Suppr超能文献

胫骨远端骨折:使用锁定钢板进行外固定的理想适应证。

Distal tibial fracture: An ideal indication for external fixation using locking plate.

作者信息

Zhang Jing-Wei, Ebraheim Nabil A, Li Ming, He Xian-Feng, Schwind Joshua, Zhu Li-Mei, Yu Yi-Hui

机构信息

Orthopaedic Surgery, Ningbo 6th Hospital, 1059 East Zhongshan Road, Ningbo 315040, Zhejiang Province, China.

出版信息

Chin J Traumatol. 2016 Apr 1;19(2):104-8. doi: 10.1016/j.cjtee.2015.05.006.

Abstract

OBJECTIVE

To evaluate the feasibility and efficiency of one-stage external fixation by using locking plate in distal tibial fractures.

METHODS

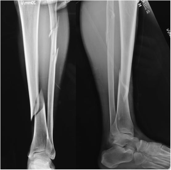
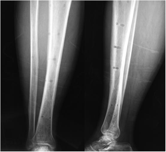
In this non-control prospective study, 28 patients with distal tibial fractures were included and underwent one-stage external fixation by using locking plate. There were 21 males and 7 females, with a mean age of 43 years (19-63). According to AO/OTA fracture classification, there were 9 cases of Type A1, 9 of Type A2, 10 of Type A3 fractures. There were 21 close and 7 open fractures. The locking plate was placed on the anteromedial aspect of the tibia with 4-5 bicortical screws inserted in both distal met- aphysis and diaphysis. The radiographic and clinic results were evaluated.

RESULTS

All patients were followed up for the average of 16 months (ranging from 12 to 21 months). The average surgery duration was 38 (25-60) minutes. The mean time to fracture healing were 14.6 ± 2.67, 17.5 ± 3.66, and 18.4 ± 3.37 (p < 0.05) weeks in type A1, A2, and A3 fractures respectively. By the end of the follow-ups, the mean AOFAS score were 96.11 ± 2.32, 92.67 ± 1.80 and 92.00 ± 2.06 (p > 0.05) in type A1, A2, and A3 fractures respectively. None of nonunion, deep infection, or breakage of screw or plate were observed.

CONCLUSIONS

Distal tibial fracture was the ideal indication for external fixation using locking plate. The external plating is characterized by ease of performance, less invasive, fewer soft tissue impingement, improved cosmesis, and convenient for removal.

摘要

目的

评估一期使用锁定钢板外固定治疗胫骨干骺端骨折的可行性和有效性。

方法

在这项非对照前瞻性研究中,纳入28例胫骨干骺端骨折患者并接受一期锁定钢板外固定治疗。其中男性21例,女性7例,平均年龄43岁(19 - 63岁)。根据AO/OTA骨折分类,A1型9例,A2型9例,A3型10例。闭合性骨折21例,开放性骨折7例。锁定钢板置于胫骨前内侧,在干骺端和骨干分别拧入4 - 5枚双皮质螺钉。评估影像学和临床结果。

结果

所有患者平均随访16个月(12 - 21个月)。平均手术时间为38(25 - 60)分钟。A1型、A2型和A3型骨折的平均骨折愈合时间分别为14.6 ± 2.67、17.5 ± 3.66和18.4 ± 3.37周(p < 0.05)。随访结束时,A1型、A2型和A3型骨折的平均AOFAS评分分别为96.11 ± 2.32、92.67 ± 1.80和92.00 ± 2.06(p > 0.05)。未观察到骨不连、深部感染、螺钉或钢板断裂。

结论

胫骨干骺端骨折是使用锁定钢板外固定的理想适应证。外固定钢板具有操作简便、侵袭性小、软组织撞击少、美观性好及便于取出等特点。

https://cdn.ncbi.nlm.nih.gov/pmc/blobs/856a/4897837/cf59eead739e/gr1.jpg

文献AI研究员

20分钟写一篇综述,助力文献阅读效率提升50倍。

立即体验

用中文搜PubMed

大模型驱动的PubMed中文搜索引擎

马上搜索

文档翻译

学术文献翻译模型,支持多种主流文档格式。

立即体验