Suppr超能文献

局部使用香彩雀水乙醇提取物可加速大鼠模型切除伤口的修复。

Topical Moltkia coerulea hydroethanolic extract accelerates the repair of excision wound in a rat model.

作者信息

Farahpour Mohammad-Reza, Dilmaghanian Aydin, Faridy Maisam, Karashi Esmaeil

机构信息

Department of Clinical Sciences, Faculty of Veterinary Medicine, Urmia Branch, Islamic Azad University, Urmia, Iran.

出版信息

Chin J Traumatol. 2016 Apr 1;19(2):97-103. doi: 10.1016/j.cjtee.2015.08.005.

Abstract

PURPOSE

To evaluate the effect of a hydroethanolic extract of Moltkia coerulea ointment (MCO) on the healing of excision wound in a rat model.

METHODS

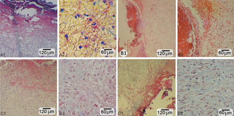
Circular surgical full thickness excision wound, with 314 mm² size, was induced in the anterior-dorsal side of each rat. Three different doses of MCO (1%, 3% and 6%) were administrated. On Day 3, 7, 14 and 21, the tissue was sampled and immune cells, fibroblasts and fibrocytes distribution per one mm² of wound area, collagen density and re-epithelialization were analyzed. Moreover, the total flavnoid, phenols and anti-oxidant potential of the MCO were evaluated. Ultimately, the percentage of wound contraction in different groups was compared with each other.

RESULTS

Hydroethanolic extract of MCO significantly (p < 0.05) increased wound contraction percentage. The animals in medium and high dose MCO-treated groups exhibited remarkably (p<0.05) higher fibroblast and fibrocyte distribution and significantly (p < 0.05) lower immune cells infiltration. On Day 7 after injury, MCO up-regulated neovascularization in a dose-dependent way.

CONCLUSION

Our data showed that MCO shortened the inflammation phase by provoking the fibroblast proliferation. Moreover, MCO promoted the healing process by up-regulating the angiogenesis and provoking the structural cells proliferation as well as increasing the collagen synthesis, cross-linking, and deposition.

摘要

目的

评估蓝花莫氏软膏(MCO)的水乙醇提取物对大鼠模型切除伤口愈合的影响。

方法

在每只大鼠的背部前侧诱导形成面积为314平方毫米的圆形手术全层切除伤口。给予三种不同剂量的MCO(1%、3%和6%)。在第3天、第7天、第14天和第21天采集组织,分析每平方毫米伤口面积的免疫细胞、成纤维细胞和纤维细胞分布、胶原密度和再上皮化情况。此外,还评估了MCO的总黄酮、酚类和抗氧化潜力。最终,比较不同组之间的伤口收缩百分比。

结果

MCO的水乙醇提取物显著(p<0.05)提高了伤口收缩百分比。中、高剂量MCO治疗组的动物成纤维细胞和纤维细胞分布显著(p<0.05)更高,免疫细胞浸润显著(p<0.05)更低。在损伤后第7天,MCO以剂量依赖的方式上调了新生血管形成。

结论

我们的数据表明,MCO通过刺激成纤维细胞增殖缩短了炎症期。此外,MCO通过上调血管生成、刺激结构细胞增殖以及增加胶原合成、交联和沉积促进了愈合过程。

https://cdn.ncbi.nlm.nih.gov/pmc/blobs/e6ba/4897844/aec69a8040e0/gr1.jpg

文献AI研究员

20分钟写一篇综述,助力文献阅读效率提升50倍。

立即体验

用中文搜PubMed

大模型驱动的PubMed中文搜索引擎

马上搜索

文档翻译

学术文献翻译模型,支持多种主流文档格式。

立即体验