Ho Yen-Chun, Wu Meng-Ling, Su Chen-Hsuan, Chen Chung-Huang, Ho Hua-Hui, Lee Guan-Lin, Lin Wei-Shiang, Lin Wen-Yu, Hsu Yu-Juei, Kuo Cheng-Chin, Wu Kenneth K, Yet Shaw-Fang
Institute of Cellular and System Medicine, National Health Research Institutes, Zhunan, Taiwan.
Graduate Institute of Life Sciences, National Defense Medical Center, Taipei, Taiwan.
Sci Rep. 2016 May 5;6:25374. doi: 10.1038/srep25374.
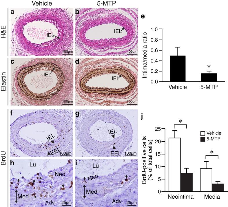
5-Methoxytryptophan (5-MTP), a 5-methoxyindole metabolite of tryptophan metabolism, was recently shown to suppress inflammatory mediator-induced cancer cell proliferation and migration. However, the role of 5-MTP in vascular disease is unknown. In this study, we investigated whether 5-MTP protects against vascular remodeling following arterial injury. Measurements of serum 5-MTP levels in healthy subjects and patients with coronary artery disease (CAD) showed that serum 5-MTP concentrations were inversely correlated with CAD. To test the role of 5-MTP in occlusive vascular disease, we subjected mice to a carotid artery ligation model of neointima formation and treated mice with vehicle or 5-MTP. Compared with vehicle-treated mice, 5-MTP significantly reduced intimal thickening by 40% 4 weeks after ligation. BrdU incorporation assays revealed that 5-MTP significantly reduced VSMC proliferation both in vivo and in vitro. Furthermore, 5-MTP reduced endothelial loss and detachment, ICAM-1 and VCAM-1 expressions, and inflammatory cell infiltration in the ligated arterial wall, suggesting attenuation of endothelial dysfunction. Signaling pathway analysis indicated that 5-MTP mediated its effects predominantly via suppressing p38 MAPK signaling in endothelial and VSMCs. Our data demonstrate a novel vascular protective function of 5-MTP against arterial injury-induced intimal hyperplasia. 5-MTP might be a therapeutic target for preventing and/or treating vascular remodeling.
5-甲氧基色氨酸(5-MTP)是色氨酸代谢的一种5-甲氧基吲哚代谢产物,最近研究表明其可抑制炎症介质诱导的癌细胞增殖和迁移。然而,5-MTP在血管疾病中的作用尚不清楚。在本研究中,我们调查了5-MTP是否能预防动脉损伤后的血管重塑。对健康受试者和冠心病(CAD)患者血清5-MTP水平的测量显示,血清5-MTP浓度与CAD呈负相关。为了测试5-MTP在闭塞性血管疾病中的作用,我们将小鼠置于颈动脉结扎内膜形成模型中,并用载体或5-MTP处理小鼠。与载体处理的小鼠相比,5-MTP在结扎后4周显著降低内膜增厚40%。BrdU掺入试验表明,5-MTP在体内和体外均显著降低血管平滑肌细胞(VSMC)增殖。此外,5-MTP减少了结扎动脉壁中的内皮细胞丢失和脱离、细胞间黏附分子-1(ICAM-1)和血管细胞黏附分子-1(VCAM-1)表达以及炎症细胞浸润,提示内皮功能障碍减轻。信号通路分析表明,5-MTP主要通过抑制内皮细胞和平滑肌细胞中的p38丝裂原活化蛋白激酶(MAPK)信号传导来介导其作用。我们的数据证明了5-MTP对动脉损伤诱导的内膜增生具有新的血管保护功能。5-MTP可能是预防和/或治疗血管重塑的治疗靶点。