Suppr超能文献

药物再利用筛选确定强心苷为转化生长因子-β诱导的癌症相关成纤维细胞分化的抑制剂。

Repurposed drug screen identifies cardiac glycosides as inhibitors of TGF-β-induced cancer-associated fibroblast differentiation.

作者信息

Coleman David T, Gray Alana L, Stephens Charles A, Scott Matthew L, Cardelli James A

机构信息

Louisiana State University Health Sciences Center, Feist-Weiller Cancer Center, Shreveport, LA, USA.

出版信息

Oncotarget. 2016 May 31;7(22):32200-9. doi: 10.18632/oncotarget.8609.

Abstract

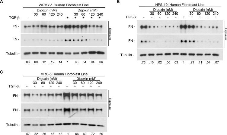
The tumor microenvironment, primarily composed of myofibroblasts, directly influences the progression of solid tumors. Through secretion of growth factors, extracellular matrix deposition, and contractile mechanotransduction, myofibroblasts, or cancer-associated fibroblasts (CAFs), support angiogenesis and cancer cell invasion and metastasis. The differentiation of fibroblasts to CAFs is primarily induced by TGF-β from cancer cells. To discover agents capable of blocking CAF differentiation, we developed a high content immunofluorescence-based assay to screen repurposed chemical libraries utilizing fibronectin expression as an initial CAF marker. Screening of the Prestwick chemical library and NIH Clinical Collection repurposed drug library, totaling over 1700 compounds, identified cardiac glycosides as particularly potent CAF blocking agents. Cardiac glycosides are traditionally used to regulate intracellular calcium by inhibiting the Na+/K+ ATPase to control cardiac contractility. Herein, we report that multiple cardiac glycoside compounds, including digoxin, are able to inhibit TGF-β-induced fibronectin expression at low nanomolar concentrations without undesirable cell toxicity. We found this inhibition to hold true for multiple fibroblast cell lines. Using real-time qPCR, we determined that digoxin prevented induction of multiple CAF markers. Furthermore, we report that digoxin is able to prevent TGF-β-induced fibroblast contraction of extracellular matrix, a major phenotypic consequence of CAF differentiation. Assessing the mechanism of inhibition, we found digoxin reduced SMAD promoter activity downstream of TGF-β, and we provide data that the effect is through inhibition of its known target, the Na+/K+ ATPase. These findings support a critical role for calcium signaling during CAF differentiation and highlight a novel, repurposable modality for cancer therapy.

摘要

肿瘤微环境主要由肌成纤维细胞组成,直接影响实体瘤的进展。通过分泌生长因子、细胞外基质沉积和收缩性机械转导,肌成纤维细胞或癌症相关成纤维细胞(CAFs)支持血管生成以及癌细胞的侵袭和转移。成纤维细胞向CAFs的分化主要由癌细胞分泌的转化生长因子-β(TGF-β)诱导。为了发现能够阻断CAF分化的药物,我们开发了一种基于高内涵免疫荧光的检测方法,以利用纤连蛋白表达作为初始CAF标志物来筛选重新利用的化学文库。对普雷斯蒂克化学文库和美国国立卫生研究院临床收集重新利用药物文库(总计超过1700种化合物)进行筛选,确定强心苷是特别有效的CAF阻断剂。强心苷传统上用于通过抑制钠钾ATP酶来调节细胞内钙,从而控制心脏收缩力。在此,我们报告多种强心苷化合物,包括地高辛,能够在低纳摩尔浓度下抑制TGF-β诱导的纤连蛋白表达,且无不良细胞毒性。我们发现这种抑制作用对多种成纤维细胞系均成立。使用实时定量PCR,我们确定地高辛可阻止多种CAF标志物的诱导。此外,我们报告地高辛能够阻止TGF-β诱导的成纤维细胞对细胞外基质的收缩,这是CAF分化的一个主要表型后果。在评估抑制机制时,我们发现地高辛降低了TGF-β下游的SMAD启动子活性,并且我们提供的数据表明这种作用是通过抑制其已知靶点钠钾ATP酶实现的。这些发现支持了钙信号在CAF分化过程中的关键作用,并突出了一种新的、可重新利用的癌症治疗方式。

https://cdn.ncbi.nlm.nih.gov/pmc/blobs/c885/5078007/3f4e0cd05d8a/oncotarget-07-32200-g001.jpg

文献AI研究员

20分钟写一篇综述,助力文献阅读效率提升50倍。

立即体验

用中文搜PubMed

大模型驱动的PubMed中文搜索引擎

马上搜索

文档翻译

学术文献翻译模型,支持多种主流文档格式。

立即体验