• 文献检索
  • 文档翻译
  • 深度研究
  • 学术资讯
  • Suppr Zotero 插件Zotero 插件
  • 邀请有礼
  • 套餐&价格
  • 历史记录
应用&插件
Suppr Zotero 插件Zotero 插件浏览器插件Mac 客户端Windows 客户端微信小程序
定价
高级版会员购买积分包购买API积分包
服务
文献检索文档翻译深度研究API 文档MCP 服务
关于我们
关于 Suppr公司介绍联系我们用户协议隐私条款
关注我们

Suppr 超能文献

核心技术专利:CN118964589B侵权必究
粤ICP备2023148730 号-1Suppr @ 2026

文献检索

告别复杂PubMed语法,用中文像聊天一样搜索,搜遍4000万医学文献。AI智能推荐,让科研检索更轻松。

立即免费搜索

文件翻译

保留排版,准确专业,支持PDF/Word/PPT等文件格式,支持 12+语言互译。

免费翻译文档

深度研究

AI帮你快速写综述,25分钟生成高质量综述,智能提取关键信息,辅助科研写作。

立即免费体验

异槲皮苷通过PI3K/Akt/GSK3β信号通路抑制过氧化氢诱导的EA.hy926细胞凋亡。

Isoquercitrin Inhibits Hydrogen Peroxide-Induced Apoptosis of EA.hy926 Cells via the PI3K/Akt/GSK3β Signaling Pathway.

作者信息

Zhu Meixia, Li Jiankuan, Wang Ke, Hao Xuliang, Ge Rui, Li Qingshan

机构信息

Department of Pharmacy Shanxi, College of Traditional Chinese Medicine, No. 121 University Avenue, Taiyuan 030619, China.

Shanxi Province Academy of Traditional Chinese Medicine, No. 46 Bingzhou West Road, Taiyuan 030012, China.

出版信息

Molecules. 2016 Mar 21;21(3):356. doi: 10.3390/molecules21030356.

DOI:10.3390/molecules21030356
PMID:27007368
原文链接:https://pmc.ncbi.nlm.nih.gov/articles/PMC6273854/
Abstract

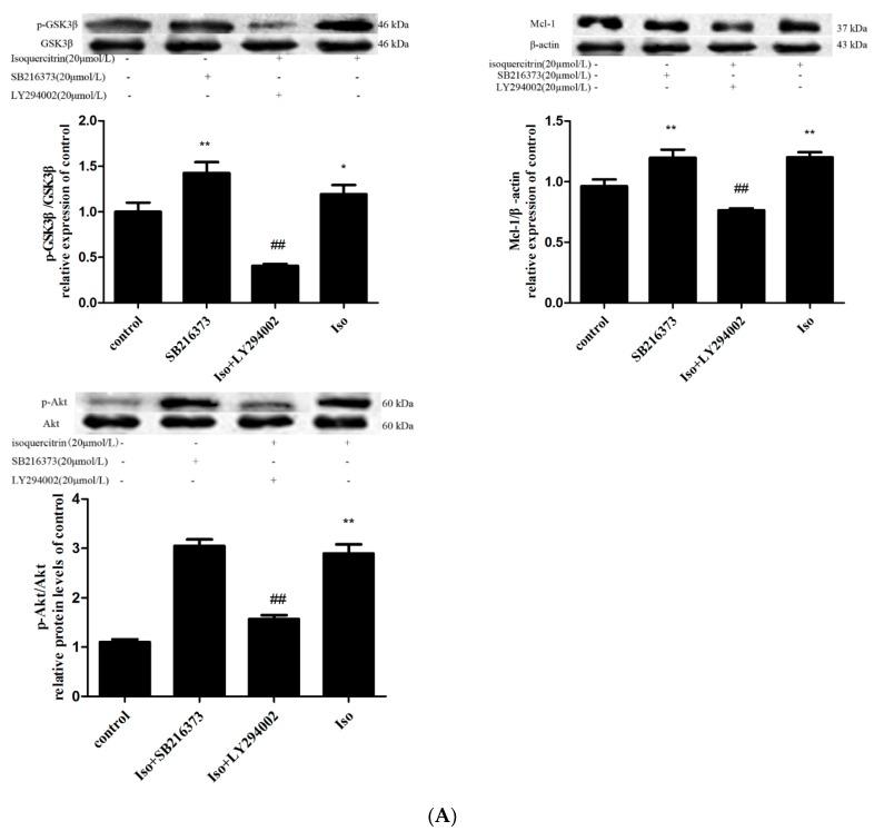
Oxidative stress plays a critical role in endothelial injury and the pathogenesis of diverse cardiovascular diseases, including atherosclerosis. Isoquercitrin (quercetin-3-glucoside), a flavonoid distributed widely in plants, exhibits many biological activities, including anti-allergic, anti-viral, anti-inflammatory, and anti-oxidative effects. In the present study, the inhibitory effect of isoquercitrin on H2O2-induced apoptosis of EA.hy926 cells was evaluated. MTT assays showed that isoquercitrin significantly inhibited H2O2-induced loss of viability in EA.hy926 cells. Hoechst33342/PI and Annexin V-FITC/PI fluorescent double staining indicated that isoquercitrin inhibited H2O2-induced apoptosis of EA.hy926 cells. Western blotting demonstrated that isoquercitrin prevented H2O2-induced increases in cleaved caspase-9 and cleaved caspase-3 expression, while increasing expression of anti-apoptotic protein Mcl-1. Additionally, isoquercitrin significantly increased the expression of p-Akt and p-GSK3β in a dose-dependent manner in EA.hy926 cells. LY294002, a PI3K/Akt inhibitor, inhibited isoquercitrin-induced GSK3β phosphorylation and increase of Mcl-1 expression, which indicated that regulation of isoquercitrin on Mcl-1 expression was likely related to the modulation of Akt activation. These results demonstrated that the anti-apoptotic effect of isoquercitrin on H2O2-induced EA.hy926 cells was likely associated with the regulation of isoquercitrin on Akt/GSK3β signaling pathway and that isoquercitrin could be used clinically to interfere with the progression of endothelial injury-associated cardiovascular disease.

