• 文献检索
  • 文档翻译
  • 深度研究
  • 学术资讯
  • Suppr Zotero 插件Zotero 插件
  • 邀请有礼
  • 套餐&价格
  • 历史记录
应用&插件
Suppr Zotero 插件Zotero 插件浏览器插件Mac 客户端Windows 客户端微信小程序
定价
高级版会员购买积分包购买API积分包
服务
文献检索文档翻译深度研究API 文档MCP 服务
关于我们
关于 Suppr公司介绍联系我们用户协议隐私条款
关注我们

Suppr 超能文献

核心技术专利:CN118964589B侵权必究
粤ICP备2023148730 号-1Suppr @ 2026

文献检索

告别复杂PubMed语法,用中文像聊天一样搜索,搜遍4000万医学文献。AI智能推荐,让科研检索更轻松。

立即免费搜索

文件翻译

保留排版,准确专业,支持PDF/Word/PPT等文件格式,支持 12+语言互译。

免费翻译文档

深度研究

AI帮你快速写综述,25分钟生成高质量综述,智能提取关键信息,辅助科研写作。

立即免费体验

双侧同步筛窦异位嗅神经母细胞瘤:一例报告

Bilateral Synchronous Ectopic Ethmoid Sinus Olfactory Neuroblastoma: A Case Report.

作者信息

Leon-Soriano Elena, Alfonso Carolina, Yebenes Laura, Garcia-Polo Julio, Lassaletta Luis, Gavilan Javier

机构信息

Department of Otolaryngology, La Paz University Hospital, La Paz University Hospital Institute for Health Research (IdiPAZ), Madrid, Spain.

Department of Pathology, La Paz University Hospital, Madrid, Spain.

出版信息

Am J Case Rep. 2016 Apr 21;17:268-73. doi: 10.12659/ajcr.897623.

DOI:10.12659/ajcr.897623
PMID:27097989
原文链接:https://pmc.ncbi.nlm.nih.gov/articles/PMC4841357/
Abstract

BACKGROUND

Olfactory neuroblastoma (ONB), also known as esthesioneuroblastoma, is a rare malignant head and neck cancer thought to originate from the olfactory epithelium. It typically invades contiguous structures at presentation. We report a very rare case of multifocal and ectopic ONB.

CASE REPORT

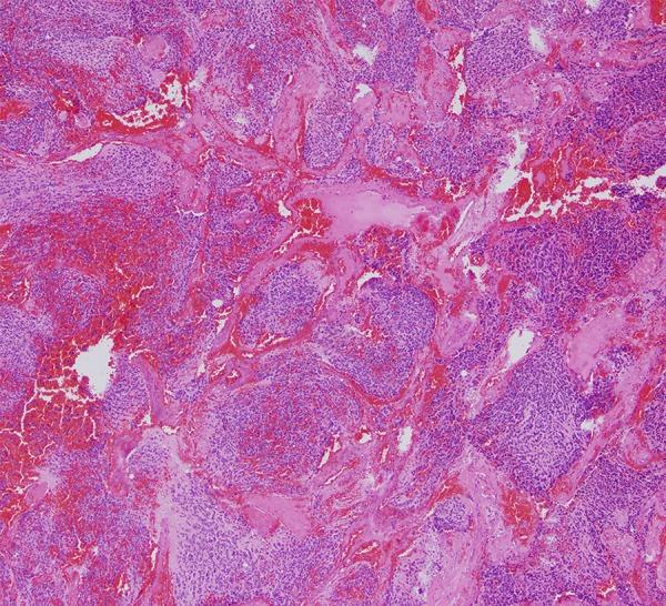
A 41-year-old man presented with left nasal obstruction and occasional left epistaxis associated with headache. Endoscopic examination of the nasal cavities and computed tomography suggested bilateral polypoid masses. Histopathological diagnosis after endoscopic resection established bilateral olfactory neuroblastoma of the ethmoid sinuses. The patient received postoperative radiotherapy. He remains free of disease 4 years after treatment.

CONCLUSIONS

To the best of our knowledge this is the second documented case of multifocal ectopic olfactory neuroblastoma. Clinicians should consider ONB in the differential diagnosis of bilateral synchronous nasal and paranasal masses to avoid delayed diagnosis. Endoscopic resection of ONB could be an option in selected cases.

