Suppr超能文献

鱼油通过维持慢性乙醇喂养大鼠的正常肠道通透性和微生物群来减轻肝损伤。

Fish Oil Reduces Hepatic Injury by Maintaining Normal Intestinal Permeability and Microbiota in Chronic Ethanol-Fed Rats.

作者信息

Chen Jiun-Rong, Chen Ya-Ling, Peng Hsiang-Chi, Lu Yu-An, Chuang Hsiao-Li, Chang Hsiao-Yun, Wang Hsiao-Yun, Su Yu-Ju, Yang Suh-Ching

机构信息

School of Nutrition and Health Sciences, Taipei Medical University, Taipei 110, Taiwan.

Department of Nutrition and Health Sciences, Chang Gung University of Science and Technology, Taoyuan 333, Taiwan.

出版信息

Gastroenterol Res Pract. 2016;2016:4694726. doi: 10.1155/2016/4694726. Epub 2016 Apr 10.

Abstract

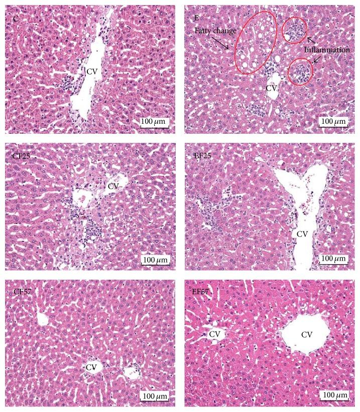
The aim of this study was to investigate the ameliorative effects of fish oil on hepatic injury in ethanol-fed rats based on the intestinal permeability and microbiota. Rats were assigned to 6 groups and fed either a control diet or an ethanol diet such as C (control), CF25 (control with 25% fish oil), CF57 (control with 57% fish oil), E (ethanol), EF25 (ethanol with 25% fish oil), and EF57 (ethanol with 57% fish oil) groups. Rats were sacrificed at the end of 8 weeks. Plasma aspartate aminotransferase (AST) and aminotransferase (ALT) activities, hepatic cytokines, and plasma endotoxin levels were significantly higher in the E group. In addition, hepatic histopathological analysis scores in the E group were significantly elevated. Rats in the E group also showed increased intestinal permeability and decreased numbers of fecal Bifidobacterium. However, plasma AST and ALT activities and hepatic cytokine levels were significantly lower in the EF25 and EF57 groups. Histological changes and intestinal permeability were also improved in the EF25 and EF57 groups. The fecal Escherichia coli numbers were significantly lower, but fecal Bifidobacterium numbers were significantly higher in the EF25 and EF57 groups.

摘要

本研究旨在基于肠道通透性和微生物群,探讨鱼油对乙醇喂养大鼠肝损伤的改善作用。将大鼠分为6组,分别给予对照饮食或乙醇饮食,如C(对照)、CF25(含25%鱼油的对照)、CF57(含57%鱼油的对照)、E(乙醇)、EF25(含25%鱼油的乙醇)和EF57(含57%鱼油的乙醇)组。8周结束时处死大鼠。E组血浆天冬氨酸转氨酶(AST)和丙氨酸转氨酶(ALT)活性、肝脏细胞因子和血浆内毒素水平显著更高。此外,E组肝脏组织病理学分析评分显著升高。E组大鼠还表现出肠道通透性增加和粪便双歧杆菌数量减少。然而,EF25和EF57组的血浆AST和ALT活性以及肝脏细胞因子水平显著更低。EF25和EF57组的组织学变化和肠道通透性也得到改善。EF25和EF57组的粪便大肠杆菌数量显著更低,但粪便双歧杆菌数量显著更高。

https://cdn.ncbi.nlm.nih.gov/pmc/blobs/8370/4842064/39fb7793c89f/GRP2016-4694726.001.jpg

文献AI研究员

20分钟写一篇综述,助力文献阅读效率提升50倍。

立即体验

用中文搜PubMed

大模型驱动的PubMed中文搜索引擎

马上搜索

文档翻译

学术文献翻译模型,支持多种主流文档格式。

立即体验