Suppr超能文献

余甘子果实提取物对草酸钾诱导的痛风大鼠模型的抗痛风活性评价

Evaluation of antigout activity of Phyllanthus emblica fruit extracts on potassium oxonate-induced gout rat model.

作者信息

Sarvaiya Vaidehi N, Sadariya Kamlesh A, Pancha Prakash G, Thaker Aswin M, Patel Aashish C, Prajapati Ankit S

机构信息

Department of Veterinary Pharmacology and Toxicology, College of Veterinary Science and Animal Husbandry, Anand Agricultural University, Anand, Gujarat, India.

Department of Animal Genetics and Breeding, College of Veterinary Science and Animal Husbandry, Anand Agricultural University, Anand, Gujarat, India.

出版信息

Vet World. 2015 Oct;8(10):1230-6. doi: 10.14202/vetworld.2015.1230-1236. Epub 2015 Oct 23.

Abstract

AIM

The present study has been conducted to evaluate antigout activity of aqueous and alcoholic extracts of Phyllanthus emblica fruits following its 28 days repeated oral administration on potassium oxonate-induced gout rat model.

MATERIALS AND METHODS

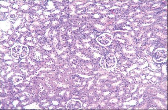
The study was conducted on 42 male Sprague-Dawely rats dividing them in seven groups having six rats in each group. Groups I, II, and III served as vehicle control group, gout control group, and standard treatment control group, respectively. Rats of all the groups except vehicle control group were administered potassium oxonate at 250 mg/kg (IP), throughout the study period (28 days) for induction of gout. Groups IV and V received aqueous extract of P. emblica at 200 and 400 mg/kg, and Groups VI and VII received alcoholic extract of P. emblica at 200 and 400 mg/kg (daily oral for 28 days). At the end of study, all the rats were subjected to blood collection; blood and serum sample were analyzed for hematological and biochemical parameters, respectively. After collection of blood samples on the 29(th) day, all the rats were sacrificed and subjected to post mortem examination to determine the presence or absence of gross and histopathological lesions in kidney tissues.

RESULTS

At the end of study, rats of gout control group showed increase in platelets counts, serum creatinine, uric acid, blood urea nitrogen (BUN), and xanthine oxidase (XO) enzyme level along with alterations in kidney tissues as compared to vehicle control group. Gouty rats treated with aqueous and alcoholic extracts of P. emblica at 200 and 400 mg/kg body weight and standard treatment allopurinol at 5 mg/kg body weight showed reduction in platelets counts, serum creatinine, uric acid, BUN, and XO enzyme level along with significant improvements in histological structure of kidney as compared to rats of gout control group.

CONCLUSION

Oral administration of aqueous and alcoholic extracts of P. emblica fruits for 28 days has shown protection against gout in dose-dependent manner in rats.

摘要

目的

本研究旨在评估余甘子果实水提取物和醇提取物在草酸钾诱导的痛风大鼠模型上连续28天重复口服给药后的抗痛风活性。

材料与方法

本研究选用42只雄性Sprague-Dawely大鼠,分为7组,每组6只。第一组、第二组和第三组分别作为溶媒对照组、痛风对照组和标准治疗对照组。除溶媒对照组外,所有组的大鼠在整个研究期间(28天)均腹腔注射250mg/kg草酸钾以诱导痛风。第四组和第五组分别给予200mg/kg和400mg/kg余甘子水提取物,第六组和第七组分别给予200mg/kg和400mg/kg余甘子醇提取物(每日口服,共28天)。研究结束时,所有大鼠进行采血;血液和血清样本分别用于分析血液学和生化参数。在第29天采集血样后,所有大鼠处死并进行尸检,以确定肾组织中是否存在大体和组织病理学病变。

结果

研究结束时,与溶媒对照组相比,痛风对照组大鼠的血小板计数、血清肌酐、尿酸、血尿素氮(BUN)和黄嘌呤氧化酶(XO)水平升高,同时肾组织出现改变。与痛风对照组大鼠相比,给予200mg/kg和400mg/kg体重的余甘子水提取物和醇提取物以及5mg/kg体重的标准治疗药物别嘌呤醇治疗的痛风大鼠,其血小板计数、血清肌酐、尿酸、BUN和XO水平降低,肾组织学结构显著改善。

结论

余甘子果实水提取物和醇提取物连续28天口服给药对大鼠痛风具有剂量依赖性保护作用。

https://cdn.ncbi.nlm.nih.gov/pmc/blobs/b498/4774661/b9814551cd9c/VetWorld-8-1230-g001.jpg

文献AI研究员

20分钟写一篇综述,助力文献阅读效率提升50倍。

立即体验

用中文搜PubMed

大模型驱动的PubMed中文搜索引擎

马上搜索

文档翻译

学术文献翻译模型,支持多种主流文档格式。

立即体验