摘要

背景

嗅神经母细胞瘤(ONB),也称为嗅感觉神经母细胞瘤,是一种罕见的头颈部恶性肿瘤,被认为起源于嗅上皮。它通常在发病时侵犯相邻结构。我们报告一例非常罕见的多灶性和异位性ONB病例。

病例报告

一名41岁男性因左侧鼻塞、偶尔左侧鼻出血伴头痛就诊。鼻腔内镜检查和计算机断层扫描提示双侧息肉样肿物。内镜切除术后的组织病理学诊断为双侧筛窦嗅神经母细胞瘤。患者接受了术后放疗。治疗4年后他仍无疾病复发。

结论

据我们所知,这是第二例有文献记载的多灶性异位嗅神经母细胞瘤病例。临床医生在双侧同步鼻腔和鼻窦肿物的鉴别诊断中应考虑ONB,以避免漏诊。在某些病例中,内镜切除ONB可能是一种选择。

https://cdn.ncbi.nlm.nih.gov/pmc/blobs/38ad/4841357/9497367ba66f/amjcaserep-17-268-g004.jpg
https://cdn.ncbi.nlm.nih.gov/pmc/blobs/38ad/4841357/a8a4a9867146/amjcaserep-17-268-g001.jpg
https://cdn.ncbi.nlm.nih.gov/pmc/blobs/38ad/4841357/43ac3414f1c6/amjcaserep-17-268-g002.jpg
https://cdn.ncbi.nlm.nih.gov/pmc/blobs/38ad/4841357/058661831b7a/amjcaserep-17-268-g003.jpg
https://cdn.ncbi.nlm.nih.gov/pmc/blobs/38ad/4841357/9497367ba66f/amjcaserep-17-268-g004.jpg
https://cdn.ncbi.nlm.nih.gov/pmc/blobs/38ad/4841357/a8a4a9867146/amjcaserep-17-268-g001.jpg
https://cdn.ncbi.nlm.nih.gov/pmc/blobs/38ad/4841357/43ac3414f1c6/amjcaserep-17-268-g002.jpg
https://cdn.ncbi.nlm.nih.gov/pmc/blobs/38ad/4841357/058661831b7a/amjcaserep-17-268-g003.jpg
https://cdn.ncbi.nlm.nih.gov/pmc/blobs/38ad/4841357/9497367ba66f/amjcaserep-17-268-g004.jpg

相似文献

1
Bilateral Synchronous Ectopic Ethmoid Sinus Olfactory Neuroblastoma: A Case Report.双侧同步筛窦异位嗅神经母细胞瘤:一例报告
Am J Case Rep. 2016 Apr 21;17:268-73. doi: 10.12659/ajcr.897623.
2
Ectopic primary olfactory neuroblastoma of the maxillary sinus.上颌窦异位原发性嗅神经母细胞瘤。
Ann Diagn Pathol. 2016 Jun;22:45-8. doi: 10.1016/j.anndiagpath.2016.04.001. Epub 2016 Apr 11.
3
Huge sphenoid sinus olfactory neuroblastoma: a case report.巨大蝶窦嗅神经母细胞瘤:一例报告
Kaohsiung J Med Sci. 2009 Feb;25(2):87-92. doi: 10.1016/S1607-551X(09)70046-4.
4
[Clinicopathologic study of sinonasal teratocarcinosarcoma and its contrast with olfactory neuroblastoma].鼻窦畸胎癌肉瘤的临床病理研究及其与嗅神经母细胞瘤的对比
Zhonghua Bing Li Xue Za Zhi. 2008 Jul;37(7):458-64.
5
[Ethmoid esthesioneuroblastoma presenting with ophthalmologic manifestations].[以眼科表现为特征的筛窦嗅神经母细胞瘤]
J Fr Ophtalmol. 2014 Jun;37(6):e87-9. doi: 10.1016/j.jfo.2013.09.013. Epub 2014 Apr 16.
6
Sinonasal teratocarcinosarcoma ("mixed olfactory neuroblastoma-craniopharyngioma") presenting with syndrome of inappropriate secretion of antidiuretic hormone.鼻窦畸胎癌肉瘤(“混合性嗅神经母细胞瘤-颅咽管瘤”)伴抗利尿激素分泌异常综合征。
Clin Neuropathol. 2000 Mar-Apr;19(2):63-9.
7
Esthesioneuroblastoma treated with external radiotherapy. Case report.经外照射放疗治疗的嗅神经母细胞瘤。病例报告。
Acta Otorhinolaryngol Ital. 2008 Aug;28(4):215-7.
8
Synovial sarcoma of the ethmoid sinus.筛窦滑膜肉瘤。
Eur Ann Otorhinolaryngol Head Neck Dis. 2018 Dec;135(6):453-455. doi: 10.1016/j.anorl.2017.10.007. Epub 2018 Oct 21.
9
Ectopic Primary Olfactory Neuroblastoma: Case Series and Literature Review.异位原发性嗅神经母细胞瘤:病例系列及文献复习。
World Neurosurg. 2022 Feb;158:e645-e653. doi: 10.1016/j.wneu.2021.11.035. Epub 2021 Nov 14.
10
Sphenoid esthesioneuroblastoma arising from the hindmost olfactory filament.起源于最后嗅丝的蝶骨嗅神经母细胞瘤。
Auris Nasus Larynx. 2015 Apr;42(2):170-2. doi: 10.1016/j.anl.2014.10.003. Epub 2014 Nov 4.