摘要

氧化应激在血管内皮损伤及包括动脉粥样硬化在内的多种心血管疾病的发病机制中起关键作用。异槲皮苷(槲皮素 - 3 - 葡萄糖苷)是一种广泛分布于植物中的黄酮类化合物,具有多种生物学活性,包括抗过敏、抗病毒、抗炎和抗氧化作用。在本研究中,评估了异槲皮苷对H2O2诱导的EA.hy926细胞凋亡的抑制作用。MTT分析表明,异槲皮苷显著抑制H2O2诱导的EA.hy926细胞活力丧失。Hoechst33342/PI和Annexin V - FITC/PI荧光双染色表明,异槲皮苷抑制H2O2诱导的EA.hy926细胞凋亡。蛋白质免疫印迹法显示,异槲皮苷可阻止H2O2诱导的裂解型半胱天冬酶 - 9和裂解型半胱天冬酶 - 3表达增加,同时增加抗凋亡蛋白Mcl - 1的表达。此外,异槲皮苷在EA.hy926细胞中以剂量依赖性方式显著增加p - Akt和p - GSK3β的表达。PI3K/Akt抑制剂LY294002抑制了异槲皮苷诱导的GSK3β磷酸化和Mcl - 1表达增加,这表明异槲皮苷对Mcl - 1表达的调节可能与Akt激活的调节有关。这些结果表明,异槲皮苷对H2O2诱导的EA.hy926细胞的抗凋亡作用可能与异槲皮苷对Akt/GSK3β信号通路的调节有关,并且异槲皮苷可在临床上用于干预与血管内皮损伤相关的心血管疾病的进展。

https://cdn.ncbi.nlm.nih.gov/pmc/blobs/0b1d/6273854/d358098df14e/molecules-21-00356-g005a.jpg
https://cdn.ncbi.nlm.nih.gov/pmc/blobs/0b1d/6273854/674a2b3c95ed/molecules-21-00356-g001.jpg
https://cdn.ncbi.nlm.nih.gov/pmc/blobs/0b1d/6273854/3a3cb26160e3/molecules-21-00356-g002.jpg
https://cdn.ncbi.nlm.nih.gov/pmc/blobs/0b1d/6273854/a96370166457/molecules-21-00356-g003a.jpg
https://cdn.ncbi.nlm.nih.gov/pmc/blobs/0b1d/6273854/0131dbbf1295/molecules-21-00356-g004a.jpg
https://cdn.ncbi.nlm.nih.gov/pmc/blobs/0b1d/6273854/d358098df14e/molecules-21-00356-g005a.jpg
https://cdn.ncbi.nlm.nih.gov/pmc/blobs/0b1d/6273854/674a2b3c95ed/molecules-21-00356-g001.jpg
https://cdn.ncbi.nlm.nih.gov/pmc/blobs/0b1d/6273854/3a3cb26160e3/molecules-21-00356-g002.jpg
https://cdn.ncbi.nlm.nih.gov/pmc/blobs/0b1d/6273854/a96370166457/molecules-21-00356-g003a.jpg
https://cdn.ncbi.nlm.nih.gov/pmc/blobs/0b1d/6273854/0131dbbf1295/molecules-21-00356-g004a.jpg
https://cdn.ncbi.nlm.nih.gov/pmc/blobs/0b1d/6273854/d358098df14e/molecules-21-00356-g005a.jpg

