Suppr超能文献

肥大细胞来源的外泌体通过OX40L-OX40连接促进Th2细胞分化。

Mast Cell-Derived Exosomes Promote Th2 Cell Differentiation via OX40L-OX40 Ligation.

作者信息

Li Fei, Wang Yuping, Lin Lihui, Wang Juan, Xiao Hui, Li Jia, Peng Xia, Dai Huirong, Li Li

机构信息

Department of Laboratory Medicine, Shanghai First People's Hospital, Shanghai Jiao Tong University School, Shanghai 200080, China.

出版信息

J Immunol Res. 2016;2016:3623898. doi: 10.1155/2016/3623898. Epub 2016 Mar 15.

Abstract

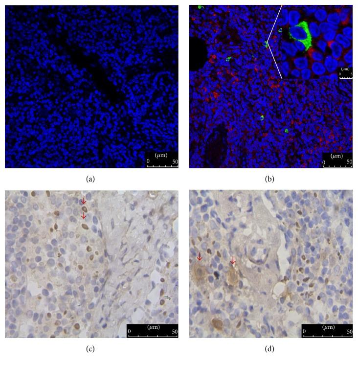
Exosomes are nanovesicles released by different cell types, such as dendritic cells (DCs), mast cells (MCs), and tumor cells. Exosomes of different origin play a role in antigen presentation and modulation of immune response to infectious disease. In this study, we demonstrate that mast cells and CD4(+) T cells colocated in peritoneal lymph nodes from BALB/c mouse. Further, bone marrow-derived mast cells (BMMCs) constitutively release exosomes, which express CD63 and OX40L. BMMC-exosomes partially promoted the proliferation of CD4(+) T cells. BMMC-exosomes significantly enhanced the differentiation of naive CD4(+) T cells to Th2 cells in a surface contact method, and this ability was partly inhibited by the addition of anti-OX40L Ab. In conclusion, BMMC-exosomes promoted the proliferation and differentiation of Th2 cells via ligation of OX40L and OX40 between exosomes and T cells. This method represents a novel mechanism, in addition to direct cell surface contacts, soluble mediators, and synapses, to regulate T cell actions by BMMC-exosomes.

摘要

外泌体是由不同细胞类型释放的纳米囊泡,如树突状细胞(DCs)、肥大细胞(MCs)和肿瘤细胞。不同来源的外泌体在抗原呈递和对传染病免疫反应的调节中发挥作用。在本研究中,我们证明肥大细胞和CD4(+) T细胞共定位在BALB/c小鼠的腹膜淋巴结中。此外,骨髓来源的肥大细胞(BMMCs)组成性地释放外泌体,其表达CD63和OX40L。BMMC外泌体部分促进了CD4(+) T细胞的增殖。BMMC外泌体通过表面接触方法显著增强了初始CD4(+) T细胞向Th2细胞的分化,并且添加抗OX40L抗体可部分抑制这种能力。总之,BMMC外泌体通过外泌体与T细胞之间的OX40L和OX40连接促进了Th2细胞的增殖和分化。除了直接的细胞表面接触、可溶性介质和突触之外,这种方法代表了一种由BMMC外泌体调节T细胞作用的新机制。

https://cdn.ncbi.nlm.nih.gov/pmc/blobs/10c6/4811108/00ddf0b9b3dd/JIR2016-3623898.001.jpg

文献AI研究员

20分钟写一篇综述,助力文献阅读效率提升50倍。

立即体验

用中文搜PubMed

大模型驱动的PubMed中文搜索引擎

马上搜索

文档翻译

学术文献翻译模型,支持多种主流文档格式。

立即体验