Suppr超能文献

EZH2在乳腺癌不同免疫表型中的过表达及其与临床病理特征的相关性。

EZH2 overexpression in different immunophenotypes of breast carcinoma and association with clinicopathologic features.

作者信息

Guo Shuangping, Li Xia, Rohr Joseph, Wang Yingmei, Ma Shirong, Chen Peng, Wang Zhe

机构信息

Department of Pathology, Xi Jing Hospital, the Fourth Military Medical University, Xi'an, Shaan Xi Province, 710032, China.

Department of Pathology and Microbiology, University of Nebraska Medical Center, Omaha, 68105, NE, USA.

出版信息

Diagn Pathol. 2016 Apr 26;11:41. doi: 10.1186/s13000-016-0491-5.

Abstract

BACKGROUND

Enhancer of zest homolog 2 (EZH2), a histone 3 methyltransferase, is associated with aggressive behavior of many tumors and is a promising target of molecular therapy.

METHODS

To better elucidate the relevance of EZH2 in breast cancer subtypes, we evaluated EZH2 expression in 226 invasive breast carcinomas with four distinct immunophenotypes and in association with clinicopathological features.

RESULTS

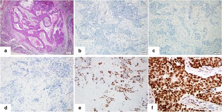
Of these cases, 138 (61.1 %) were defined as EZH2-overexpressing with a multiplicative score > 3. EZH2 expression was inversely related to the status of ER and PR (Chi-square, p < 0.001), and it was significantly associated with HER2 positivity, high proliferative index, and high histologic grade (Chi-square, p < 0.05). ER-positive breast carcinoma with low proliferative index (Ki67 < 14 %) showed the lowest expression and triple-negative breast carcinoma showed the highest overexpression of EZH2, 18.5 % (10/54) versus 90.9 % (50/55) (Chi-square, p < 0.001). Intriguingly, 88 % (44/50) cases of grade 3 triple-negative breast carcinoma showed uniformly strong EZH2 expression with a multiplicative score of 9. The percentage of EZH2 overexpression in ER-positive breast carcinoma with a high proliferative index or HER2-positive cases were 61.2 and 74 %, respectively. Furthermore, EZH2 expression was significantly elevated in high-grade DCIS compared to benign lesions (90 % versus 0, p < 0.001). However, there is no association between EZH2 expression and the status of histone 3 lysine 27 trimethylation or other clinicopathologic features.

CONCLUSION

In summary, triple-negative breast carcinoma showed the highest overexpression of EZH2. EZH2 overexpression is associated aggressive pathologic features including high nuclear grade, high proliferative index, and positivity of HER2 of breast carcinoma.

摘要

背景

zeste同源物增强子2(EZH2)是一种组蛋白3甲基转移酶,与多种肿瘤的侵袭性行为相关,是分子治疗的一个有前景的靶点。

方法

为了更好地阐明EZH2在乳腺癌亚型中的相关性,我们评估了226例具有四种不同免疫表型的浸润性乳腺癌中EZH2的表达,并将其与临床病理特征相关联。

结果

在这些病例中,138例(61.1%)被定义为EZH2过表达,倍增分数>3。EZH2表达与雌激素受体(ER)和孕激素受体(PR)状态呈负相关(卡方检验,p<0.001),并且与HER2阳性、高增殖指数和高组织学分级显著相关(卡方检验,p<0.05)。增殖指数低(Ki67<14%)的ER阳性乳腺癌EZH2表达最低,三阴性乳腺癌EZH2过表达最高,分别为18.5%(10/54)和90.9%(50/55)(卡方检验,p<0.001)。有趣的是,88%(44/50)的3级三阴性乳腺癌病例EZH2表达均呈强阳性,倍增分数为9。增殖指数高的ER阳性乳腺癌或HER2阳性病例中EZH2过表达的百分比分别为61.2%和74%。此外,与良性病变相比,高级别导管原位癌(DCIS)中EZH2表达显著升高(90%对0,p<0.001)。然而,EZH2表达与组蛋白3赖氨酸27三甲基化状态或其他临床病理特征之间无关联。

结论

总之,三阴性乳腺癌EZH2过表达最高。EZH2过表达与乳腺癌的侵袭性病理特征相关,包括高核分级、高增殖指数和HER2阳性。

https://cdn.ncbi.nlm.nih.gov/pmc/blobs/5d2b/4845361/97e9b058c528/13000_2016_491_Fig1_HTML.jpg

文献AI研究员

20分钟写一篇综述,助力文献阅读效率提升50倍。

立即体验

用中文搜PubMed

大模型驱动的PubMed中文搜索引擎

马上搜索

文档翻译

学术文献翻译模型,支持多种主流文档格式。

立即体验