相似文献

1
Isoquercitrin Inhibits Hydrogen Peroxide-Induced Apoptosis of EA.hy926 Cells via the PI3K/Akt/GSK3β Signaling Pathway.异槲皮苷通过PI3K/Akt/GSK3β信号通路抑制过氧化氢诱导的EA.hy926细胞凋亡。
Molecules. 2016 Mar 21;21(3):356. doi: 10.3390/molecules21030356.
2
Protective Effect of 2,4',5'-Trihydroxyl-5,2'-dibromo diphenylmethanone, a New Halophenol, against Hydrogen Peroxide-Induced EA.hy926 Cells Injury.新型卤代酚2,4',5'-三羟基-5,2'-二溴二苯甲酮对过氧化氢诱导的EA.hy926细胞损伤的保护作用
Molecules. 2015 Aug 5;20(8):14254-64. doi: 10.3390/molecules200814254.
3
Protective effects of farrerol against hydrogen-peroxide-induced apoptosis in human endothelium-derived EA.hy926 cells.法呢醇对人内皮细胞 EA.hy926 过氧化氢诱导凋亡的保护作用。
Can J Physiol Pharmacol. 2013 Sep;91(9):733-40. doi: 10.1139/cjpp-2013-0008. Epub 2013 Apr 22.
4
25-Hydroxyl-protopanaxatriol protects against HO-induced H9c2 cardiomyocytes injury via PI3K/Akt pathway and apoptotic protein down-regulation.25-羟基原人参三醇通过 PI3K/Akt 通路和下调凋亡蛋白对 HO 诱导的 H9c2 心肌细胞损伤起保护作用。
Biomed Pharmacother. 2018 Mar;99:33-42. doi: 10.1016/j.biopha.2018.01.039. Epub 2018 Jan 8.
5
Vaccarin attenuates the human EA.hy926 endothelial cell oxidative stress injury through inhibition of Notch signaling.娃儿藤碱通过抑制Notch信号通路减轻人EA.hy926内皮细胞氧化应激损伤。
Int J Mol Med. 2015 Jan;35(1):135-42. doi: 10.3892/ijmm.2014.1977. Epub 2014 Oct 23.
6
Tanshinone IIA reduces apoptosis induced by hydrogen peroxide in the human endothelium-derived EA.hy926 cells.丹参酮 IIA 可减少人内皮细胞源性 EA.hy926 细胞过氧化氢诱导的细胞凋亡。
J Ethnopharmacol. 2012 Aug 30;143(1):100-8. doi: 10.1016/j.jep.2012.06.007. Epub 2012 Jun 28.
7
Qiliqiangxin Attenuates Oxidative Stress-Induced Mitochondrion-Dependent Apoptosis in Cardiomyocytes via PI3K/AKT/GSK3β Signaling Pathway.芪苈强心通过 PI3K/AKT/GSK3β 信号通路减轻氧化应激诱导的心肌细胞线粒体依赖性凋亡。
Biol Pharm Bull. 2019 Aug 1;42(8):1310-1321. doi: 10.1248/bpb.b19-00050. Epub 2019 May 28.
8
iTRAQ-based quantitative proteomic analysis of the anti-apoptotic effect of hyperin, which is mediated by Mcl-1 and Bid, in H2O2-injured EA.hy926 cells.基于iTRAQ的金丝桃苷抗凋亡作用的定量蛋白质组学分析,该作用由Mcl-1和Bid介导,在过氧化氢损伤的EA.hy926细胞中。
Int J Mol Med. 2016 Apr;37(4):1083-90. doi: 10.3892/ijmm.2016.2510. Epub 2016 Feb 29.
9
FAM3A Protects HT22 Cells Against Hydrogen Peroxide-Induced Oxidative Stress Through Activation of PI3K/Akt but not MEK/ERK Pathway.FAM3A通过激活PI3K/Akt而非MEK/ERK信号通路保护HT22细胞免受过氧化氢诱导的氧化应激。
Cell Physiol Biochem. 2015;37(4):1431-41. doi: 10.1159/000438512. Epub 2015 Oct 23.
10
Farrerol regulates occludin expression in hydrogen peroxide-induced EA.hy926 cells by modulating ERK1/2 activity.法呢醇通过调节 ERK1/2 活性调节过氧化氢诱导的 EA.hy926 细胞中闭合蛋白的表达。
Eur J Pharmacol. 2014 Jul 5;734:9-14. doi: 10.1016/j.ejphar.2014.03.054. Epub 2014 Apr 13.

