• 文献检索
  • 文档翻译
  • 深度研究
  • 学术资讯
  • Suppr Zotero 插件Zotero 插件
  • 邀请有礼
  • 套餐&价格
  • 历史记录
应用&插件
Suppr Zotero 插件Zotero 插件浏览器插件Mac 客户端Windows 客户端微信小程序
定价
高级版会员购买积分包购买API积分包
服务
文献检索文档翻译深度研究API 文档MCP 服务
关于我们
关于 Suppr公司介绍联系我们用户协议隐私条款
关注我们

Suppr 超能文献

核心技术专利:CN118964589B侵权必究
粤ICP备2023148730 号-1Suppr @ 2026

文献检索

告别复杂PubMed语法,用中文像聊天一样搜索,搜遍4000万医学文献。AI智能推荐,让科研检索更轻松。

立即免费搜索

文件翻译

保留排版,准确专业,支持PDF/Word/PPT等文件格式,支持 12+语言互译。

免费翻译文档

深度研究

AI帮你快速写综述,25分钟生成高质量综述,智能提取关键信息,辅助科研写作。

立即免费体验

乳腺转移性骨肉瘤在乳腺钼靶检查中表现为致密钙化肿块。

Metastatic Osteosarcoma to the Breast Presenting as a Densely Calcified Mass on Mammography.

作者信息

Kim Jonghyeon, Woo Ha Young, Kim Eun-Kyung, Kim Min Jung, Moon Hee Jung, Yoon Jung Hyun

机构信息

Department of Radiology, Severance Hospital, Research Institute of Radiological Science, Yonsei University College of Medicine, Seoul, Korea.

Department of Pathology, Yonsei University College of Medicine, Seoul, Korea.

出版信息

J Breast Cancer. 2016 Mar;19(1):87-91. doi: 10.4048/jbc.2016.19.1.87. Epub 2016 Mar 25.

DOI:10.4048/jbc.2016.19.1.87
PMID:27064762
原文链接:https://pmc.ncbi.nlm.nih.gov/articles/PMC4822113/
Abstract

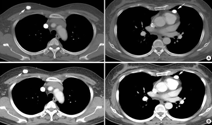
Osteosarcoma most commonly metastasizes to the lung or the skeleton, and metastatic osteosarcoma to the breast is very rare, with only a few cases reported. Due to its rarity, little has been reported about its imaging features. In this report, we represent a 58-year-old woman with metastatic osteosarcoma to the right breast from a tibial osteosarcoma. The imaging features of the metastatic osteosarcoma to the breast by using dedicated breast imaging modalities are described. Although rare, metastatic osteosarcoma to the breast should be considered when dense calcified masses with suspicious features are seen on breast imaging in patients with a history of osteosarcoma.

摘要

骨肉瘤最常转移至肺或骨骼,而骨肉瘤转移至乳腺极为罕见,仅有少数病例报道。由于其罕见性,关于其影像学特征的报道很少。在本报告中,我们介绍了一名58岁女性,其右乳腺的骨肉瘤转移灶来自胫骨骨肉瘤。描述了使用专用乳腺成像模式时乳腺转移性骨肉瘤的影像学特征。尽管罕见,但对于有骨肉瘤病史的患者,当乳腺成像中发现具有可疑特征的致密钙化肿块时,应考虑骨肉瘤转移至乳腺的情况。

https://cdn.ncbi.nlm.nih.gov/pmc/blobs/adac/4822113/a790999eaddb/jbc-19-87-g004.jpg
https://cdn.ncbi.nlm.nih.gov/pmc/blobs/adac/4822113/e6f5875f9c10/jbc-19-87-g001.jpg
https://cdn.ncbi.nlm.nih.gov/pmc/blobs/adac/4822113/21d7607ebc2b/jbc-19-87-g002.jpg
https://cdn.ncbi.nlm.nih.gov/pmc/blobs/adac/4822113/7eaf875361f4/jbc-19-87-g003.jpg
https://cdn.ncbi.nlm.nih.gov/pmc/blobs/adac/4822113/a790999eaddb/jbc-19-87-g004.jpg
https://cdn.ncbi.nlm.nih.gov/pmc/blobs/adac/4822113/e6f5875f9c10/jbc-19-87-g001.jpg
https://cdn.ncbi.nlm.nih.gov/pmc/blobs/adac/4822113/21d7607ebc2b/jbc-19-87-g002.jpg
https://cdn.ncbi.nlm.nih.gov/pmc/blobs/adac/4822113/7eaf875361f4/jbc-19-87-g003.jpg
https://cdn.ncbi.nlm.nih.gov/pmc/blobs/adac/4822113/a790999eaddb/jbc-19-87-g004.jpg

