Suppr超能文献

Cholangicarcinoma Presenting as a Sister Mary Joseph Nodule.

作者信息

Premkumar Madhumita, Rangegowda Devaraja, Vyas Tanmay, Grover Shrruti, Joshi Y K, Sharma Chhagan, Sahney Amrish

机构信息

Department of Hepatology, Institute of Liver and Biliary Sciences, New Delhi, India.

Department of Immunology, Institute of Liver and Biliary Sciences, New Delhi, India.

出版信息

ACG Case Rep J. 2016 Apr 15;3(3):209-11. doi: 10.14309/crj.2016.52. eCollection 2016 Apr.

Abstract

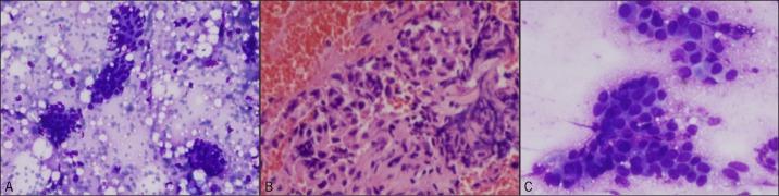
Sister Mary Joseph nodules represent metastatic cancer of the umbilicus. More than half of these cases are attributable to gastrointestinal malignancies including gastric, colonic, and pancreatic cancer. In addition, gynecologic (ovarian, uterine cancer), unknown primary tumors, and, rarely, bladder or respiratory malignancies may cause umbilical metastasis. We report the case of a Sister Mary Joseph nodule originating from a hilar cholangiocarcinoma. Umbilical nodules should prompt clinical evaluation, as these tumors are usually associated with poor prognosis.

摘要
https://cdn.ncbi.nlm.nih.gov/pmc/blobs/7e76/4843159/2e390f9a0c2b/crj-03-209-g001.jpg

文献AI研究员

20分钟写一篇综述,助力文献阅读效率提升50倍。

立即体验

用中文搜PubMed

大模型驱动的PubMed中文搜索引擎

马上搜索

文档翻译

学术文献翻译模型,支持多种主流文档格式。

立即体验