引用本文的文献

1
SOD-1/2 Involvement in the Antioxidant Molecular Events Occurring upon Complex Magnetic Fields Application in an HO Oxidative Stress-Induced Endothelial Cell Model.超氧化物歧化酶-1/2参与复杂磁场作用于HO氧化应激诱导的内皮细胞模型时发生的抗氧化分子事件。
Int J Mol Sci. 2025 Sep 4;26(17):8600. doi: 10.3390/ijms26178600.
2
Carbon Nanodots Inhibit Tumor Necrosis Factor-α-Induced Endothelial Inflammation through Scavenging Hydrogen Peroxide and Upregulating Antioxidant Gene Expression in EA.hy926 Endothelial Cells.碳纳米点通过清除过氧化氢和上调EA.hy926内皮细胞中的抗氧化基因表达来抑制肿瘤坏死因子-α诱导的内皮炎症。
Antioxidants (Basel). 2024 Feb 10;13(2):224. doi: 10.3390/antiox13020224.
3

本文引用的文献

1
Adaptive flexibility of enzymatic antioxidants SOD, APX and CAT to high light stress: The clonal perennial monocot Iris pumila as a study case.酶抗氧化剂 SOD、APX 和 CAT 对高光胁迫的适应性灵活性:以克隆多年生单子叶植物蝴蝶花为研究案例。
Plant Physiol Biochem. 2016 Mar;100:166-173. doi: 10.1016/j.plaphy.2016.01.011. Epub 2016 Jan 19.
2
Polyphenols, antioxidants, and antimutagenic effects of Copaifera langsdorffii fruit.朗氏南美油桃木果实的多酚、抗氧化剂及抗诱变作用
Food Chem. 2016 Apr 15;197 Pt B:1153-9. doi: 10.1016/j.foodchem.2015.11.093. Epub 2015 Nov 18.
3
Endothelial dysfunction and preeclampsia: role of oxidative stress.
Deciphering the chemical profile and pharmacological mechanism of Jinlingzi powder against bile reflux gastritis using ultra-high performance liquid chromatography coupled with Q exactive focus mass spectrometry, network pharmacology, and molecular docking.
采用超高效液相色谱- Q exactive 聚焦质谱联用、网络药理学和分子对接技术解析金陵子散治疗胆汁反流性胃炎的化学成分谱及作用机制。
J Tradit Chin Med. 2023 Oct;43(6):1209-1218. doi: 10.19852/j.cnki.jtcm.20230908.002.
4
Water extract of cacumen platycladi promotes hair growth through the Akt/GSK3β/β-catenin signaling pathway.侧柏叶水提取物通过Akt/GSK3β/β-连环蛋白信号通路促进头发生长。
Front Pharmacol. 2023 Feb 20;14:1038039. doi: 10.3389/fphar.2023.1038039. eCollection 2023.
5
Protection against HO-evoked toxicity in HT22 hippocampal neuronal cells by geissoschizine methyl ether via inhibiting ERK pathway.盖苏斯嗪甲醚通过抑制ERK途径对HT22海马神经元细胞中HO诱发的毒性具有保护作用。
Transl Neurosci. 2022 Oct 10;13(1):369-378. doi: 10.1515/tnsci-2022-0243. eCollection 2022 Jan 1.
6
Antioxidative effect of dietary flavonoid isoquercitrin on human ovarian granulosa cells HGL5 in vitro.膳食类黄酮异槲皮苷对体外人卵巢颗粒细胞 HGL5 的抗氧化作用。
Physiol Res. 2021 Nov 29;70(5):745-754. doi: 10.33549/physiolres.934692. Epub 2021 Sep 10.
7
Soluble epoxide hydrolase () silencing attenuates the hydrogen peroxide-induced oxidative damage in IEC-6 cells.可溶性环氧化物水解酶()沉默可减轻过氧化氢诱导的IEC-6细胞氧化损伤。 (注:原文括号处内容缺失)
