Suppr超能文献

树鼩(中缅树鼩)戊型肝炎病毒感染的特征

Characterization of hepatitis E virus infection in tree shrew (Tupaia belangeri chinensis).

作者信息

Yu Wenhai, Yang Chenchen, Bi Yanhong, Long Feiyan, Li Yunlong, Wang Jue, Huang Fen

机构信息

Medical Faculty, Kunming University of Science and Technology, Kunming, China.

Institute of Medical Biology, Chinese Academy of Medical Sciences and Peking Union Medical College, Kunming, China.

出版信息

BMC Infect Dis. 2016 Feb 16;16:80. doi: 10.1186/s12879-016-1418-1.

Abstract

BACKGROUND

Hepatitis E virus (HEV) is a major cause of hepatitis in developing countries and poses a threat to public health worldwide. Tree shrew (Tupaia belangeri chinensis) is a useful animal model in studies on hepatitis viruses, such as hepatitis B and C viruses. However, the use of this animal model for HEV research is yet to be developed.

METHODS

Tree shrews were intravenously (IV) injected with swine genotype 4 HEV or infected by contact-exposure to IV infected tree shrews. RT-nPCR was performed to detect HEV RNA in the feces, tissues, and blood. HEV capsid protein in the different tissues was detected by Western blot and estimated by quantitative RT-PCR. Anti-HEV antibodies were determined by ELISA. Liver damages were evaluated by histopathologic examination and analysis of liver-specific enzymes activities.

RESULTS

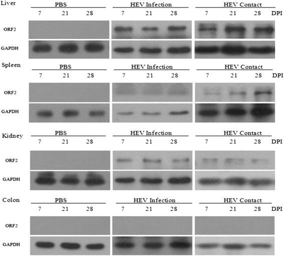
Both negative and positive strands of HEV RNA were detected in the feces of the HEV-infected or contact-exposed tree shrews 3-4 days post-inoculation. HEV RNA was detectable in the liver, spleen, kidneys, and bile. Virusemia developed in all the HEV-infected tree shrews. HEV capsid protein was expressed in the liver, spleen, and kidneys. The histological examination and analysis of liver-specific enzymes activities showed that HEV caused acute liver lesions in the tree shrews. Meanwhile, the infected tree shrews showed positive IgG and IgM antibodies.

CONCLUSIONS

Tree shrews are susceptible to HEV and may be useful animal models for HEV experimental infection studies on pathogenesis or preclinical drug development.

摘要

背景

戊型肝炎病毒(HEV)是发展中国家肝炎的主要病因,对全球公共卫生构成威胁。树鼩(Tupaia belangeri chinensis)是研究乙型和丙型肝炎病毒等肝炎病毒的有用动物模型。然而,这种动物模型在戊型肝炎病毒研究中的应用尚未得到开发。

方法

给树鼩静脉注射猪4型戊型肝炎病毒,或通过接触感染静脉注射感染的树鼩使其感染。采用逆转录巢式聚合酶链反应(RT-nPCR)检测粪便、组织和血液中的戊型肝炎病毒RNA。通过蛋白质免疫印迹法检测不同组织中的戊型肝炎病毒衣壳蛋白,并通过定量逆转录聚合酶链反应进行评估。采用酶联免疫吸附测定法(ELISA)测定抗戊型肝炎病毒抗体。通过组织病理学检查和肝脏特异性酶活性分析评估肝脏损伤。

结果

接种后3 - 4天,在戊型肝炎病毒感染或接触暴露的树鼩粪便中检测到戊型肝炎病毒RNA的正链和负链。在肝脏、脾脏、肾脏和胆汁中可检测到戊型肝炎病毒RNA。所有感染戊型肝炎病毒的树鼩均出现病毒血症。戊型肝炎病毒衣壳蛋白在肝脏、脾脏和肾脏中表达。肝脏特异性酶活性的组织学检查和分析表明,戊型肝炎病毒在树鼩中引起急性肝损伤。同时,感染的树鼩显示IgG和IgM抗体呈阳性。

结论

树鼩对戊型肝炎病毒易感,可能是用于戊型肝炎病毒发病机制实验感染研究或临床前药物开发的有用动物模型。

https://cdn.ncbi.nlm.nih.gov/pmc/blobs/aa17/4754999/79f98aa0d9a4/12879_2016_1418_Fig1_HTML.jpg

文献AI研究员

20分钟写一篇综述,助力文献阅读效率提升50倍。

立即体验

用中文搜PubMed

大模型驱动的PubMed中文搜索引擎

马上搜索

文档翻译

学术文献翻译模型,支持多种主流文档格式。

立即体验