: 10.1089/ten.TEA.2013.0584. Epub 2014 May 19.