Arch Med Sci. 2019 Aug 22;17(4):1075-1086. doi: 10.5114/aoms.2019.87137. eCollection 2021.
8
Cytoprotection against Oxidative Stress by Methylnissolin-3--β-d-glucopyranoside from Mainly via the Activation of the Nrf2/HO-1 Pathway.通过激活 Nrf2/HO-1 通路,主要从甲基莲心碱-3-β-d-吡喃葡萄糖苷中获得抗氧化应激的细胞保护作用。
Molecules. 2021 Jun 24;26(13):3852. doi: 10.3390/molecules26133852.
9
Bidirectional differentiation of BMSCs induced by a biomimetic procallus based on a gelatin-reduced graphene oxide reinforced hydrogel for rapid bone regeneration.基于明胶-还原氧化石墨烯增强水凝胶的仿生骨痂诱导骨髓间充质干细胞双向分化以实现快速骨再生
Bioact Mater. 2020 Dec 31;6(7):2011-2028. doi: 10.1016/j.bioactmat.2020.12.003. eCollection 2021 Jul.
10
Isoquercitrin Ameliorates Cisplatin-Induced Nephrotoxicity the Inhibition of Apoptosis, Inflammation, and Oxidative Stress.异槲皮苷改善顺铂诱导的肾毒性:对细胞凋亡、炎症和氧化应激的抑制作用
Front Pharmacol. 2020 Dec 18;11:599416. doi: 10.3389/fphar.2020.599416. eCollection 2020.
内皮功能障碍与子痫前期:氧化应激的作用。
Front Physiol. 2014 Oct 10;5:372. doi: 10.3389/fphys.2014.00372. eCollection 2014.
4
Ruthenium(II) polypyridyl complexes induce BEL-7402 cell apoptosis by ROS-mediated mitochondrial pathway.钌(II)多吡啶配合物通过活性氧介导的线粒体途径诱导BEL-7402细胞凋亡。
J Inorg Biochem. 2014 Dec;141:170-179. doi: 10.1016/j.jinorgbio.2014.09.001. Epub 2014 Sep 16.
5
Antioxidant and cytoprotective properties of partridgeberry polyphenols.鹧鸪莓多酚的抗氧化和细胞保护特性。
Food Chem. 2015 Feb 1;168:595-605. doi: 10.1016/j.foodchem.2014.07.103. Epub 2014 Jul 30.
6
Cardiovascular complications of sleep apnea: role of oxidative stress.睡眠呼吸暂停的心血管并发症:氧化应激的作用。
Oxid Med Cell Longev. 2014;2014:985258. doi: 10.1155/2014/985258. Epub 2014 Mar 6.
7
GSK-3 - at the crossroads of cell death and survival.糖原合成酶激酶-3——处于细胞死亡与存活的交叉点。
J Cell Sci. 2014 Apr 1;127(Pt 7):1369-78. doi: 10.1242/jcs.138057.
8
The effects of bioactive compounds from plant foods on mitochondrial function: a focus on apoptotic mechanisms.植物性食物中的生物活性化合物对线粒体功能的影响:聚焦凋亡机制。
Food Chem Toxicol. 2014 Jun;68:154-82. doi: 10.1016/j.fct.2014.03.017. Epub 2014 Mar 26.
9
Isoquercitrin: pharmacology, toxicology, and metabolism.异槲皮苷:药理学、毒理学及代谢
Food Chem Toxicol. 2014 Jun;68:267-82. doi: 10.1016/j.fct.2014.03.018. Epub 2014 Mar 27.
10
Quercetin and quercetin 3-O-glycosides from Bauhinia longifolia (Bong.) Steud. show anti-Mayaro virus activity.从长叶猪屎豆(Bong.)Steud. 中提取的槲皮素和槲皮素 3-O-糖苷具有抗马雅罗病毒活性。
Parasit Vectors. 2014 Mar 28;7:130. doi: 10.1186/1756-3305-7-130.