Suppr超能文献

CEP215-HSET复合物将中心体与纺锤极相连,并在癌症中驱动中心体聚集。

A CEP215-HSET complex links centrosomes with spindle poles and drives centrosome clustering in cancer.

作者信息

Chavali Pavithra L, Chandrasekaran Gayathri, Barr Alexis R, Tátrai Péter, Taylor Chris, Papachristou Evaggelia K, Woods C Geoffrey, Chavali Sreenivas, Gergely Fanni

机构信息

Cancer Research UK Cambridge Institute, Li Ka Shing Centre, University of Cambridge, Robinson Way, Cambridge CB2 0RE, UK.

Department of Medical Genetics, Cambridge Institute for Medical Research, University of Cambridge, Hills Road, Cambridge CB2 0XY, UK.

出版信息

Nat Commun. 2016 Mar 18;7:11005. doi: 10.1038/ncomms11005.

Abstract

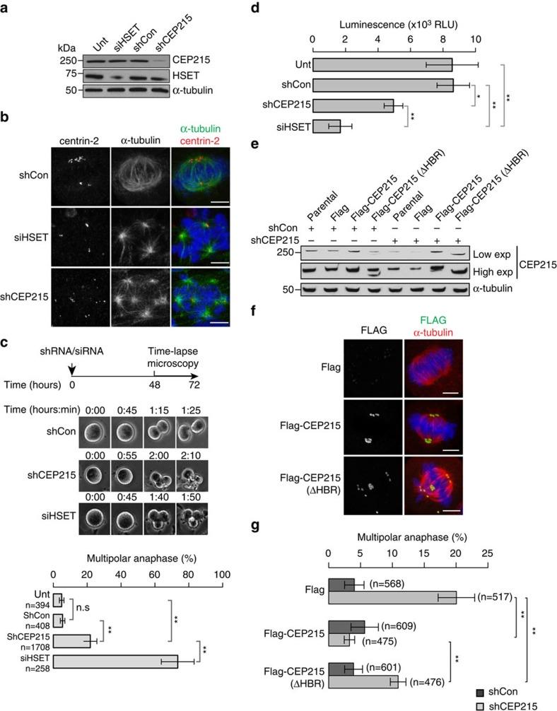
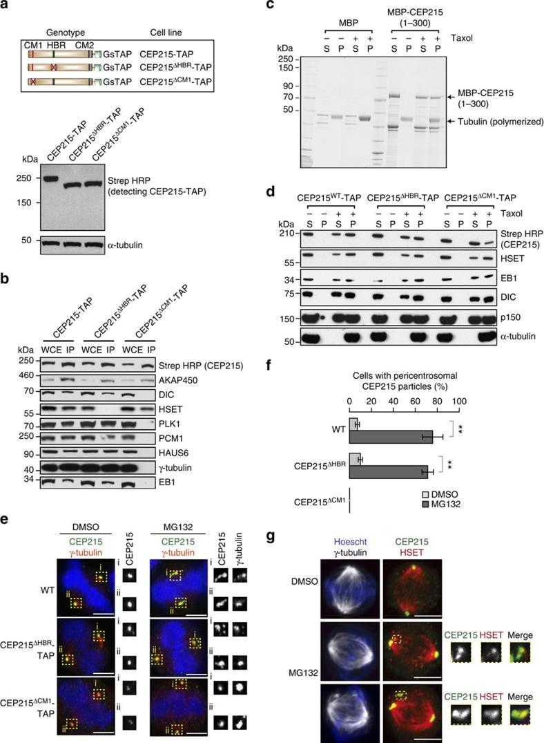
Numerical centrosome aberrations underlie certain developmental abnormalities and may promote cancer. A cell maintains normal centrosome numbers by coupling centrosome duplication with segregation, which is achieved through sustained association of each centrosome with a mitotic spindle pole. Although the microcephaly- and primordial dwarfism-linked centrosomal protein CEP215 has been implicated in this process, the molecular mechanism responsible remains unclear. Here, using proteomic profiling, we identify the minus end-directed microtubule motor protein HSET as a direct binding partner of CEP215. Targeted deletion of the HSET-binding domain of CEP215 in vertebrate cells causes centrosome detachment and results in HSET depletion at centrosomes, a phenotype also observed in CEP215-deficient patient-derived cells. Moreover, in cancer cells with centrosome amplification, the CEP215-HSET complex promotes the clustering of extra centrosomes into pseudo-bipolar spindles, thereby ensuring viable cell division. Therefore, stabilization of the centrosome-spindle pole interface by the CEP215-HSET complex could promote survival of cancer cells containing supernumerary centrosomes.

摘要

中心体数量异常是某些发育异常的基础,并可能促进癌症发生。细胞通过将中心体复制与分离相耦合来维持正常的中心体数量,这是通过每个中心体与有丝分裂纺锤体极的持续关联来实现的。尽管与小头畸形和原始侏儒症相关的中心体蛋白CEP215参与了这一过程,但其具体分子机制仍不清楚。在这里,我们通过蛋白质组学分析,确定了负端定向微管运动蛋白HSET是CEP215的直接结合伴侣。在脊椎动物细胞中靶向删除CEP215的HSET结合结构域会导致中心体脱离,并导致中心体处的HSET缺失,这一表型在CEP215缺陷的患者来源细胞中也有观察到。此外,在中心体扩增的癌细胞中,CEP215-HSET复合物促进额外中心体聚集成假双极纺锤体,从而确保细胞进行可行的分裂。因此,CEP215-HSET复合物对中心体-纺锤体极界面的稳定作用可能促进含有多余中心体的癌细胞存活。

https://cdn.ncbi.nlm.nih.gov/pmc/blobs/d9cc/4802056/20405bd1b47f/ncomms11005-f1.jpg

文献AI研究员

20分钟写一篇综述,助力文献阅读效率提升50倍。

立即体验

用中文搜PubMed

大模型驱动的PubMed中文搜索引擎

马上搜索

文档翻译

学术文献翻译模型,支持多种主流文档格式。

立即体验