引用本文的文献

1
Endoscopic surgery versus various open approaches in esthesioneuroblastoma: a systematic review of the literature.嗅神经母细胞瘤的内镜手术与各种开放手术入路:文献系统评价
Front Oncol. 2025 May 28;15:1512771. doi: 10.3389/fonc.2025.1512771. eCollection 2025.
2
Ectopic olfactory neuroblastoma is associated with increased frequency of syndrome of inappropriate antidiuretic hormone secretion and reduced disease control: Case series with systematic review and pooled analysis.异位嗅神经母细胞瘤与抗利尿激素分泌不当综合征发生率增加及疾病控制不佳相关:病例系列并系统评价与汇总分析
Int Forum Allergy Rhinol. 2025 Jan;15(1):45-67. doi: 10.1002/alr.23502. Epub 2024 Dec 11.
3

本文引用的文献

1
Aggressive primary olfactory neuroblastoma of the sphenoclival region: a case report and literature review.蝶鞍斜坡区侵袭性原发性嗅神经母细胞瘤:一例报告并文献复习
Laryngoscope. 2015 Apr;125(4):822-5. doi: 10.1002/lary.24925. Epub 2014 Sep 12.
2
Ectopic olfactory neuroblastoma: report of four cases and a review of the literature.异位嗅神经母细胞瘤:4 例报告及文献复习。
Eur Arch Otorhinolaryngol. 2011 Apr;268(4):555-60. doi: 10.1007/s00405-010-1423-8. Epub 2010 Nov 16.
3
Ectopic olfactory neuroblastoma arising in the pterygopalatine fossa.
Olfactory Neuroblastoma Is Not Always Located at the Roof of the Nasal Cavity.
嗅神经母细胞瘤并不总是位于鼻腔顶部。
J Belg Soc Radiol. 2024 Apr 12;108(1):39. doi: 10.5334/jbsr.3562. eCollection 2024.
4
Ectopic Olfactory Neuroblastoma: Systematic Review of a Rare Clinical Entity among Sinonasal Tumors.异位嗅神经母细胞瘤:鼻窦肿瘤中一种罕见临床实体的系统评价
J Neurol Surg B Skull Base. 2023 Jan 5;85(2):109-118. doi: 10.1055/a-1993-7790. eCollection 2024 Apr.
5
Intranasal Esthesioneuroblastoma: CT Patterns Aid in Preventing Routine Nasal Polypectomy.鼻腔内嗅神经母细胞瘤:CT 表现有助于避免常规鼻息肉切除术。
AJNR Am J Neuroradiol. 2018 Feb;39(2):344-349. doi: 10.3174/ajnr.A5464. Epub 2017 Dec 7.
起源于翼腭窝的异位嗅神经母细胞瘤。
Otolaryngol Head Neck Surg. 2010 Mar;142(3):460-1. doi: 10.1016/j.otohns.2009.09.027. Epub 2009 Nov 26.
4
Endoscopic transnasal resection of ectopic esthesioneuroblastoma in the pterygopalatine fossa: technical case report.经鼻内镜切除翼腭窝异位嗅神经母细胞瘤:技术病例报告。
Neurosurgery. 2009 Dec;65(6 Suppl):E112-3; discussion E113. doi: 10.1227/01.NEU.0000346268.69786.88.
5
Treatment of esthesioneuroblastoma: a 16-year meta-analysis of 361 patients.嗅神经母细胞瘤的治疗:对361例患者的16年荟萃分析。
Laryngoscope. 2009 Jul;119(7):1412-6. doi: 10.1002/lary.20280.
6
Endoscopic endonasal resection of esthesioneuroblastoma: a multicenter study.鼻内镜下鼻腔内嗅神经母细胞瘤切除术:一项多中心研究
Am J Rhinol Allergy. 2009 Jan-Feb;23(1):91-4. doi: 10.2500/ajra.2009.23.3269.
7
Noncontiguous bilateral esthesioneuroblastoma: a case report.非连续性双侧嗅神经母细胞瘤:一例报告
Skull Base. 2007 Nov;17(6):405-7. doi: 10.1055/s-2007-986459.
8
Diagnosis and management of esthesioneuroblastoma.嗅神经母细胞瘤的诊断与治疗
Curr Opin Otolaryngol Head Neck Surg. 2003 Apr;11(2):112-8. doi: 10.1097/00020840-200304000-00009.
9
Esthesioneuroblastoma and cervical lymph node metastases: clinical and therapeutic implications.嗅神经母细胞瘤与颈部淋巴结转移:临床及治疗意义
Acta Otolaryngol. 2002 Mar;122(2):215-21. doi: 10.1080/00016480252814261.
10
Esthesioneuroblastoma: a meta-analysis and review.嗅神经母细胞瘤:一项荟萃分析与综述
Lancet Oncol. 2001 Nov;2(11):683-90. doi: 10.1016/S1470-2045(01)00558-7.