Suppr超能文献

腹腔镜治疗长发公主综合征继发的急性胰腺炎

Laparoscopic Management of Acute Pancreatitis Secondary to Rapunzel Syndrome.

作者信息

Koushk Jalali Bijan, Bingöl Alperen, Reyad Ashraf

机构信息

Department of Surgery, The Johns Hopkins Hospital, 1800 Orleans Street, Baltimore, MD 21287, USA.

出版信息

Case Rep Surg. 2016;2016:7638504. doi: 10.1155/2016/7638504. Epub 2016 Apr 10.

Abstract

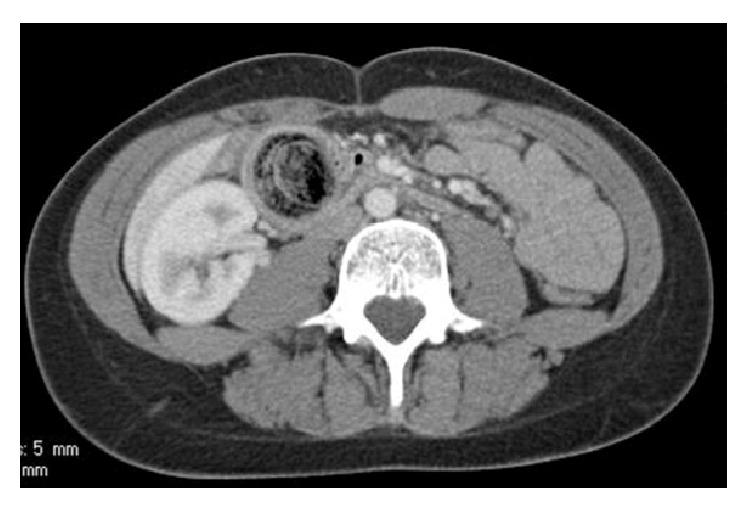
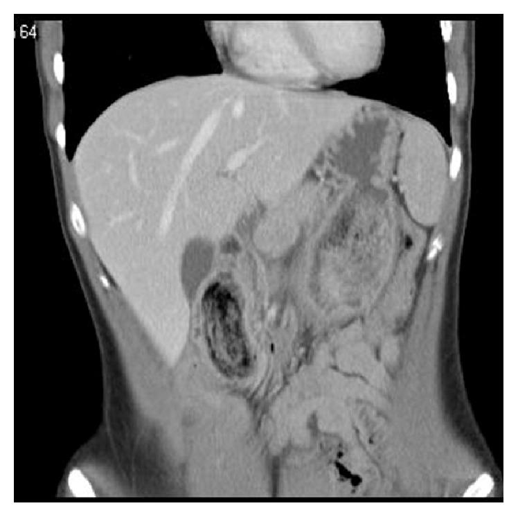
A 17-year-old girl presented with bilious vomiting and abdominal pain to the surgery department. The history was positive for trichotillomania and trichophagia. A CT scan showed a mass in the stomach, which was highly suspicious for a gastric bezoar. Drooping parts of the bezoar caused a duodenal obstruction with secondary acute pancreatitis. The bezoar was removed via a laparoscopically performed gastrotomy.

摘要

一名17岁女孩因胆汁性呕吐和腹痛就诊于外科。病史显示有拔毛癖和食毛症。CT扫描显示胃内有一肿块,高度怀疑为胃石。胃石下垂部分导致十二指肠梗阻并继发急性胰腺炎。通过腹腔镜胃切开术取出了胃石。

https://cdn.ncbi.nlm.nih.gov/pmc/blobs/962a/4842028/9ad020f7e021/CRIS2016-7638504.001.jpg

文献AI研究员

20分钟写一篇综述,助力文献阅读效率提升50倍。

立即体验

用中文搜PubMed

大模型驱动的PubMed中文搜索引擎

马上搜索

文档翻译

学术文献翻译模型,支持多种主流文档格式。

立即体验