相似文献

1
Metastatic Osteosarcoma to the Breast Presenting as a Densely Calcified Mass on Mammography.乳腺转移性骨肉瘤在乳腺钼靶检查中表现为致密钙化肿块。
J Breast Cancer. 2016 Mar;19(1):87-91. doi: 10.4048/jbc.2016.19.1.87. Epub 2016 Mar 25.
2
Mucinous Breast Carcinoma Presenting as a Coarse and Densely Calcified Mass on Mammography: A Case Report.乳腺黏液癌在乳腺钼靶上表现为粗大密集钙化肿块:一例报告
Taehan Yongsang Uihakhoe Chi. 2020 Sep;81(5):1266-1271. doi: 10.3348/jksr.2019.0083. Epub 2020 Aug 13.
3
Primary breast osteosarcoma mimicking calcified fibroadenoma on screening digital breast tomosynthesis mammogram.在乳腺数字断层合成筛查乳腺钼靶上,原发性乳腺骨肉瘤酷似钙化性纤维腺瘤。
Radiol Case Rep. 2017 Jul 29;12(4):648-652. doi: 10.1016/j.radcr.2017.06.008. eCollection 2017 Dec.
4
Metastatic osteosarcoma to the breast: a rare case.乳腺转移性骨肉瘤:1例罕见病例。
J Obstet Gynaecol Res. 2010 Aug;36(4):891-3. doi: 10.1111/j.1447-0756.2010.01239.x.
5
A case of primary extraskeletal osteosarcoma of the breast.一例乳腺原发性骨外骨肉瘤
Surg Case Rep. 2018 Sep 19;4(1):121. doi: 10.1186/s40792-018-0530-4.
6
Primary osteosarcoma of the breast: a case report.乳腺原发性骨肉瘤:一例报告
Ann Surg Treat Res. 2017 Jul;93(1):57-60. doi: 10.4174/astr.2017.93.1.57. Epub 2017 Jun 26.
7
[Unusual presentation of metastatic osteosarcoma as a giant duodenal polyp. A case report].[转移性骨肉瘤表现为巨大十二指肠息肉的罕见病例报告]
Pathologica. 2005 Apr;97(2):88-91.
8
Primary osteogenic sarcoma of the breast.乳腺原发性骨肉瘤
Singapore Med J. 2008 Nov;49(11):e315-7.
9
Metastatic Sternal Osteosarcoma: A Rare Tumor.转移性胸骨骨肉瘤:一种罕见肿瘤。
Cureus. 2018 Feb 19;10(2):e2206. doi: 10.7759/cureus.2206.
10
A Rare Case of Primary Breast Osteosarcoma Evaluated with Multiple Modalities.一例采用多种方式评估的原发性乳腺骨肉瘤罕见病例。
Diagnostics (Basel). 2021 Jun 28;11(7):1170. doi: 10.3390/diagnostics11071170.

引用本文的文献

1
Benign Osseous Metaplasia of the Breast: A Rare Breast Lesion-Case Report With Clinicopathologic Features and Review of the Literature.乳腺良性骨化生:一种罕见的乳腺病变——病例报告及临床病理特征分析并文献复习
Case Rep Pathol. 2025 Jun 19;2025:8854614. doi: 10.1155/crip/8854614. eCollection 2025.
2
Osseous Metaplasia in Hemangiomas of the Breast: Case Reports and Literature Review.乳腺血管瘤中的骨化生:病例报告与文献综述
J Breast Cancer. 2021 Apr;24(2):229-234. doi: 10.4048/jbc.2021.24.e7. Epub 2021 Feb 8.

本文引用的文献

1
Osteosarcoma with metastasis at initial diagnosis: Current outcomes and prognostic factors in the context of a comprehensive cancer center.初诊时伴有转移的骨肉瘤:综合癌症中心背景下的当前治疗结果及预后因素
Mol Clin Oncol. 2014 Sep;2(5):811-816. doi: 10.3892/mco.2014.325. Epub 2014 Jun 23.
2
Breast metastases from extramammary malignancies: typical and atypical ultrasound features.乳房外恶性肿瘤的乳房转移:典型和非典型的超声特征。
Korean J Radiol. 2014 Jan-Feb;15(1):20-8. doi: 10.3348/kjr.2014.15.1.20. Epub 2014 Jan 8.
3
Rare occurrence of bilateral breast and peritoneal metastases from osteogenic sarcoma.
骨肉瘤双侧乳房和腹膜转移罕见。
Singapore Med J. 2013 Mar;54(3):e68-71. doi: 10.11622/smedj.2013060.
4
Metastases to the breast from non-mammary malignancies: primary tumors, prevalence, clinical signs, and radiological features.非乳腺恶性肿瘤转移至乳房:原发肿瘤、流行情况、临床体征和影像学特征。
Acad Radiol. 2011 May;18(5):565-74. doi: 10.1016/j.acra.2010.12.009. Epub 2011 Mar 9.
5
Osteosarcoma: a review of diagnosis, management, and treatment strategies.骨肉瘤:诊断、管理及治疗策略综述
Clin Adv Hematol Oncol. 2010 Oct;8(10):705-18.
6
Metastatic osteosarcoma to the breast: a rare case.乳腺转移性骨肉瘤:1例罕见病例。
J Obstet Gynaecol Res. 2010 Aug;36(4):891-3. doi: 10.1111/j.1447-0756.2010.01239.x.
7
Metastasis of humeral osteosarcoma to the contralateral breast detected by 99mTc-MDP skeletal scintigraphy.肱骨骨肉瘤转移至对侧乳腺 99mTc-MDP 骨显像检测。
Jpn J Radiol. 2009 Dec;27(10):455-7. doi: 10.1007/s11604-009-0364-x. Epub 2009 Dec 25.
8
Osteosarcoma: ESMO clinical recommendations for diagnosis, treatment and follow-up.骨肉瘤:欧洲肿瘤内科学会关于诊断、治疗及随访的临床建议
Ann Oncol. 2009 May;20 Suppl 4:137-9. doi: 10.1093/annonc/mdp154.
9
Primary osteogenic sarcoma of the breast.乳腺原发性骨肉瘤
Singapore Med J. 2008 Nov;49(11):e315-7.
10
Metaplastic breast carcinomas: are they of myoepithelial differentiation?: immunohistochemical profile of the sarcomatoid subtype using novel myoepithelial markers.化生性乳腺癌:它们具有肌上皮分化吗?:使用新型肌上皮标志物对肉瘤样亚型进行免疫组化分析
Am J Surg Pathol. 2005 Mar;29(3):347-53. doi: 10.1097/01.pas.0000152133.60278.d2.