Suppr超能文献

HERC1泛素连接酶突变影响新皮质、海马CA3区和脊髓投射神经元:一项超微结构研究。

HERC 1 Ubiquitin Ligase Mutation Affects Neocortical, CA3 Hippocampal and Spinal Cord Projection Neurons: An Ultrastructural Study.

作者信息

Ruiz Rocío, Pérez-Villegas Eva María, Bachiller Sara, Rosa José Luis, Armengol José Angel

机构信息

Department of Biochemistry and Molecular Biology, University of SevilleSeville, Spain; Department of Physiology, Anatomy and Cell Biology, University Pablo de OlavideSeville, Spain.

Department of Physiology, Anatomy and Cell Biology, University Pablo de Olavide Seville, Spain.

出版信息

Front Neuroanat. 2016 Apr 18;10:42. doi: 10.3389/fnana.2016.00042. eCollection 2016.

Abstract

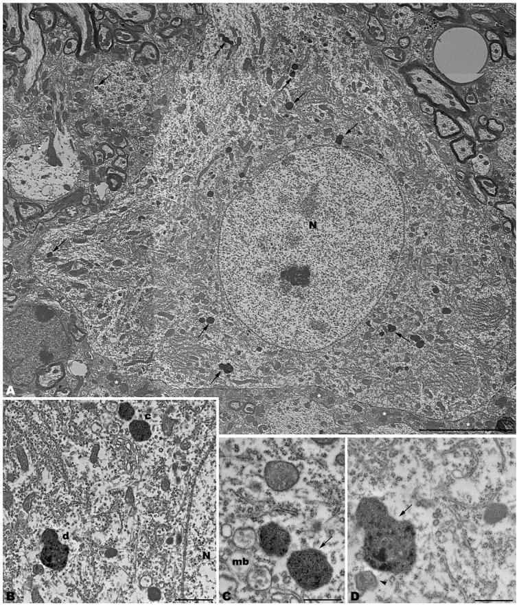
The spontaneous mutation tambaleante is caused by the Gly483Glu substitution in the highly conserved N terminal RCC1-like domain of the HERC1 protein, which leads to the increase of mutated protein levels responsible for cerebellar Purkinje cell death by autophagy. Until now, Purkinje cells have been the only central nervous neurons reported as being targeted by the mutation, and their degeneration elicits an ataxic syndrome in adult mutant mice. However, the ultrastructural analysis performed here demonstrates that signs of autophagy, such as autophagosomes, lysosomes, and altered mitochondria, are present in neocortical pyramidal, CA3 hippocampal pyramidal, and spinal cord motor neurons. The main difference is that the reduction in the number of neurons affected in the tambaleante mutation in the neocortex, the hippocampus, and the spinal cord is not so evident as the dramatic loss of cerebellar Purkinje cells. Interestingly, signs of autophagy are absent in both interneurons and neuroglia cells. Affected neurons have in common that they are projection neurons which receive strong and varied synaptic inputs, and possess the highest degree of neuronal activity. Therefore, because the integrity of the ubiquitin-proteasome system is essential for protein degradation and hence, for normal protein turnover, it could be hypothesized that the deleterious effects of the misrouting of these pathways would depend directly on the neuronal activity.

摘要

自发性突变tambaleante是由HERC1蛋白高度保守的N端RCC1样结构域中的Gly483Glu取代引起的,这导致负责通过自噬导致小脑浦肯野细胞死亡的突变蛋白水平增加。到目前为止,浦肯野细胞是唯一被报道为该突变靶向的中枢神经神经元,它们的退化在成年突变小鼠中引发共济失调综合征。然而,此处进行的超微结构分析表明,自噬的迹象,如自噬体、溶酶体和改变的线粒体,存在于新皮质锥体神经元、海马CA3锥体神经元和脊髓运动神经元中。主要区别在于,新皮质、海马和脊髓中受tambaleante突变影响的神经元数量减少并不像小脑浦肯野细胞的急剧损失那么明显。有趣的是,中间神经元和神经胶质细胞中均不存在自噬迹象。受影响的神经元的共同之处在于它们是投射神经元,接受强烈且多样的突触输入,并具有最高程度的神经元活动。因此,由于泛素-蛋白酶体系统的完整性对于蛋白质降解以及正常的蛋白质周转至关重要,所以可以推测这些途径错误导向的有害影响将直接取决于神经元活动。

https://cdn.ncbi.nlm.nih.gov/pmc/blobs/b610/4834294/8403cb9795a6/fnana-10-00042-g0001.jpg

文献检索

告别复杂PubMed语法,用中文像聊天一样搜索,搜遍4000万医学文献。AI智能推荐,让科研检索更轻松。

立即免费搜索

文件翻译

保留排版,准确专业,支持PDF/Word/PPT等文件格式,支持 12+语言互译。

免费翻译文档

深度研究

AI帮你快速写综述,25分钟生成高质量综述,智能提取关键信息,辅助科研写作。

立即免费体验